相关产品推荐更多 >
万千商家帮你免费找货
0 人在求购买到急需产品
- 详细信息
- 技术资料
- 免疫原:
Recombinant protein of human WSCD2
- 亚型:
IgG
- 保存条件:
Store at -20°C. Avoid freeze / thaw cycles.
- 供应商:
北京索莱宝科技有限公司
- 宿主:
Rabbit
- 应用范围:
WB IHC
- 靶点:
WSCD2
- 规格:
50ul
Anti-WSCD2 Polyclonal Antibody
产品简介
备注:
以上数据均来自公开文献, Solarbio暂未进行独立验证, 仅供参考。
These protocols are for reference only. Solarbio does not independently validate these methods.
实验图
Western blot analysis with WSCD2 antibody diluted at 1:2000;Lane:Bladder cancer
Immunohistochemistry of paraffin-embedded Human colorectal cancer with WSCD2 antibody diluted at 1:100
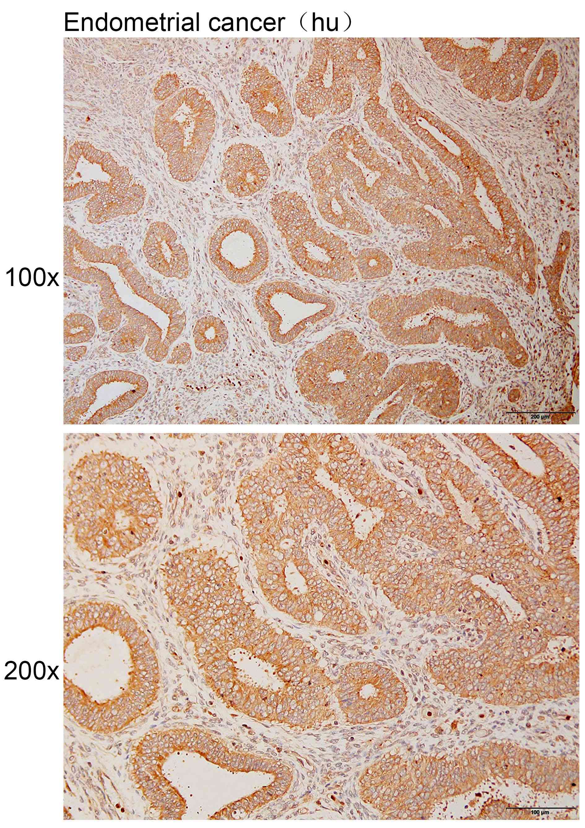
Immunohistochemistry of paraffin-embedded Human endometrial cancer with WSCD2 antibody diluted at 1:100
产品简介
| 英文名称 | Anti-WSCD2 Polyclonal Antibody |
| 靶标 | WSCD2 |
| 别名 | MGC117165;WSC domain containing 2 |
| 宿主 | Rabbit |
| 稀释比例 | WB 1:1000-3000. IHC 1:50-200. |
| Gene ID | 9671 |
| 保存 | Store at -20°C. Avoid freeze / thaw cycles. |
| Swiss Prot | Q2TBF2 |
| 蛋白分子量 | 64/66kDa |
| 储存液 | Buffer: PBS with 0.03% Proclin300, 50% glycerol, pH7.3. |
| 亚细胞定位 | Cytoplasm |
| 免疫原 | Recombinant protein of human WSCD2 |
| 亚型 | IgG |
| 纯化方法 | Octanoic acid-ammonium sulfate precipitation |
| 背景资料 | Uridine diphosphatase (UDPase) that promotes protein N-glycosylation and ATP level regulation. UDP hydrolysis promotes protein N-glycosylation and folding in the endoplasmic reticulum, as well as elevated ATP consumption in the cytosol via an ATP hydrolysis cycle. Together with CMPK1 and AK1, constitutes an ATP hydrolysis cycle that converts ATP to AMP and results in a compensatory increase in aerobic glycolysis. The nucleotide hydrolyzing preference is GDP > IDP > UDP, but not any other nucleoside di-, mono- or triphosphates, nor thiamine pyrophosphate. Plays a key role in the AKT1-PTEN signaling pathway by promoting glycolysis in proliferating cells in response to phosphoinositide 3-kinase (PI3K) signaling. |
| Public Immunogen Range | 1-256aa |
| 克隆类型 | Polyclonal Antibody |
| 交叉反应 | Human Predicted:Zebrafish Mouse |
| 应用 | WB IHC |
| 规格 | 50ul 100ul |
备注:
以上数据均来自公开文献, Solarbio暂未进行独立验证, 仅供参考。
These protocols are for reference only. Solarbio does not independently validate these methods.
实验图
Western blot analysis with WSCD2 antibody diluted at 1:2000;Lane:Bladder cancer
Immunohistochemistry of paraffin-embedded Human colorectal cancer with WSCD2 antibody diluted at 1:100
Immunohistochemistry of paraffin-embedded Human endometrial cancer with WSCD2 antibody diluted at 1:100
风险提示:丁香通仅作为第三方平台,为商家信息发布提供平台空间。用户咨询产品时请注意保护个人信息及财产安全,合理判断,谨慎选购商品,商家和用户对交易行为负责。对于医疗器械类产品,请先查证核实企业经营资质和医疗器械产品注册证情况。
技术资料暂无技术资料 索取技术资料
Anti-WSCD2 Polyclonal Antibody
¥960








