相关产品推荐更多 >
万千商家帮你免费找货
0 人在求购买到急需产品
- 详细信息
- 技术资料
- 免疫原:
A synthetic peptide of human CYP1A1/2
- 亚型:
IgG
- 保存条件:
Store at -20°C. Avoid freeze / thaw cycles.
- 供应商:
北京索莱宝科技有限公司
- 宿主:
Rabbit
- 应用范围:
IHC
- 靶点:
CYP1A1/2
- 规格:
50ul
Anti-CYP1A1/2 Polyclonal Antibody
产品简介
备注:
以上数据均来自公开文献, Solarbio暂未进行独立验证, 仅供参考。
These protocols are for reference only. Solarbio does not independently validate these methods.
实验图
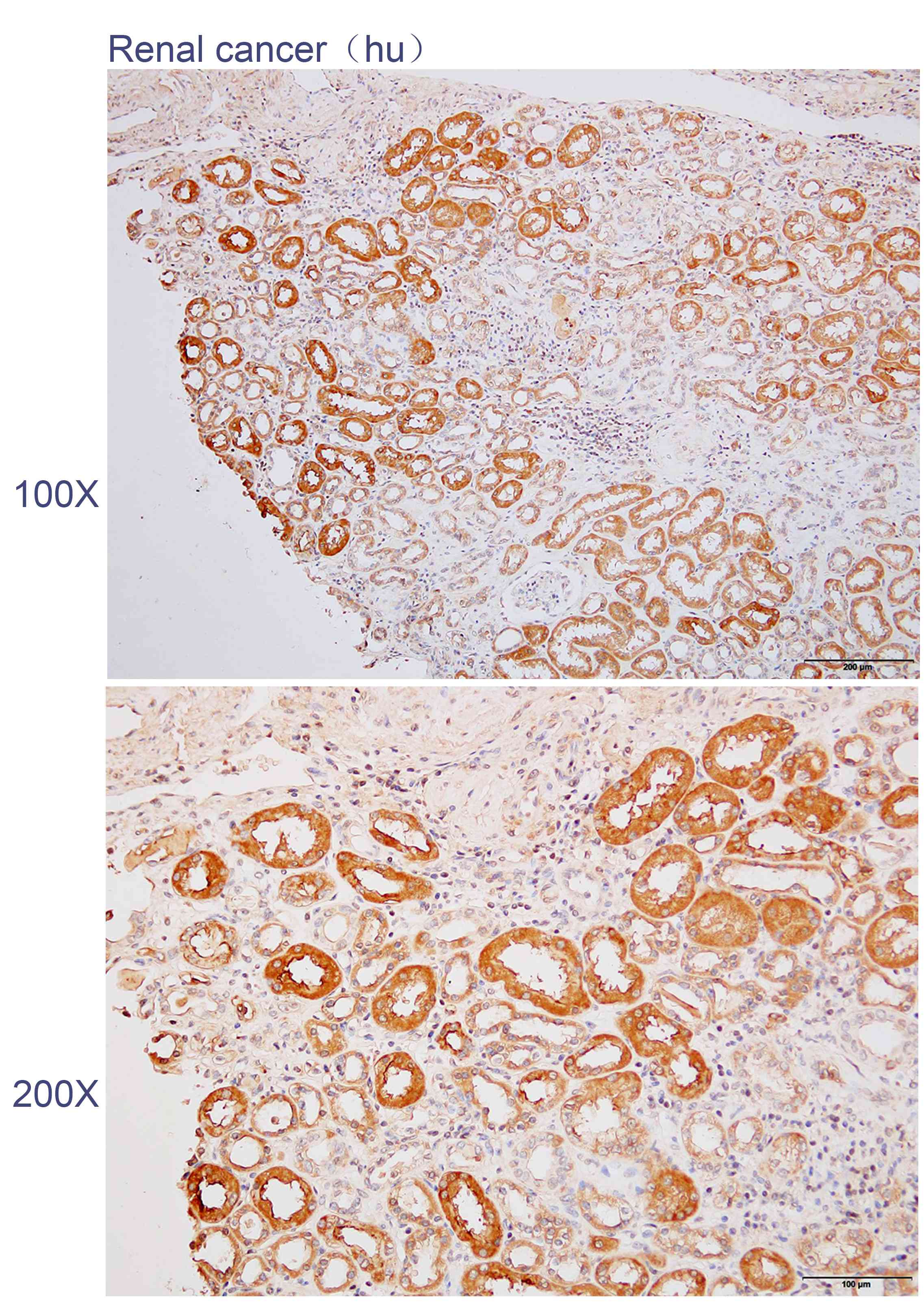
Immunohistochemistry of paraffin-embedded Human renal cancer using CYP1A12 antibody diluted at 1:100
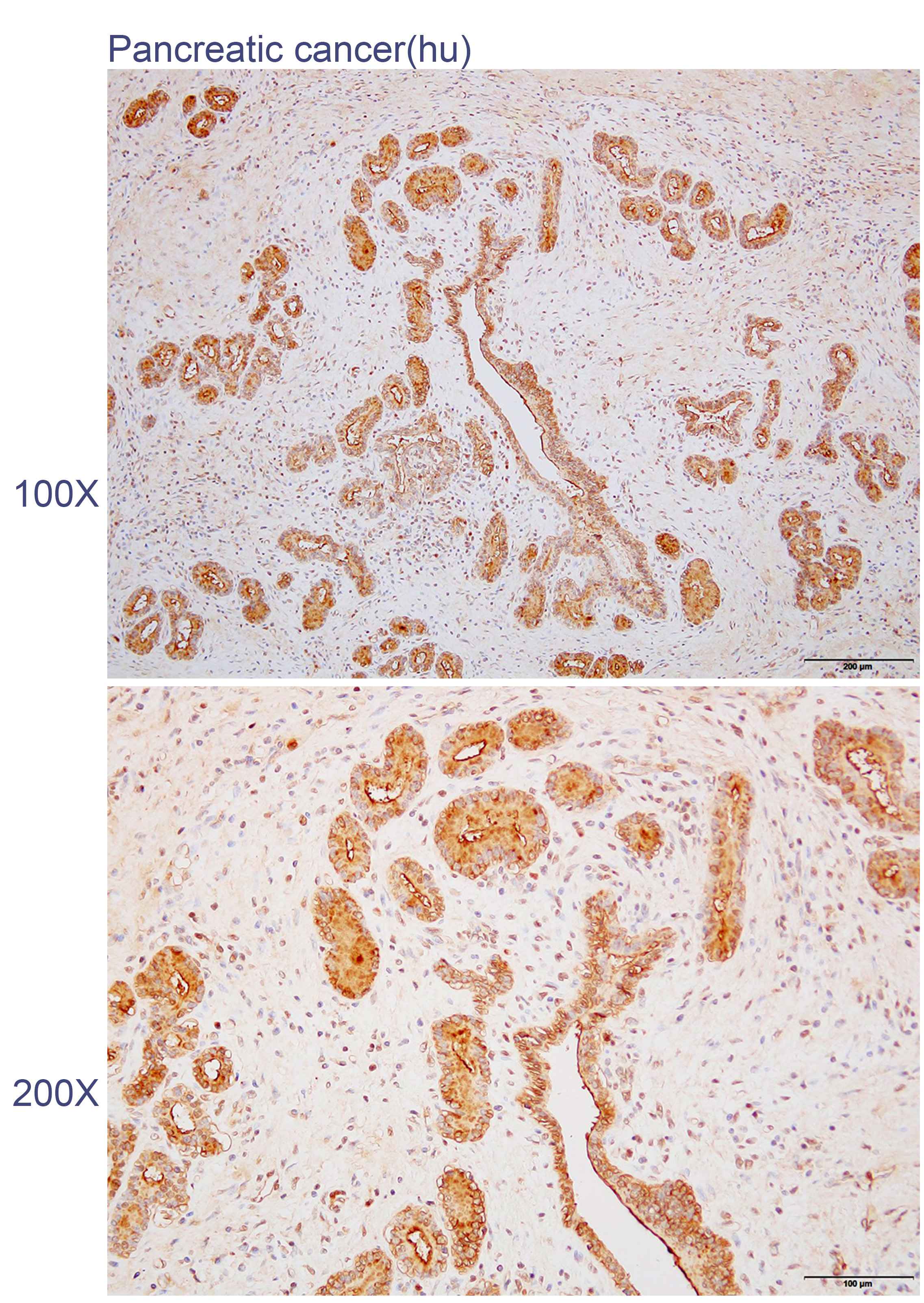
Immunohistochemistry of paraffin-embedded Human pancreatic cancer using CYP1A12 antibody diluted at 1:100
产品简介
| 英文名称 | Anti-CYP1A1/2 Polyclonal Antibody |
| 靶标 | NIPSNAP2 |
| 别名 | AHH; AHRR; Aryl hydrocarbon hydroxylase; CP11; CP1A1_HUMAN; CYP 1; CYP1; cyp1a1; CYPIA1; Cytochrome P1 450 dioxin inducible; Cytochrome P1-450; Cytochrome P450 1A1; Cytochrome P450 family 1 subfamily A polypeptide 1; Cytochrome P450 form 6; Cytochrome P450 subfamily I (aromatic compound inducible) polypeptide 1; Cytochrome P450-C; Cytochrome P450-P1; Flavoprotein-linked monooxygenase; Microsomal monooxygenase; P1 450; P450 C; P450 form 6; P450 P1; P450DX; Xenobiotic monooxygenase;/Aryl hydrocarbon hydroxylase; CP 12; CP12; CP1A2_HUMAN; CYP1A2; CYPIA2; Cytochrome P(3)450; Cytochrome P450 1A2; Cytochrome P450 4; Cytochrome P450 family 1 polypeptide 2; Cytochrome P450 family 1 subfamily A polypeptide 2; Cytochrome P450 subfamily I aromatic compound inducible polypeptide 2; Cytochrome P450-P3; Cytochrome P4501A2; Dioxin inducable P3 450; Flavoprotein linked monooxygenase; Microsomal monooxygenase; P(3)450; P3 450; P450 4; P450 form 4; P450 P3; P450(PA); Xenobiotic monooxygenase; |
| 宿主 | Rabbit |
| 稀释比例 | IHC 1:50-200. |
| Gene ID | 1543/1544 |
| 保存 | Store at -20°C. Avoid freeze / thaw cycles. |
| Swiss Prot | P04798/P05177 |
| 蛋白分子量 | 18/21/58kDa |
| 储存液 | Buffer: PBS with 0.03% Proclin300, 50% glycerol, pH7.3. |
| 亚细胞定位 | Cytoplasm |
| 免疫原 | A synthetic peptide of human CYP1A1/2 |
| 亚型 | IgG |
| 纯化方法 | Octanoic acid-ammonium sulfate precipitation |
| 背景资料 | This gene, CYP1A1, encodes a member of the cytochrome P450 superfamily of enzymes. The cytochrome P450 proteins are monooxygenases which catalyze many reactions involved in drug metabolism and synthesis of cholesterol, steroids and other lipids. This protein localizes to the endoplasmic reticulum and its expression is induced by some polycyclic aromatic hydrocarbons (PAHs), some of which are found in cigarette smoke. The enzyme's endogenous substrate is unknown; however, it is able to metabolize some PAHs to carcinogenic intermediates. The gene has been associated with lung cancer risk. A related family member, CYP1A2, is located approximately 25 kb away from CYP1A1 on chromosome 15. Alternative splicing results in multiple transcript variants encoding distinct isoforms./This gene encodes a member of the cytochrome P450 superfamily of enzymes. The cytochrome P450 proteins are monooxygenases which catalyze many reactions involved in drug metabolism and synthesis of cholesterol, steroids and other lipids. The protein encoded by this gene localizes to the endoplasmic reticulum and its expression is induced by some polycyclic aromatic hydrocarbons (PAHs), some of which are found in cigarette smoke. The enzyme's endogenous substrate is unknown; however, it is able to metabolize some PAHs to carcinogenic intermediates. Other xenobiotic substrates for this enzyme include caffeine, aflatoxin B1, and acetaminophen. The transcript from this gene contains four Alu sequences flanked by direct repeats in the 3' untranslated region. |
| Public Immunogen Range | 100-150/512aa |
| 克隆类型 | Polyclonal Antibody |
| 交叉反应 | Human Predicted:Cow Mouse |
| 应用 | IHC |
| 规格 | 50ul 100ul |
备注:
以上数据均来自公开文献, Solarbio暂未进行独立验证, 仅供参考。
These protocols are for reference only. Solarbio does not independently validate these methods.
实验图
Immunohistochemistry of paraffin-embedded Human renal cancer using CYP1A12 antibody diluted at 1:100
Immunohistochemistry of paraffin-embedded Human pancreatic cancer using CYP1A12 antibody diluted at 1:100
风险提示:丁香通仅作为第三方平台,为商家信息发布提供平台空间。用户咨询产品时请注意保护个人信息及财产安全,合理判断,谨慎选购商品,商家和用户对交易行为负责。对于医疗器械类产品,请先查证核实企业经营资质和医疗器械产品注册证情况。
技术资料暂无技术资料 索取技术资料
Anti-CYP1A1/2 Polyclonal Antibody
¥960






