相关产品推荐更多 >
万千商家帮你免费找货
0 人在求购买到急需产品
- 详细信息
- 技术资料
- 免疫原:
Recombinant protein of human CCAR2
- 亚型:
IgG
- 保存条件:
Store at -20°C. Avoid freeze / thaw cycles.
- 供应商:
北京索莱宝科技有限公司
- 宿主:
Rabbit
- 应用范围:
WB IHC
- 靶点:
CCAR2
- 规格:
50ul
Anti-CCAR2 Polyclonal Antibody
产品简介
备注:
以上数据均来自公开文献, Solarbio暂未进行独立验证, 仅供参考。
These protocols are for reference only. Solarbio does not independently validate these methods.
实验图
Western blot analysis with CCAR2 antibody diluted at 1:2000;Lane:HEK-293,HeLa,COS7,NIH3T3
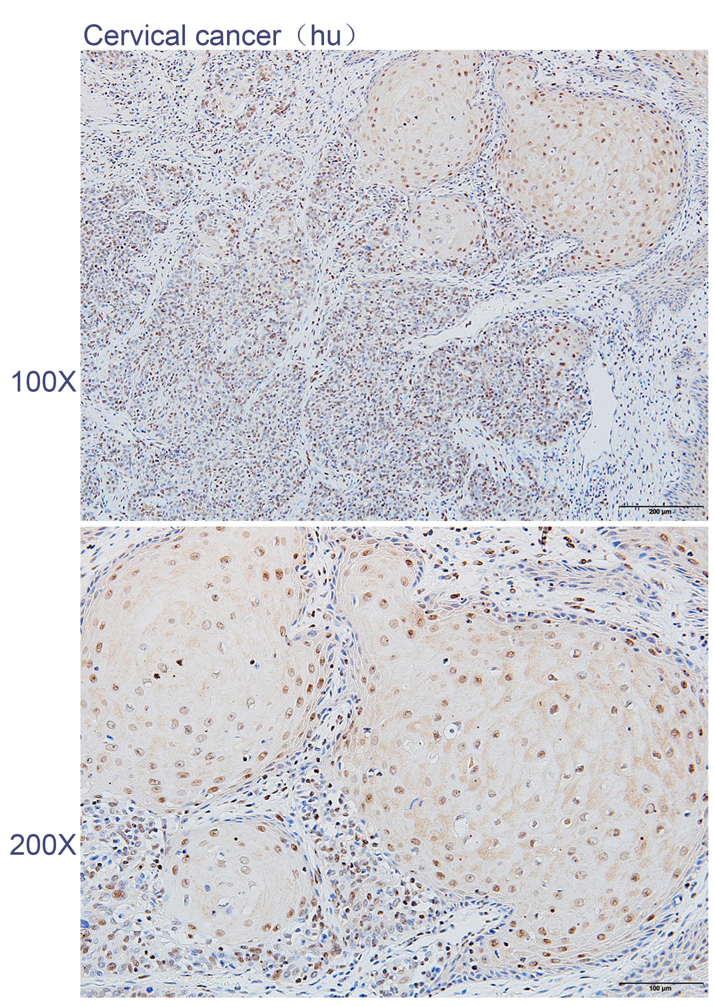
Immunohistochemistry of paraffin-embedded Human cervical cancer with CCAR2 antibody diluted at 1:200
Immunohistochemistry of paraffin-embedded Human endometrial cancer with CCAR2 antibody diluted at 1:200
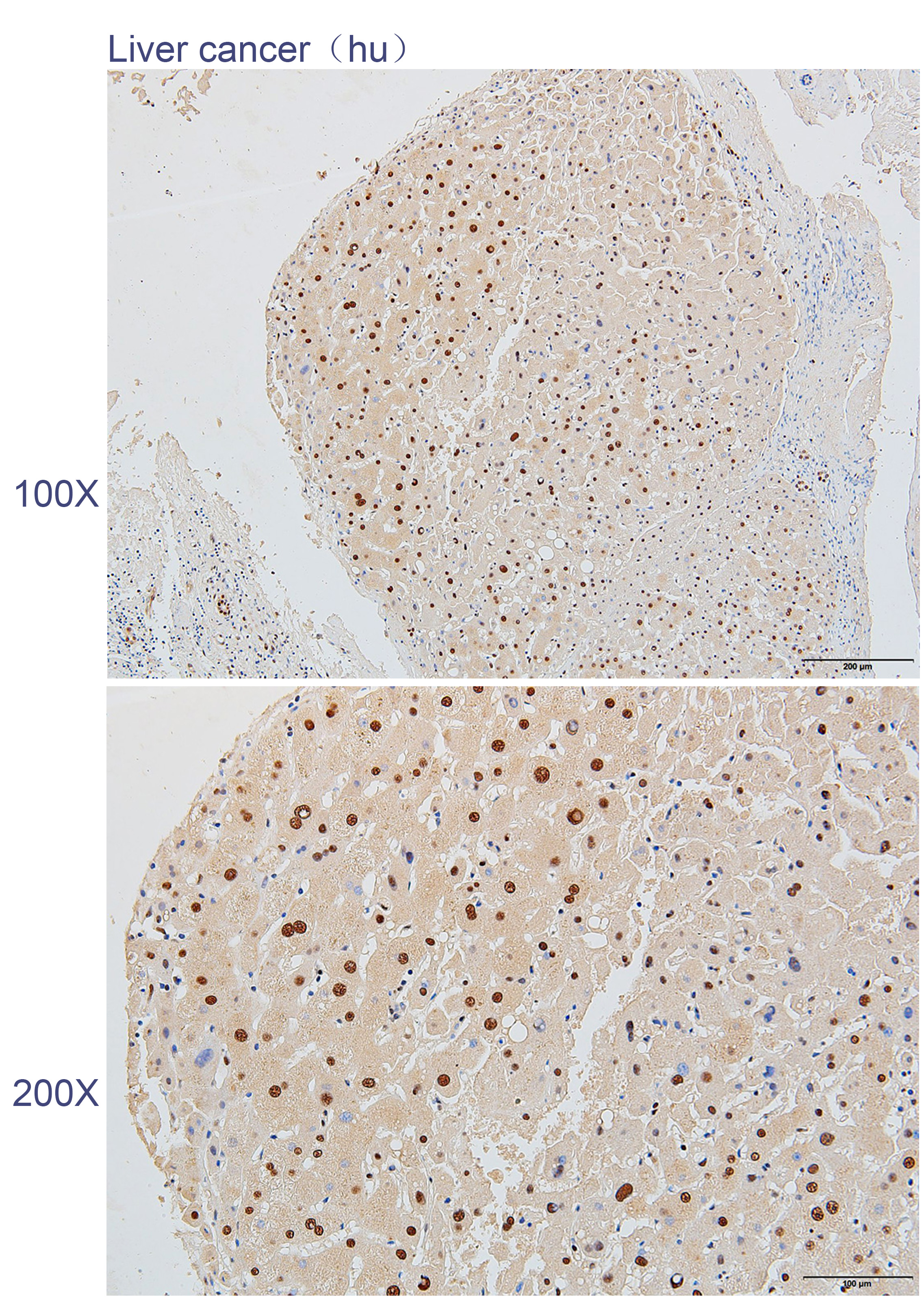
Immunohistochemistry of paraffin-embedded Human liver cancer cancer with CCAR2 antibody diluted at 1:200
产品简介
| 英文名称 | Anti-CCAR2 Polyclonal Antibody |
| 靶标 | CCAR2 |
| 别名 | DBC-1;DBC1;KIAA1967;NET35;p30 DBC;p30DBC |
| 宿主 | Rabbit |
| 稀释比例 | WB 1:1000-3000. IHC 1:100-300. |
| Gene ID | 57805 |
| 保存 | Store at -20°C. Avoid freeze / thaw cycles. |
| Swiss Prot | Q8N163 |
| 蛋白分子量 | 103kDa |
| 储存液 | Buffer: PBS with 0.03% Proclin300, 50% glycerol, pH7.3. |
| 亚细胞定位 | Nucleus |
| 免疫原 | Recombinant protein of human CCAR2 |
| 亚型 | IgG |
| 纯化方法 | Affinity purification |
| 背景资料 | Core component of the DBIRD complex, a multiprotein complex that acts at the interface between core mRNP particles and RNA polymerase II (RNAPII) and integrates transcript elongation with the regulation of alternative splicing: the DBIRD complex affects local transcript elongation rates and alternative splicing of a large set of exons embedded in (A + T)-rich DNA regions. Inhibits SIRT1 deacetylase activity leading to increasing levels of p53/TP53 acetylation and p53-mediated apoptosis. Inhibits SUV39H1 methyltransferase activity. Mediates ligand-dependent transcriptional activation by nuclear hormone receptors. Plays a critical role in maintaining genomic stability and cellular integrity following UV-induced genotoxic stress. Regulates the circadian expression of the core clock components NR1D1 and ARNTL/BMAL1. Enhances the transcriptional repressor activity of NR1D1 through stabilization of NR1D1 protein levels by preventing its ubiquitination and subsequent degradation. Represses the ligand-dependent transcriptional activation function of ESR2. Acts as a regulator of PCK1 expression and gluconeogenesis by a mechanism that involves, at least in part, both NR1D1 and SIRT1. Negatively regulates the deacetylase activity of HDAC3 and can alter its subcellular localization. Positively regulates the beta-catenin pathway (canonical Wnt signaling pathway) and is required for MCC-mediated repression of the beta-catenin pathway. Represses ligand-dependent transcriptional activation function of NR1H2 and NR1H3 and inhibits the interaction of SIRT1 with NR1H3. Plays an important role in tumor suppression through p53/TP53 regulation; stabilizes p53/TP53 by affecting its interaction with ubiquitin ligase MDM2. Represses the transcriptional activator activity of BRCA1. Inhibits SIRT1 in a CHEK2 and PSEM3-dependent manner and inhibits the activity of CHEK2 in vitro. |
| Public Immunogen Range | 1-350aa |
| 克隆类型 | Polyclonal Antibody |
| 交叉反应 | Human |
| 应用 | WB IHC |
| 规格 | 50ul 100ul |
备注:
以上数据均来自公开文献, Solarbio暂未进行独立验证, 仅供参考。
These protocols are for reference only. Solarbio does not independently validate these methods.
实验图
Western blot analysis with CCAR2 antibody diluted at 1:2000;Lane:HEK-293,HeLa,COS7,NIH3T3
Immunohistochemistry of paraffin-embedded Human cervical cancer with CCAR2 antibody diluted at 1:200
Immunohistochemistry of paraffin-embedded Human endometrial cancer with CCAR2 antibody diluted at 1:200
Immunohistochemistry of paraffin-embedded Human liver cancer cancer with CCAR2 antibody diluted at 1:200
风险提示:丁香通仅作为第三方平台,为商家信息发布提供平台空间。用户咨询产品时请注意保护个人信息及财产安全,合理判断,谨慎选购商品,商家和用户对交易行为负责。对于医疗器械类产品,请先查证核实企业经营资质和医疗器械产品注册证情况。
技术资料暂无技术资料 索取技术资料
Anti-CCAR2 Polyclonal Antibody
¥960







