相关产品推荐更多 >
万千商家帮你免费找货
0 人在求购买到急需产品
- 详细信息
- 技术资料
- 免疫原:
A synthetic peptide of human SERPIND1
- 亚型:
IgG
- 保存条件:
Store at -20°C. Avoid freeze / thaw cycles.
- 供应商:
北京索莱宝科技有限公司
- 宿主:
Rabbit
- 应用范围:
WB IHC
- 靶点:
SERPIND1
- 规格:
50ul
Anti-SERPIND1 Polyclonal Antibody
产品简介
备注:
以上数据均来自公开文献, Solarbio暂未进行独立验证, 仅供参考。
These protocols are for reference only. Solarbio does not independently validate these methods.
实验图
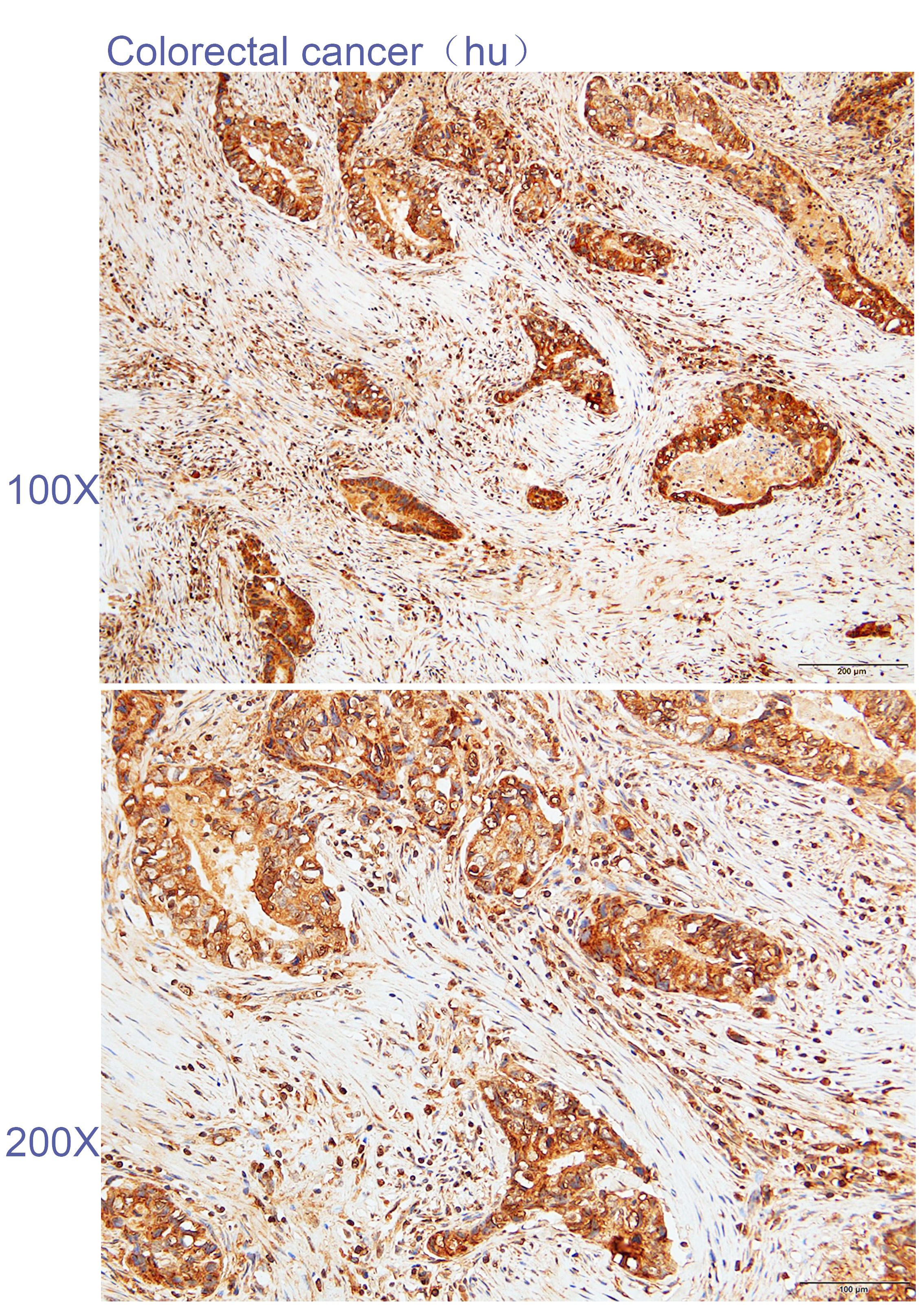
Immunohistochemistry of paraffin-embedded Human colorectal cancer with SERPIND1 antibody diluted at 1:40
Western blot analysis with SERPIND1 antibody diluted at 1:4000;Lane: K-562,HepG2,A431,293T,L-02,Mouse liver,Rat liver
产品简介
| 英文名称 | Anti-SERPIND1 Polyclonal Antibody |
| 别名 | SERPIND1;D22S673;HC2;HCF2;HCII;HLS2;LS2;THPH10 |
| 宿主 | Rabbit |
| 稀释比例 | WB 1:2000-5000. IHC 1:25-100. |
| Gene ID | 3053 |
| 保存 | Store at -20°C. Avoid freeze / thaw cycles. |
| Swiss Prot | P05546 |
| 蛋白分子量 | 57kDa |
| 储存液 | Buffer: PBS with 0.03% Proclin300, 50% glycerol, pH7.3. |
| 亚细胞定位 | Cytoplasm |
| 免疫原 | A synthetic peptide of human SERPIND1 |
| 亚型 | IgG |
| 纯化方法 | Affinity purification |
| 背景资料 | This gene belongs to the serpin gene superfamily. Serpins play roles in many processes including inflammation, blood clotting, and cancer metastasis. Members of this family have highly conserved secondary structures with a reactive center loop that interacts with the protease active site to inhibit protease activity. This gene encodes a plasma serine protease that functions as a thrombin and chymotrypsin inhibitor. The protein is activated by heparin, dermatan sulfate, and glycosaminoglycans. Allelic variations in this gene are associated with heparin cofactor II deficiency. |
| Public Immunogen Range | 75-125/499aa |
| 克隆类型 | Polyclonal Antibody |
| 交叉反应 | Human Rat Mouse |
| 应用 | WB IHC |
| 规格 | 50ul 100ul |
备注:
以上数据均来自公开文献, Solarbio暂未进行独立验证, 仅供参考。
These protocols are for reference only. Solarbio does not independently validate these methods.
实验图
Immunohistochemistry of paraffin-embedded Human colorectal cancer with SERPIND1 antibody diluted at 1:40
Western blot analysis with SERPIND1 antibody diluted at 1:4000;Lane: K-562,HepG2,A431,293T,L-02,Mouse liver,Rat liver
风险提示:丁香通仅作为第三方平台,为商家信息发布提供平台空间。用户咨询产品时请注意保护个人信息及财产安全,合理判断,谨慎选购商品,商家和用户对交易行为负责。对于医疗器械类产品,请先查证核实企业经营资质和医疗器械产品注册证情况。
技术资料暂无技术资料 索取技术资料
Anti-SERPIND1 Polyclonal Antibody
¥960









