相关产品推荐更多 >
万千商家帮你免费找货
0 人在求购买到急需产品
- 详细信息
- 技术资料
- 免疫原:
A synthetic peptide of human OPRK1
- 亚型:
IgG
- 保存条件:
Store at -20°C. Avoid freeze / thaw cycles.
- 供应商:
北京索莱宝科技有限公司
- 宿主:
Rabbit
- 应用范围:
WB IHC
- 靶点:
OPRK1
- 规格:
50ul
Anti-OPRK1 Polyclonal Antibody
备注:
以上数据均来自公开文献, Solarbio暂未进行独立验证, 仅供参考。
These protocols are for reference only. Solarbio does not independently validate these methods.
实验图
Western blot analysis with OPRK1 antibody diluted at 1:10000;Lane: Mouse brain
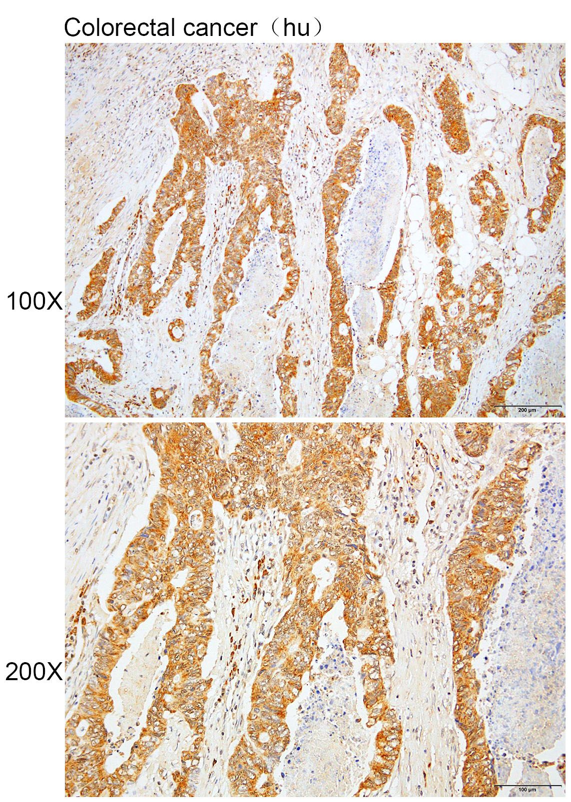
Immunohistochemistry of paraffin-embedded Human colorectal cancer with OPRK1 antibody diluted at 1:200
产品简介
| 宿主 | Rabbit |
| 稀释比例 | WB 1:8000-12000. IHC 1:100-300. |
| Gene ID | 4986 |
| 保存 | Store at -20°C. Avoid freeze / thaw cycles. |
| Swiss Prot | P41145 |
| 蛋白分子量 | 33/42kDa |
| 储存液 | Buffer: PBS with 0.03% Proclin300, 50% glycerol, pH7.3. |
| 亚细胞定位 | Cytoplasm |
| 免疫原 | A synthetic peptide of human OPRK1 |
| 亚型 | IgG |
| 纯化方法 | Octanoic acid-ammonium sulfate precipitation |
| Important Note | Important Note |
| 背景资料 | G-protein coupled opioid receptor that functions as receptor for endogenous alpha-neoendorphins and dynorphins, but has low affinity for beta-endorphins. Also functions as receptor for various synthetic opioids and for the psychoactive diterpene salvinorin A. Ligand binding causes a conformation change that triggers signaling via guanine nucleotide-binding proteins (G proteins) and modulates the activity of down-stream effectors, such as adenylate cyclase. Signaling leads to the inhibition of adenylate cyclase activity. Inhibits neurotransmitter release by reducing calcium ion currents and increasing potassium ion conductance. Plays a role in the perception of pain. Plays a role in mediating reduced physical activity upon treatment with synthetic opioids. Plays a role in the regulation of salivation in response to synthetic opioids. May play a role in arousal and regulation of autonomic and neuroendocrine functions. |
| Public Immunogen Range | 330-380/380aa |
| 克隆类型 | Polyclonal Antibody |
| 交叉反应 | Human Rat Mouse |
| 应用 | WB IHC |
| 规格 | 50ul 100ul |
备注:
以上数据均来自公开文献, Solarbio暂未进行独立验证, 仅供参考。
These protocols are for reference only. Solarbio does not independently validate these methods.
实验图
Western blot analysis with OPRK1 antibody diluted at 1:10000;Lane: Mouse brain
Immunohistochemistry of paraffin-embedded Human colorectal cancer with OPRK1 antibody diluted at 1:200
风险提示:丁香通仅作为第三方平台,为商家信息发布提供平台空间。用户咨询产品时请注意保护个人信息及财产安全,合理判断,谨慎选购商品,商家和用户对交易行为负责。对于医疗器械类产品,请先查证核实企业经营资质和医疗器械产品注册证情况。
技术资料暂无技术资料 索取技术资料
Anti-OPRK1 Polyclonal Antibody
¥960








