相关产品推荐更多 >
万千商家帮你免费找货
0 人在求购买到急需产品
- 详细信息
- 技术资料
- 免疫原:
A synthetic peptide of human PLG (heavy chain A short form, Cleaved-Val 98)
- 亚型:
IgG
- 保存条件:
Store at -20°C. Avoid freeze / thaw cycles.
- 供应商:
北京索莱宝科技有限公司
- 宿主:
Rabbit
- 应用范围:
IHC
- 靶点:
PLG (heavy chain A short form, Cleaved-Val 98)
- 规格:
50ul
Anti-PLG (heavy chain A short form, Cleaved-Val 98) Polyclonal Antibody
产品简介
备注:
以上数据均来自公开文献, Solarbio暂未进行独立验证, 仅供参考。
These protocols are for reference only. Solarbio does not independently validate these methods.
实验图
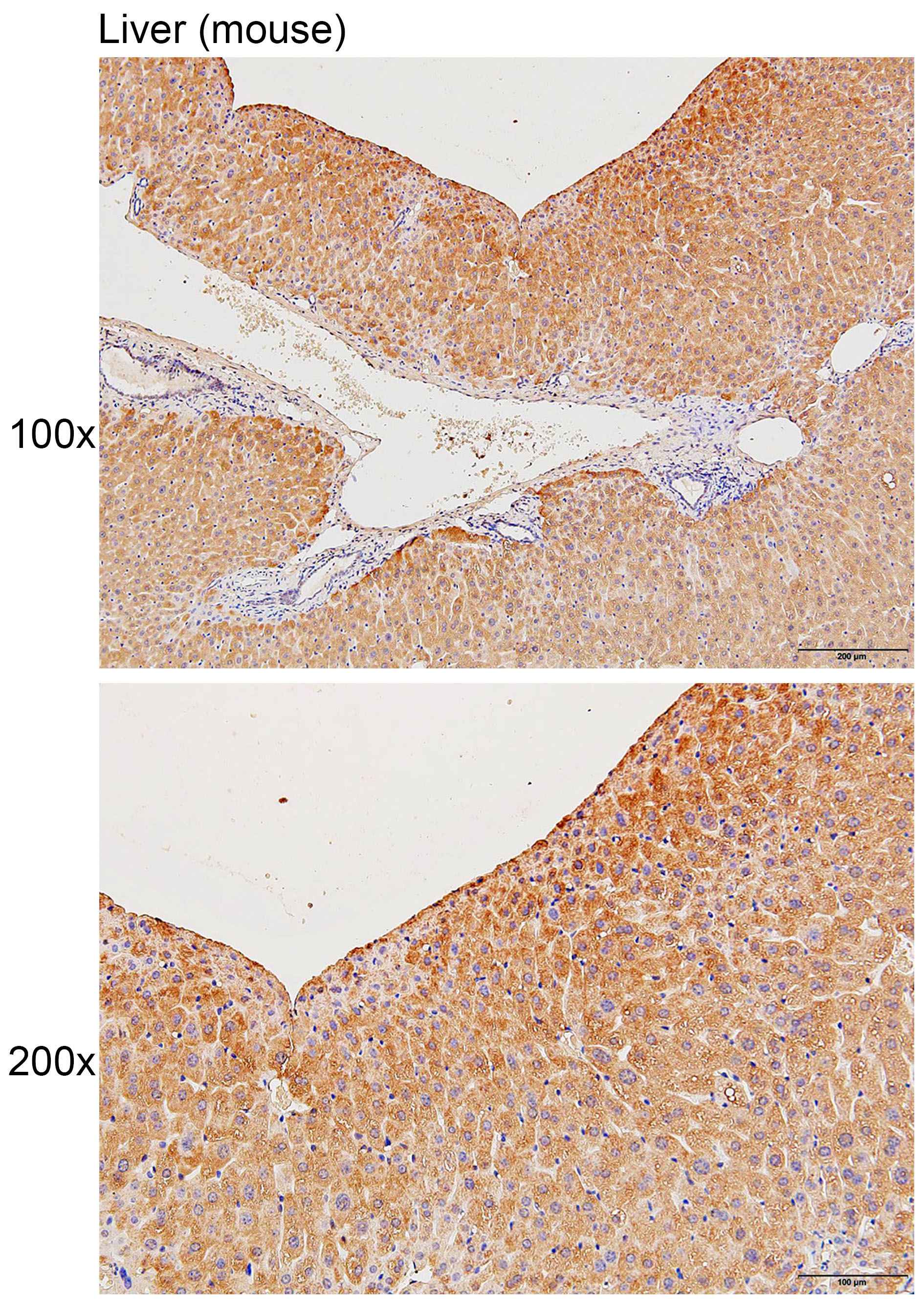
Immunohistochemistry of paraffin-embedded Mouse liver with PLG (heavy chain A short form, Cleaved-Val 98) antibody diluted at 1:200.
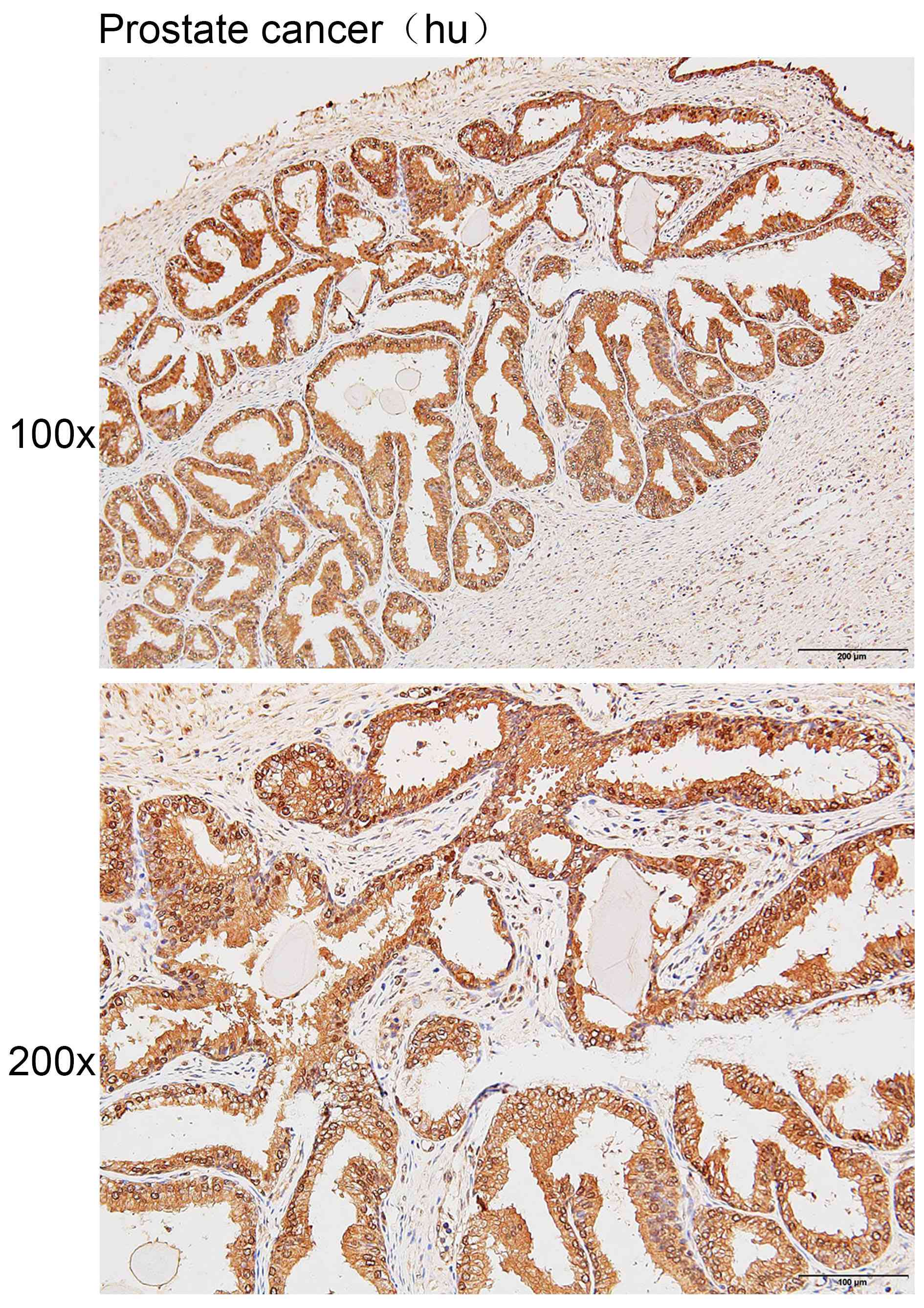
Immunohistochemistry of paraffin-embedded Human prostate cancer with PLG (heavy chain A short form, Cleaved-Val 98) antibody diluted at
产品简介
| 靶标 | PLG (heavy chain A short form, Cleaved-Val 98) |
| 别名 | Plasmin heavy chain A; Plasmin light chain B; Plasminogen; PLG |
| 宿主 | Rabbit |
| 预测交叉反应 | Pig;Chimpanzee;Monkey |
| 稀释比例 | IHC 1:100-300. |
| Gene ID | 5340 |
| 保存 | Store at -20°C. Avoid freeze / thaw cycles. |
| Swiss Prot | P00747 |
| 蛋白分子量 | 91kDa |
| 储存液 | Buffer: PBS with 0.03% Proclin300, 50% glycerol, pH7.3. |
| 亚细胞定位 | Cytoplasm |
| 免疫原 | A synthetic peptide of human PLG (heavy chain A short form, Cleaved-Val 98) |
| 亚型 | IgG |
| 纯化方法 | Octanoic acid-ammonium sulfate precipitation |
| 背景资料 | The protein encoded by this gene is a secreted blood zymogen that is activated by proteolysis and converted to plasmin and angiostatin. Plasmin dissolves fibrin in blood clots and is an important protease in many other cellular processes while angiostatin inhibits angiogenesis. Defects in this gene are likely a cause of thrombophilia and ligneous conjunctivitis. Two transcript variants encoding different isoforms have been found for this gene. |
| Public Immunogen Range | 65-115/810aa |
| 克隆类型 | Polyclonal Antibody |
| 交叉反应 | Human;Mouse;Rat |
| 应用 | IHC |
| 规格 | 50ul 100ul |
备注:
以上数据均来自公开文献, Solarbio暂未进行独立验证, 仅供参考。
These protocols are for reference only. Solarbio does not independently validate these methods.
实验图
Immunohistochemistry of paraffin-embedded Mouse liver with PLG (heavy chain A short form, Cleaved-Val 98) antibody diluted at 1:200.
Immunohistochemistry of paraffin-embedded Human prostate cancer with PLG (heavy chain A short form, Cleaved-Val 98) antibody diluted at
风险提示:丁香通仅作为第三方平台,为商家信息发布提供平台空间。用户咨询产品时请注意保护个人信息及财产安全,合理判断,谨慎选购商品,商家和用户对交易行为负责。对于医疗器械类产品,请先查证核实企业经营资质和医疗器械产品注册证情况。
技术资料暂无技术资料 索取技术资料
Anti-PLG (heavy chain A short form, Cleaved-Val 98) Polyclonal Antibody
¥960







