相关产品推荐更多 >
万千商家帮你免费找货
0 人在求购买到急需产品
- 详细信息
- 技术资料
- 免疫原:
A synthetic peptide of human PDLIM5
- 亚型:
IgG
- 保存条件:
Store at -20°C. Avoid freeze / thaw cycles.
- 供应商:
北京索莱宝科技有限公司
- 宿主:
Rabbit
- 应用范围:
WB IHC
- 靶点:
PDLIM5
- 规格:
50ul
Anti-PDLIM5 Polyclonal Antibody
产品简介
备注:
以上数据均来自公开文献, Solarbio暂未进行独立验证, 仅供参考。
These protocols are for reference only. Solarbio does not independently validate these methods.
实验图
Western blot analysis with PDLIM5 antibody diluted at 1:2000;Lane: MCF7,U87,Hela,HMC1
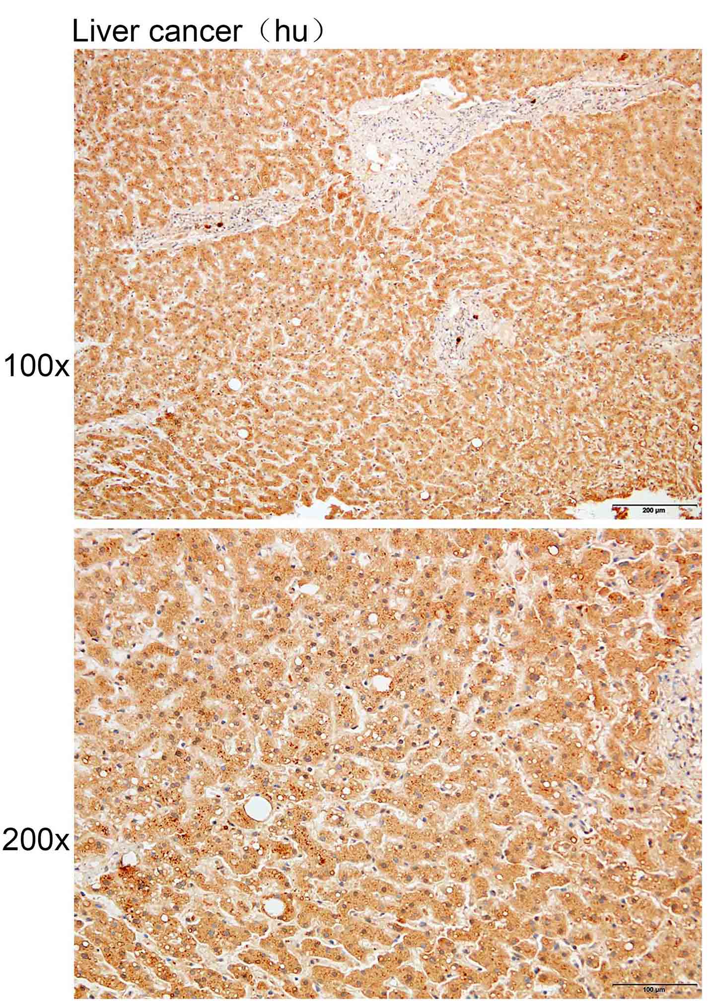
Immunohistochemistry of paraffin-embedded Human liver cancer with PDLIM5 antibody diluted at 1:200
产品简介
| 英文名称 | Anti-PDLIM5 Polyclonal Antibody |
| 别名 | PDLIM5;ENH;ENH1;L9;LIM |
| 宿主 | Rabbit |
| 稀释比例 | WB 1:1000-3000. IHC 1:100-300. |
| Gene ID | 10611 |
| 保存 | Store at -20°C. Avoid freeze / thaw cycles. |
| Swiss Prot | Q96HC4 |
| 蛋白分子量 | 15/24/26/53/64/68kDa |
| 储存液 | Buffer: PBS with 0.03% Proclin300, 50% glycerol, pH7.3. |
| 亚细胞定位 | Cytoplasm Cell membrane |
| 免疫原 | A synthetic peptide of human PDLIM5 |
| 亚型 | IgG |
| 纯化方法 | Affinity purification |
| 背景资料 | This gene encodes a member of a family of proteins that possess a 100-amino acid PDZ domain at the N terminus and one to three LIM domains at the C-terminus. This family member functions as a scaffold protein that tethers protein kinases to the Z-disk in striated muscles. It is thought to function in cardiomyocyte expansion and in restraining postsynaptic growth of excitatory synapses. Alternative splicing of this gene results in multiple transcript variants. |
| Public Immunogen Range | 220-270/596aa |
| 克隆类型 | Polyclonal Antibody |
| 交叉反应 | Human |
| 应用 | WB IHC |
| 规格 | 50ul 100ul |
备注:
以上数据均来自公开文献, Solarbio暂未进行独立验证, 仅供参考。
These protocols are for reference only. Solarbio does not independently validate these methods.
实验图
Western blot analysis with PDLIM5 antibody diluted at 1:2000;Lane: MCF7,U87,Hela,HMC1
Immunohistochemistry of paraffin-embedded Human liver cancer with PDLIM5 antibody diluted at 1:200
风险提示:丁香通仅作为第三方平台,为商家信息发布提供平台空间。用户咨询产品时请注意保护个人信息及财产安全,合理判断,谨慎选购商品,商家和用户对交易行为负责。对于医疗器械类产品,请先查证核实企业经营资质和医疗器械产品注册证情况。
技术资料暂无技术资料 索取技术资料
Anti-PDLIM5 Polyclonal Antibody
¥960







