Anti-HRH1 Polyclonal Antibody

Anti-HRH1 Polyclonal Antibody

收藏
  • ¥960
  • Solarbio已认证
  • 中国 北京
  • 2025年07月12日
  • IHC
  • Rabbit
avatar
品牌商
13钻石会员
  • 企业认证

    点击 QQ 联系

    • 详细信息
    • 技术资料
    • 免疫原

      A synthetic peptide of human HRH1

    • 亚型

      IgG

    • 保存条件

      Store at -20°C. Avoid freeze / thaw cycles.

    • 供应商

      北京索莱宝科技有限公司

    • 宿主

      Rabbit

    • 应用范围

      IHC

    • 靶点

      HRH1

    • 规格

      50ul

    Anti-HRH1 Polyclonal Antibody



    产品简介
    宿主 Rabbit
    稀释比例 IHC 1:50-200.
    Gene ID 3269
    保存 Store at -20°C. Avoid freeze / thaw cycles.
    Swiss Prot P35367
    蛋白分子量 55kDa
    储存液 Buffer: PBS with 0.03% Proclin300, 50% glycerol, pH7.3.
    亚细胞定位 Cytoplasm
    免疫原 A synthetic peptide of human HRH1
    亚型 IgG
    纯化方法 Octanoic acid-ammonium sulfate precipitation
    Important Note Important Note
    背景资料 In peripheral tissues, the H1 subclass of histamine receptors mediates the contraction of smooth muscles, increase in capillary permeability due to contraction of terminal venules, and catecholamine release from adrenal medulla, as well as mediating neurotransmission in the central nervous system.
    Public Immunogen Range 235-285/487aa
    克隆类型 Polyclonal Antibody
    交叉反应 Human Cow
    应用 IHC
    规格 50ul 100ul

    备注:
    以上数据均来自公开文献, Solarbio暂未进行独立验证, 仅供参考。
    These protocols are for reference only. Solarbio does not independently validate these methods.
    实验图
    Anti-HRH1 Polyclonal Antibody
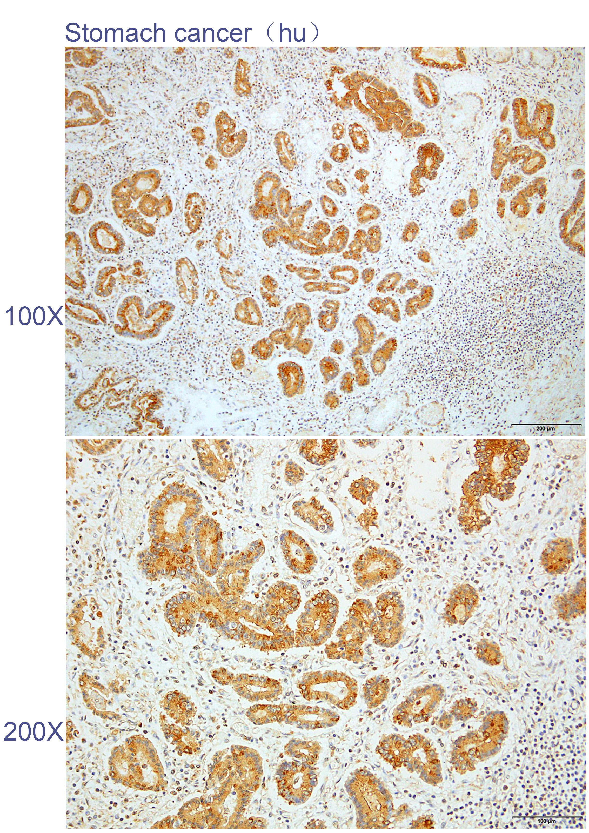
    Immunohistochemistry of paraffin-embedded Human stomach cancer with HRH1 antibody diluted at 1:100

    风险提示:丁香通仅作为第三方平台,为商家信息发布提供平台空间。用户咨询产品时请注意保护个人信息及财产安全,合理判断,谨慎选购商品,商家和用户对交易行为负责。对于医疗器械类产品,请先查证核实企业经营资质和医疗器械产品注册证情况。

    图标技术资料

    暂无技术资料 索取技术资料

    同类产品报价

    产品名称
    产品价格
    公司名称
    报价日期
    ¥1600
    北京索莱宝科技有限公司
    2025年01月20日询价
    询价
    默瑞(上海)生物科技有限公司
    2025年07月16日询价
    ¥340
    卡梅德生物科技(天津)有限公司
    2025年10月14日询价
    ¥1200
    北京百瑞极生物科技有限公司
    2025年12月16日询价
    ¥6698
    北京达科为生物技术有限公司
    2025年06月15日询价
    Anti-HRH1 Polyclonal Antibody
    ¥960