相关产品推荐更多 >
万千商家帮你免费找货
0 人在求购买到急需产品
- 详细信息
- 技术资料
- 免疫原:
A synthetic peptide of human RFPL4A
- 亚型:
IgG
- 保存条件:
Store at -20°C. Avoid freeze / thaw cycles.
- 供应商:
北京索莱宝科技有限公司
- 宿主:
Rabbit
- 应用范围:
WB;IHC
- 靶点:
RFPL4A/RFPL4AL1
- 规格:
50ul/100ul
| 规格: | 50ul | 产品价格: | ¥960.0 |
|---|---|---|---|
| 规格: | 100ul | 产品价格: | ¥1600.0 |
产品简介
| 靶标 | RFPL4A/RFPL4AL1 |
| 别名 | RFPL4A,RFPL4,RNF210,RFAL1_HUMAN,Ret finger protein-like 4A-like protein 1 |
| 背景资料 | RFPL4A is a 287 amino acid protein. RFPL4A contains a cysteine-rich RING finger-like region (C3YC4), a coiled-coil motif, and B30.2 domains characteristic of the RING-B30 family of E3 ubiquitin-protein ligases, such as MID1. The RFPL4A gene maps to human chromosome 19q13.42. Chromosome 19 consists of approximately 63 million bases and makes up over 2% of human genomic DNA. Chromosome 19 includes a diversity of interesting genes and is recognized for having the greatest gene density of the human chromosomes. It is the genetic home for a number of immunoglobulin superfamily members including the killer cell and leukocyte Ig-like receptors, a number of ICAMs, the CEACAM and PSG families, and Fc?receptors. Key genes for eye color and hair color also map to chromosome 19. Peutz-Jeghers syndrome, spinocerebellar ataxia type 6, the stroke disorder CADASIL, hypercholesterolemia and insulin-dependent diabetes have been linked to chromosome 19. |
| Swiss Prot | A6NLU0/F8VTS6 |
| Gene ID | 342931/729974 |
| 亚细胞定位 | Cytoplasm Nucleus |
| 宿主 | Rabbit |
| 克隆类型 | Polyclonal Antibody |
| 亚型 | IgG |
| 蛋白分子量 | 32/37kDa |
| 稀释比例 | WB 1:1000-3000.;IHC 1:50-200. |
| 免疫原 | A synthetic peptide of human RFPL4A |
| Public Immunogen Range | 50-100/287aa |
| 纯化方法 | Affinity purification |
| 储存液 | Buffer: PBS with 0.03% Proclin300, 50% glycerol, pH7.3. |
| 保存 | Store at -20°C. Avoid freeze / thaw cycles. |
| 交叉反应 | Human |
| 应用 | WB IHC |
| 规格 | 50ul 100ul |
| 单位 | 支 |
备注:
以上数据均来自公开文献, Solarbio暂未进行独立验证, 仅供参考。
These protocols are for reference only. Solarbio does not independently validate these methods.
温馨提示:
使用前请离心。如有问题请及时联系我们。
Quick spin before use. If you have any questions, please contact us.
实验图
Western blot analysis with RFPL4A/RFPL4AL1 antibody diluted at 1:2000;Lane: HEK293.
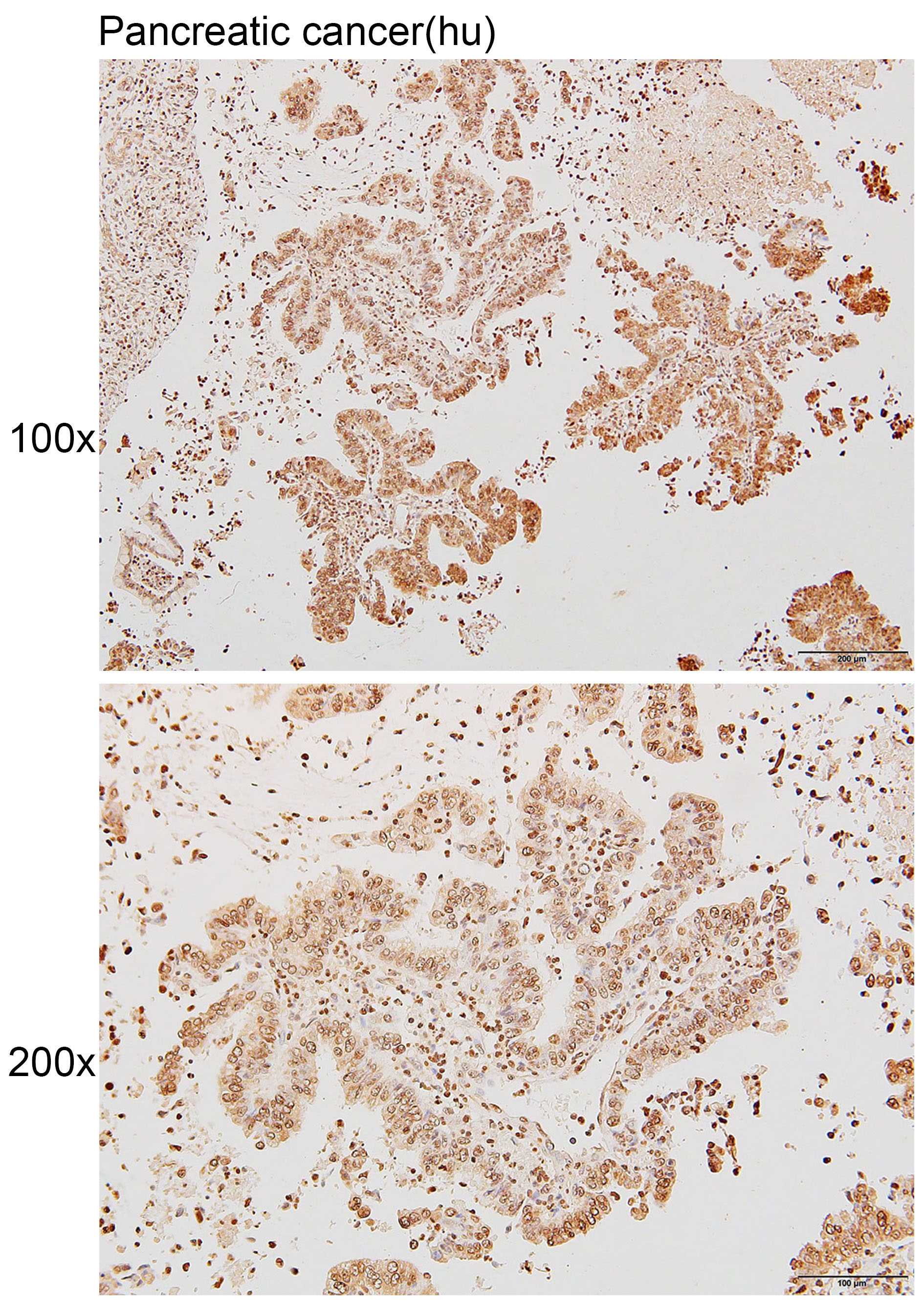
Immunohistochemistry of paraffin-embedded Human pancreatic cancer with RFPL4A/RFPL4AL1 antibody diluted at 1:100.
风险提示:丁香通仅作为第三方平台,为商家信息发布提供平台空间。用户咨询产品时请注意保护个人信息及财产安全,合理判断,谨慎选购商品,商家和用户对交易行为负责。对于医疗器械类产品,请先查证核实企业经营资质和医疗器械产品注册证情况。
技术资料暂无技术资料 索取技术资料
Anti-RFPL4A/RFPL4AL1 Polyclonal Antibody
¥960 - 1600







