相关产品推荐更多 >
万千商家帮你免费找货
0 人在求购买到急需产品
- 详细信息
- 文献和实验
- 技术资料
- 免疫原:
A synthetic peptide of human Keratin10
- 亚型:
IgG
- 保存条件:
Store at -20°C. Avoid freeze / thaw cycles.
- 供应商:
北京索莱宝科技有限公司
- 宿主:
Rabbit
- 应用范围:
WB IHC
- 靶点:
Keratin10
- 规格:
50ul/100ul
| 规格: | 50ul | 产品价格: | ¥960.0 |
|---|---|---|---|
| 规格: | 100ul | 产品价格: | ¥1600.0 |
产品简介
| 英文名称 | Anti-Keratin10 Polyclonal Antibody |
| 中文名称 | 细胞角蛋白10抗体 |
| 别名 | 56 kDa cytokeratin, BCIE, BIE, CK 10, CK-10, ck10, Cytokeratin 10, Cytokeratin 6B, Cytokeratin VIB, Cytokeratin-10, Cytokeratin10, EHK, k10, K1C10_HUMAN, Keratin 10, Keratin, Keratin type i cytoskeletal 10, Keratin type I cytoskeletal 59 kDa, Keratin-10, Keratin10, kpp, Krt 1 10, Krt 10, krt10 , type I cytoskeletal 10, Type I keratin Ka10, Keratin, type I cytoskeletal 10, Cytokeratin-10, K10 |
| 背景资料 | This gene encodes a member of the type I (acidic) cytokeratin family, which belongs to the superfamily of intermediate filament (IF) proteins. Keratins are heteropolymeric structural proteins which form the intermediate filament. These filaments, along with actin microfilaments and microtubules, compose the cytoskeleton of epithelial cells. Mutations in this gene are associated with epidermolytic hyperkeratosis. This gene is located within a cluster of keratin family members on chromosome 17q21. |
| Swiss Prot | P13645 |
| Gene ID | 3858 |
| 亚细胞定位 | Cytoplasm |
| 宿主 | Rabbit |
| 克隆类型 | Polyclonal Antibody |
| 亚型 | IgG |
| 蛋白分子量 | 59kDa |
| 稀释比例 | WB 1:1000-3000. IHC 1:50-200. |
| 免疫原 | A synthetic peptide of human Keratin10 |
| Public Immunogen Range | 170-220/584aa |
| 纯化方法 | Affinity purification |
| 储存液 | Buffer: PBS with 0.03% Proclin300, 50% glycerol, pH7.3. |
| 保存 | Store at -20°C. Avoid freeze / thaw cycles. |
| 交叉反应 | Human Rat Mouse |
| 应用 | WB IHC |
| 规格 | 50ul 100ul |
| 单位 | 支 |
备注:
以上数据均来自公开文献, Solarbio暂未进行独立验证, 仅供参考。
These protocols are for reference only. Solarbio does not independently validate these methods.
温馨提示:
使用前请离心。如有问题请及时联系我们。
Quick spin before use. If you have any questions, please contact us.
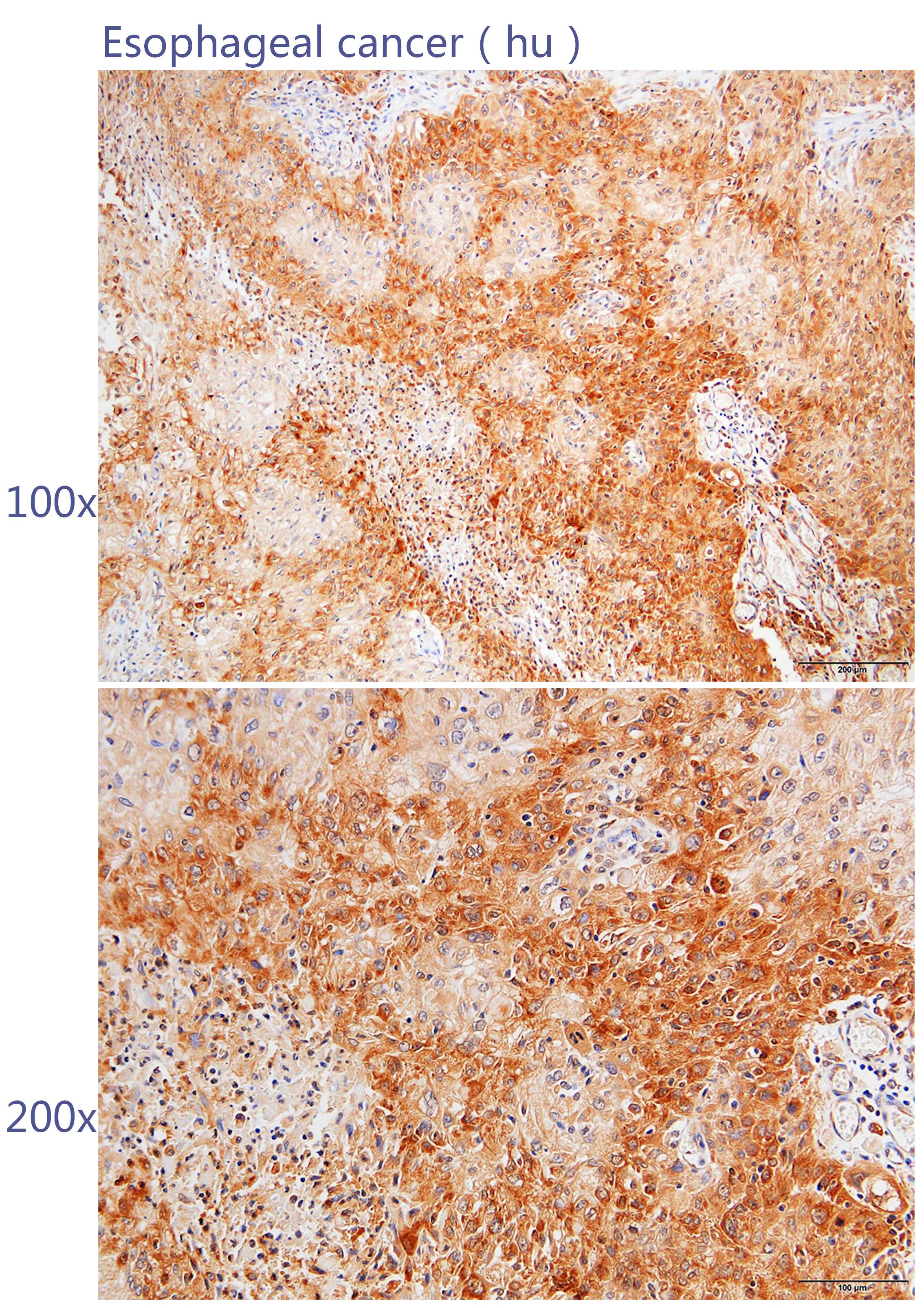
实验图
Immunohistochemistry of paraffin-embedded Human esophageal cancer with Keratin10 antibody diluted at 1:100
Western blot analysis with Keratin10 antibody diluted at 1:2000;Lane: Human cervical cancer,Human skin cancer,Mouse lung,Rat liver
风险提示:丁香通仅作为第三方平台,为商家信息发布提供平台空间。用户咨询产品时请注意保护个人信息及财产安全,合理判断,谨慎选购商品,商家和用户对交易行为负责。对于医疗器械类产品,请先查证核实企业经营资质和医疗器械产品注册证情况。
文献和实验Polyclonal Antibody Production
When you have the required amount of blood (1-5 mL is sufficient for a pre-bleed�for later bleeds take 20 mL), remove the needle and apply pressure to the wound. When the bleeding has stopped (~10 seconds), sterilize the ear with ethanol
Polyclonal Antibody Production
Polyclonal Antibody Production Very useful for rapid and simple generation of antibodies for western blots, ELISA assays, and immunoprecipitation. Rabbit Immunization Initial Preparation Your antigen
Construction of Polyclonal Antibody Libraries Using Phage Display
Polyclonal antibody libraries (PCALs) are standardized mixtures of antibodies (Abs) specific for an antigen (Ag) or multi-Ag target (a poly-Ag). As the immunoglobulin (Ig) genes are cloned, the mixtures can be perpetuated, amplified
技术资料暂无技术资料 索取技术资料









