相关产品推荐更多 >
万千商家帮你免费找货
0 人在求购买到急需产品
- 详细信息
- 技术资料
- 免疫原:
A synthetic peptide of human IFT57
- 亚型:
IgG
- 保存条件:
Store at -20°C. Avoid freeze / thaw cycles.
- 供应商:
北京索莱宝科技有限公司
- 宿主:
Rabbit
- 应用范围:
WB IHC
- 靶点:
IFT57
- 规格:
50ul
Anti-IFT57 Polyclonal Antibody
产品简介
备注:
以上数据均来自公开文献, Solarbio暂未进行独立验证, 仅供参考。
These protocols are for reference only. Solarbio does not independently validate these methods.
实验图
Western blot analysis with IFT57 antibody diluted at 1:2000;Lane:U251MG
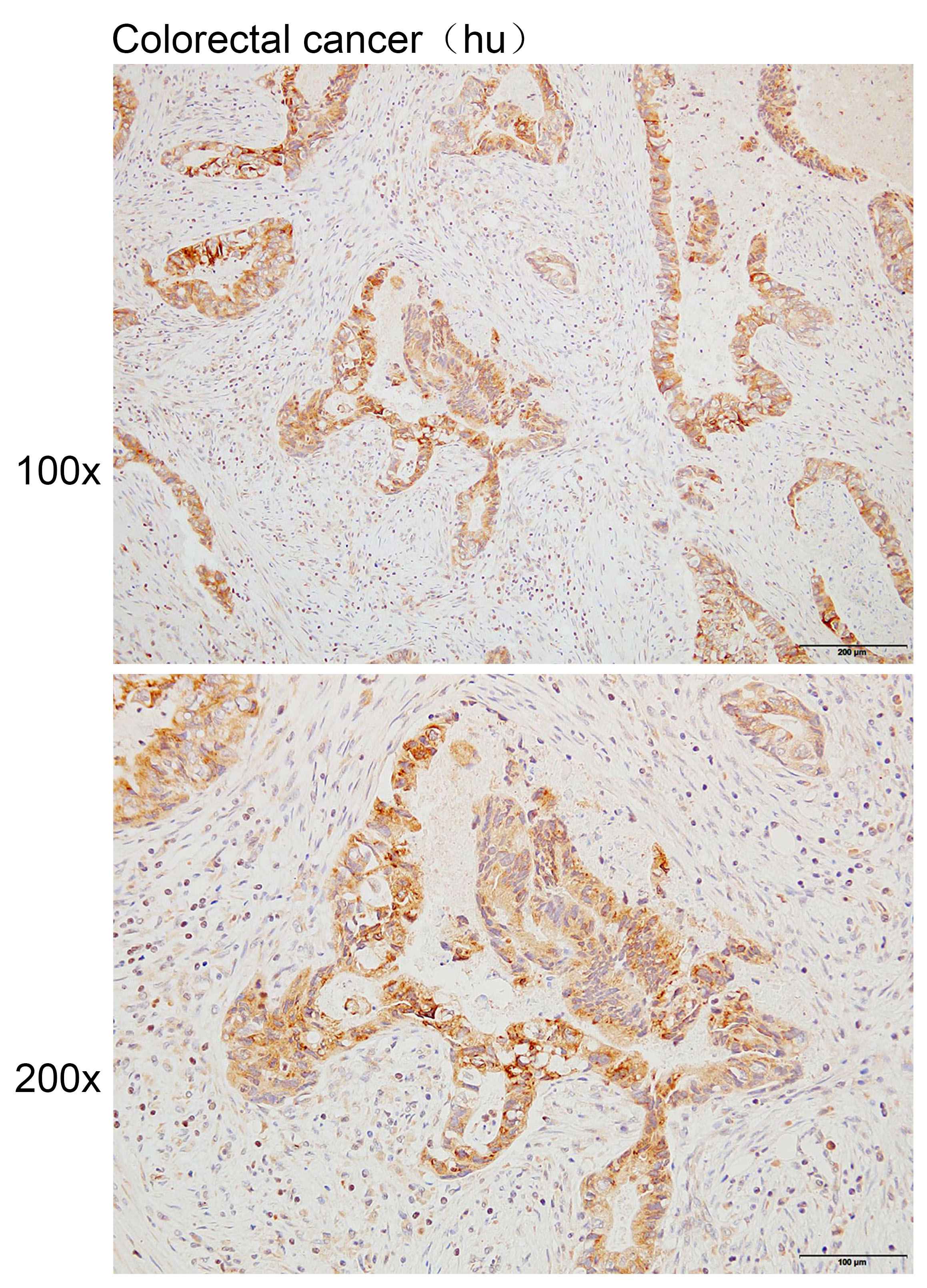
Immunohistochemistry of paraffin-embedded Human colorectal cancer using IFT57 antibody diluted at 1:100
产品简介
| 英文名称 | Anti-IFT57 Polyclonal Antibody |
| 靶标 | GPRC5B |
| 别名 | CDNA FLJ10147 fis clone HEMBA1003369; Dermal papilla derived protein 8; Dermal papilla-derived protein 8; DERP 8; DERP8; Esrrbl 1; Esrrbl1; ESRRBL1 protein; Estrogen related receptor beta like 1; Estrogen related receptor beta like protein 1; Estrogen-related receptor beta-like protein 1; FLJ10147; Hip1 Interacting protein; HIP1 interacting protein HIPPI; Hip1 protein interactor; HIP1-interacting protein; HIPPI; Huntingtin interacting protein 1 interacting protein; Huntingtin interacting protein 1 protein interactor; IFT 57; ift57; IFT57_HUMAN; Intraflagellar transport 57 homolog (Chlamydomonas); Intraflagellar transport 57 homolog; Intraflagellar transport protein 57 homolog; MHS4R2; Vestrogen related receptor beta like 1; |
| 宿主 | Rabbit |
| 稀释比例 | WB 1:1000-3000. IHC 1:50-200. |
| Gene ID | 55081 |
| 保存 | Store at -20°C. Avoid freeze / thaw cycles. |
| Swiss Prot | Q9NWB7 |
| 蛋白分子量 | 49kDa |
| 储存液 | Buffer: PBS with 0.03% Proclin300, 50% glycerol, pH7.3. |
| 亚细胞定位 | Cytoplasm |
| 免疫原 | A synthetic peptide of human IFT57 |
| 亚型 | IgG |
| 纯化方法 | Affinity purification |
| 背景资料 | Required for the formation of cilia. Plays an indirect role in sonic hedgehog signaling, cilia being required for all activity of the hedgehog pathway (By similarity). Has pro-apoptotic function via its interaction with HIP1, leading to recruit caspase-8 (CASP8) and trigger apoptosis. Has the ability to bind DNA sequence motif 5'-AAAGACATG-3' present in the promoter of caspase genes such as CASP1, CASP8 and CASP10, suggesting that it may act as a transcription regulator; however the relevance of such function remains unclear. |
| Public Immunogen Range | 140-190/429aa |
| 克隆类型 | Polyclonal Antibody |
| 交叉反应 | Human Predicted:Cow Rat Mouse |
| 应用 | WB IHC |
| 规格 | 50ul 100ul |
备注:
以上数据均来自公开文献, Solarbio暂未进行独立验证, 仅供参考。
These protocols are for reference only. Solarbio does not independently validate these methods.
实验图
Western blot analysis with IFT57 antibody diluted at 1:2000;Lane:U251MG
Immunohistochemistry of paraffin-embedded Human colorectal cancer using IFT57 antibody diluted at 1:100
风险提示:丁香通仅作为第三方平台,为商家信息发布提供平台空间。用户咨询产品时请注意保护个人信息及财产安全,合理判断,谨慎选购商品,商家和用户对交易行为负责。对于医疗器械类产品,请先查证核实企业经营资质和医疗器械产品注册证情况。
技术资料暂无技术资料 索取技术资料
Anti-IFT57 Polyclonal Antibody
¥960







