相关产品推荐更多 >
万千商家帮你免费找货
0 人在求购买到急需产品
- 详细信息
- 技术资料
- 免疫原:
Recombinant protein of human FBXW4
- 亚型:
IgG
- 保存条件:
Store at -20°C. Avoid freeze / thaw cycles.
- 供应商:
北京索莱宝科技有限公司
- 宿主:
Rabbit
- 应用范围:
WB IHC
- 靶点:
FBXW4
- 规格:
50ul
Anti-FBXW4 Polyclonal Antibody
产品简介
备注:
以上数据均来自公开文献, Solarbio暂未进行独立验证, 仅供参考。
These protocols are for reference only. Solarbio does not independently validate these methods.
实验图
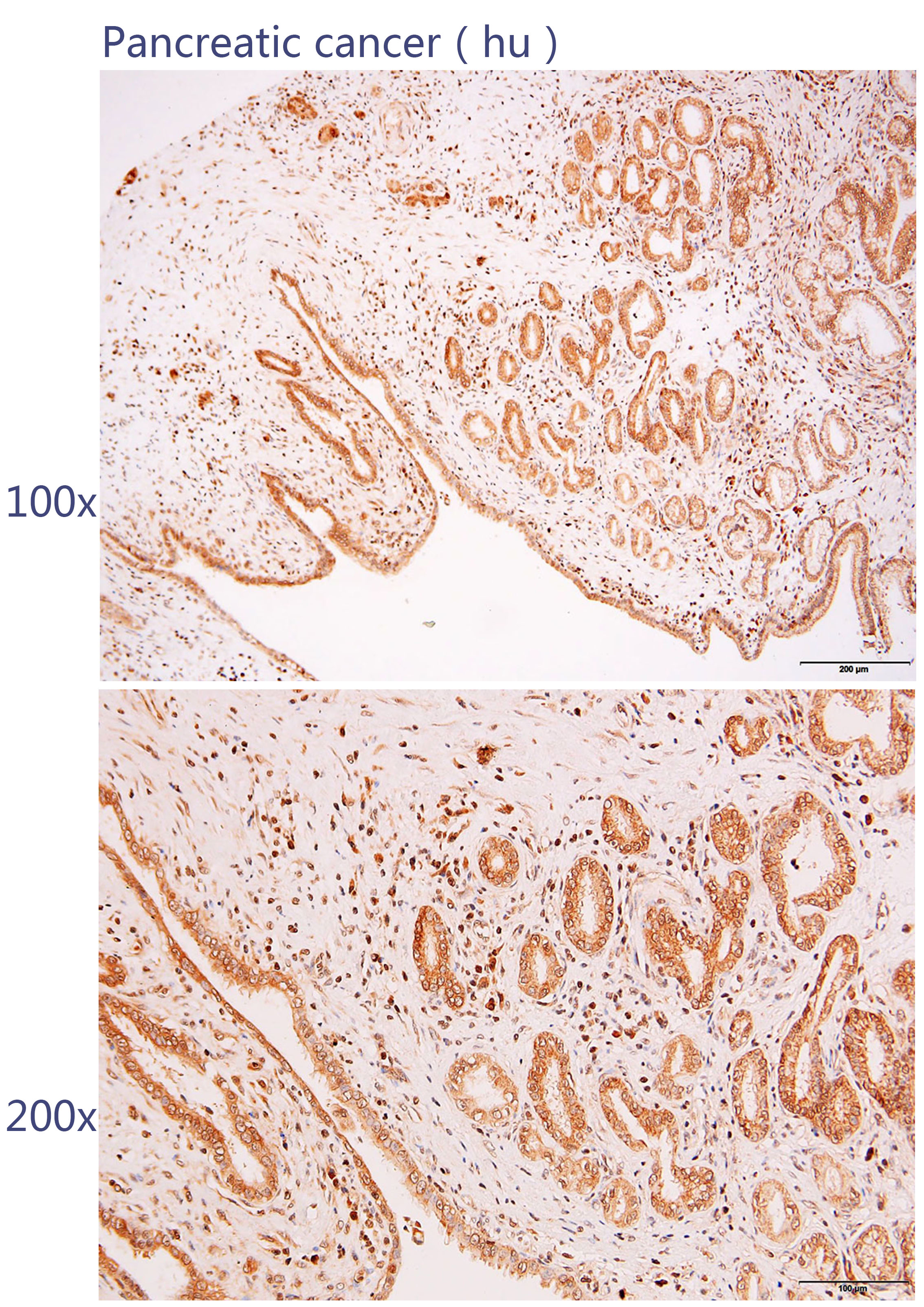
Immunohistochemistry of paraffin-embedded Human pancreatic cancer using FBXW4 antibody diluted at 1:100
Western blot analysis with FBXW4 antibody diluted at 1:10000;Lane: MCF7,HepG2,A549,THP-1
产品简介
| 英文名称 | Anti-FBXW4 Polyclonal Antibody |
| 别名 | FBXW4;DAC;FBW4;FBWD4;SHFM3;SHSF3 |
| 宿主 | Rabbit |
| 稀释比例 | WB 1:8000-12000. IHC 1:50-200. |
| Gene ID | 6468 |
| 保存 | Store at -20°C. Avoid freeze / thaw cycles. |
| Swiss Prot | P57775 |
| 蛋白分子量 | 46kDa |
| 储存液 | Buffer: PBS with 0.03% Proclin300, 50% glycerol, pH7.3. |
| 亚细胞定位 | Cytoplasm |
| 免疫原 | Recombinant protein of human FBXW4 |
| 亚型 | IgG |
| 纯化方法 | Affinity purification |
| 背景资料 | This gene is a member of the F-box/WD-40 gene family, which recruit specific target proteins through their WD-40 protein-protein binding domains for ubiquitin mediated degradation. In mouse, a highly similar protein is thought to be responsible for maintaining the apical ectodermal ridge of developing limb buds; disruption of the mouse gene results in the absence of central digits, underdeveloped or absent metacarpal/metatarsal bones and syndactyly. This phenotype is remarkably similar to split hand-split foot malformation in humans, a clinically heterogeneous condition with a variety of modes of transmission. An autosomal recessive form has been mapped to the chromosomal region where this gene is located, and complex rearrangements involving duplications of this gene and others have been associated with the condition. A pseudogene of this locus has been mapped to one of the introns of the BCR gene on chromosome 22. |
| Public Immunogen Range | 1-293aa |
| 克隆类型 | Polyclonal Antibody |
| 交叉反应 | Human Rat Mouse |
| 应用 | WB IHC |
| 规格 | 50ul 100ul |
备注:
以上数据均来自公开文献, Solarbio暂未进行独立验证, 仅供参考。
These protocols are for reference only. Solarbio does not independently validate these methods.
实验图
Immunohistochemistry of paraffin-embedded Human pancreatic cancer using FBXW4 antibody diluted at 1:100
Western blot analysis with FBXW4 antibody diluted at 1:10000;Lane: MCF7,HepG2,A549,THP-1
风险提示:丁香通仅作为第三方平台,为商家信息发布提供平台空间。用户咨询产品时请注意保护个人信息及财产安全,合理判断,谨慎选购商品,商家和用户对交易行为负责。对于医疗器械类产品,请先查证核实企业经营资质和医疗器械产品注册证情况。
技术资料暂无技术资料 索取技术资料
Anti-FBXW4 Polyclonal Antibody
¥960







