Anti-KBTBD4 Polyclonal Antibody

Anti-KBTBD4 Polyclonal Antibod

y
收藏
  • ¥960
  • Solarbio已认证
  • 中国 北京
  • 2025年07月09日
  • WB IHC
  • Rabbit
avatar
品牌商
13钻石会员
  • 企业认证

    点击 QQ 联系

    • 详细信息
    • 技术资料
    • 免疫原

      Recombinant protein of Human KBTBD4

    • 亚型

      IgG

    • 保存条件

      Store at -20°C. Avoid freeze / thaw cycles.

    • 供应商

      北京索莱宝科技有限公司

    • 宿主

      Rabbit

    • 应用范围

      WB IHC

    • 靶点

      KBTBD4

    • 规格

      50ul

    Anti-KBTBD4 Polyclonal Antibody

    产品简介
    英文名称 Anti-KBTBD4 Polyclonal Antibody
    别名 BKLHD4
    宿主 Rabbit
    稀释比例 WB 1:1000-3000. IHC 1:50-200.
    Gene ID 55709
    保存 Store at -20°C. Avoid freeze / thaw cycles.
    Swiss Prot Q9NVX7
    蛋白分子量 58/60kDa
    储存液 Buffer: PBS with 0.03% Proclin300, 50% glycerol, pH7.3.
    亚细胞定位 Cytoplasm? Nucleus
    免疫原 Recombinant protein of Human KBTBD4
    亚型 IgG
    纯化方法 Affinity purification
    Public Immunogen Range 171-519aa
    克隆类型 Polyclonal Antibody
    交叉反应 Human Rat Mouse
    应用 WB IHC
    规格 50ul 100ul

    备注:
    以上数据均来自公开文献, Solarbio暂未进行独立验证, 仅供参考。
    These protocols are for reference only. Solarbio does not independently validate these methods.
    实验图
    Anti-KBTBD4 Polyclonal Antibod
    Western blot analysis with KBTBD4 antibody diluted at 1:2000;Lane: NIH3T3,T47d,Hela
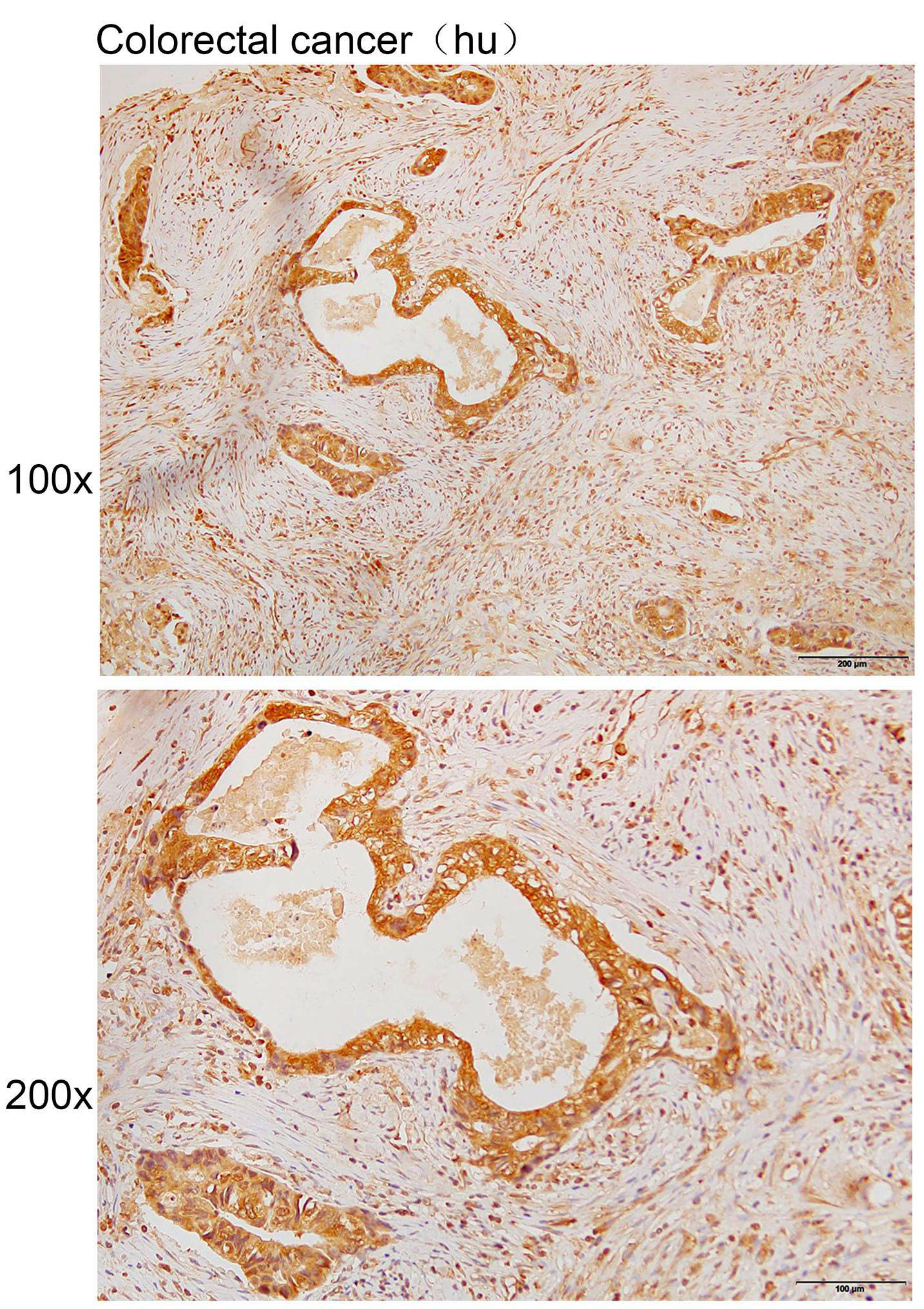
    Anti-KBTBD4 Polyclonal Antibod
    Immunohistochemistry of paraffin-embedded Human colorectal cancer using KBTBD4 antibody diluted at 1:100

    风险提示:丁香通仅作为第三方平台,为商家信息发布提供平台空间。用户咨询产品时请注意保护个人信息及财产安全,合理判断,谨慎选购商品,商家和用户对交易行为负责。对于医疗器械类产品,请先查证核实企业经营资质和医疗器械产品注册证情况。

    图标技术资料

    暂无技术资料 索取技术资料

    同类产品报价

    产品名称
    产品价格
    公司名称
    报价日期
    ¥1600
    北京索莱宝科技有限公司
    2025年02月17日询价
    询价
    默瑞(上海)生物科技有限公司
    2025年07月16日询价
    ¥340
    卡梅德生物科技(天津)有限公司
    2025年10月14日询价
    ¥1200
    北京百瑞极生物科技有限公司
    2025年12月16日询价
    ¥6698
    北京达科为生物技术有限公司
    2025年06月15日询价
    Anti-KBTBD4 Polyclonal Antibody
    ¥960