相关产品推荐更多 >
万千商家帮你免费找货
0 人在求购买到急需产品
- 详细信息
- 技术资料
- 免疫原:
Recombinant protein of human INTS3
- 亚型:
IgG
- 保存条件:
Store at -20°C. Avoid freeze / thaw cycles.
- 供应商:
北京索莱宝科技有限公司
- 宿主:
Rabbit
- 应用范围:
IHC
- 靶点:
INTS3
- 规格:
50ul
Anti-INTS3 Polyclonal Antibody
产品简介
备注:
以上数据均来自公开文献, Solarbio暂未进行独立验证, 仅供参考。
These protocols are for reference only. Solarbio does not independently validate these methods.
实验图
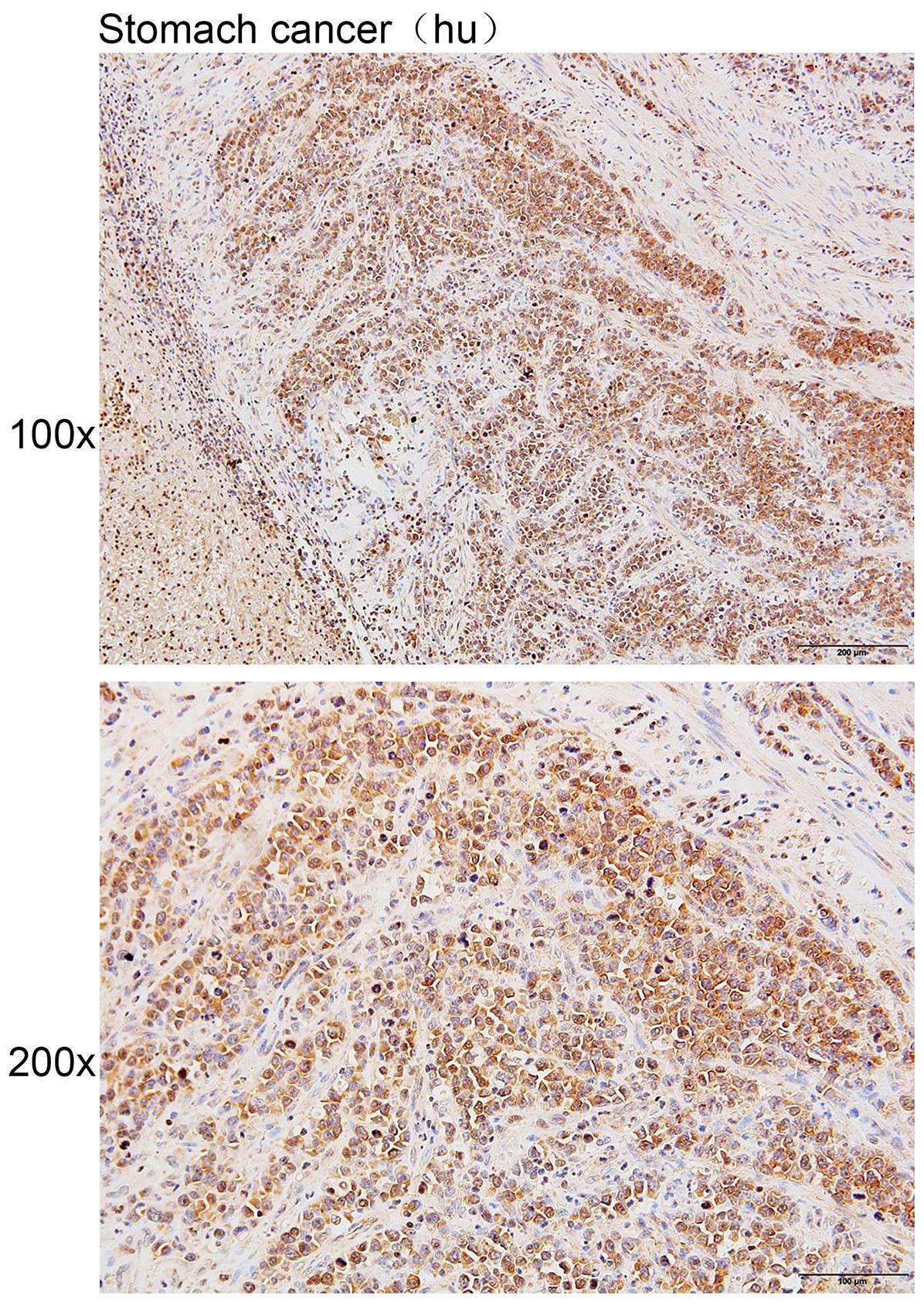
Immunohistochemistry of paraffin-embedded Human stomach cancer with INTS3 antibody diluted at 1:80.
产品简介
| 靶标 | INTS3 |
| 别名 | C1orf193; C1orf60; FLJ21919; INT 3; Int3; INT3_HUMAN; Integrator complex subunit 3; Ints3; Sensor of single-strand DNA complex subunit A; Sensor of ssDNA subunit A; SOSS complex subunit A; SOSS-A |
| 宿主 | Rabbit |
| 预测交叉反应 | Zebrafish;Fruit fly |
| 稀释比例 | IHC 1:50-200. |
| Gene ID | 65123 |
| 保存 | Store at -20°C. Avoid freeze / thaw cycles. |
| Swiss Prot | Q68E01 |
| 蛋白分子量 | 64/103/118kDa |
| 储存液 | Buffer: PBS with 0.03% Proclin300, 50% glycerol, pH7.3. |
| 亚细胞定位 | Nucleus Cytoplasm Nucleus |
| 免疫原 | Recombinant protein of human INTS3 |
| 亚型 | IgG |
| 纯化方法 | Affinity purification |
| 背景资料 | Component of the Integrator (INT) complex. The Integrator complex is involved in the small nuclear RNAs (snRNA) U1 and U2 transcription and in their 3'-box-dependent processing. The Integrator complex is associated with the C-terminal domain (CTD) of RNA polymerase II largest subunit (POLR2A) and is recruited to the U1 and U2 snRNAs genes (Probable). Mediates recruitment of cytoplasmic dynein to the nuclear envelope, probably as component of the INT complex (PubMed:23904267).Component of the SOSS complex, a multiprotein complex that functions downstream of the MRN complex to promote DNA repair and G2/M checkpoint. The SOSS complex associates with single-stranded DNA at DNA lesions and influences diverse endpoints in the cellular DNA damage response including cell-cycle checkpoint activation, recombinational repair and maintenance of genomic stability. The SOSS complex is required for efficient homologous recombination-dependent repair of double-strand breaks (DSBs) and ATM-dependent signaling pathways. In the SOSS complex, it is required for the assembly of the complex and for stabilization of the complex at DNA damage sites. |
| Public Immunogen Range | 1-349aa |
| 克隆类型 | Polyclonal Antibody |
| 交叉反应 | Human;Mouse |
| 应用 | IHC |
| 规格 | 50ul 100ul |
备注:
以上数据均来自公开文献, Solarbio暂未进行独立验证, 仅供参考。
These protocols are for reference only. Solarbio does not independently validate these methods.
实验图
Immunohistochemistry of paraffin-embedded Human stomach cancer with INTS3 antibody diluted at 1:80.
风险提示:丁香通仅作为第三方平台,为商家信息发布提供平台空间。用户咨询产品时请注意保护个人信息及财产安全,合理判断,谨慎选购商品,商家和用户对交易行为负责。对于医疗器械类产品,请先查证核实企业经营资质和医疗器械产品注册证情况。
技术资料暂无技术资料 索取技术资料
Anti-INTS3 Polyclonal Antibody
¥960







