相关产品推荐更多 >
万千商家帮你免费找货
0 人在求购买到急需产品
- 详细信息
- 文献和实验
- 技术资料
- 免疫原:
Recombinant protein of human USP15
- 亚型:
IgG
- 保存条件:
Store at -20°C. Avoid freeze / thaw cycles.
- 供应商:
北京索莱宝科技有限公司
- 宿主:
Rabbit
- 应用范围:
WB IHC
- 靶点:
USP15
- 规格:
50ul
产品简介
| 靶标 | USP15 |
| 别名 | UNPH-2;UNPH4 |
| 宿主 | Rabbit |
| 稀释比例 | WB 1:1000-3000. IHC 1:50-200. |
| Gene ID | 9958 |
| 保存 | Store at -20°C. Avoid freeze / thaw cycles. |
| Swiss Prot | Q9Y4E8 |
| 蛋白分子量 | 27/109/112kDa |
| 储存液 | Buffer: PBS with 0.03% Proclin300, 50% glycerol, pH7.3. |
| 亚细胞定位 | Cytoplasm Nucleus |
| 免疫原 | Recombinant protein of human USP15 |
| 亚型 | IgG |
| 纯化方法 | Affinity purification |
| 背景资料 | Hydrolase that removes conjugated ubiquitin from target proteins and regulates various pathways such as the TGF-beta receptor signaling, NF-kappa-B and RNF41/NRDP1-PRKN pathways. Acts as a key regulator of TGF-beta receptor signaling pathway, but the precise mechanism is still unclear: according to a report, acts by promoting deubiquitination of monoubiquitinated R-SMADs (SMAD1, SMAD2 and/or SMAD3), thereby alleviating inhibition of R-SMADs and promoting activation of TGF-beta target genes. According to another reports, regulates the TGF-beta receptor signaling pathway by mediating deubiquitination and stabilization of TGFBR1, leading to an enhanced TGF-beta signal. Able to mediate deubiquitination of monoubiquitinated substrates as well as 'Lys-48'-linked polyubiquitin chains, protecting them against proteasomal degradation. May also regulate gene expression and/or DNA repair through the deubiquitination of histone H2B. Acts as an inhibitor of mitophagy by counteracting the action of parkin (PRKN): hydrolyzes cleavage of 'Lys-48'- and 'Lys-63'-linked polyubiquitin chains attached by parkin on target proteins such as MFN2, thereby reducing parkin's ability to drive mitophagy. Acts as an associated component of COP9 signalosome complex (CSN) and regulates different pathways via this association: regulates NF-kappa-B by mediating deubiquitination of NFKBIA and deubiquitinates substrates bound to VCP. Involved in endosome organization by mediating deubiquitination of SQSTM1: ubiquitinated SQSTM1 forms a molecular bridge that restrains cognate vesicles in the perinuclear region and its deubiquitination releases target vesicles for fast transport into the cell periphery. |
| Public Immunogen Range | 1-236aa |
| 克隆类型 | Polyclonal Antibody |
| 交叉反应 | Human Predicted:Bovine Fruit fly Rat Mouse |
| 应用 | WB IHC |
| 规格 | 50ul 100ul |
备注:
以上数据均来自公开文献, Solarbio暂未进行独立验证, 仅供参考。
These protocols are for reference only. Solarbio does not independently validate these methods.
实验图
Western blot analysis with USP15 antibody diluted at 1:2000;Lane:A549,COS7,HEK-293
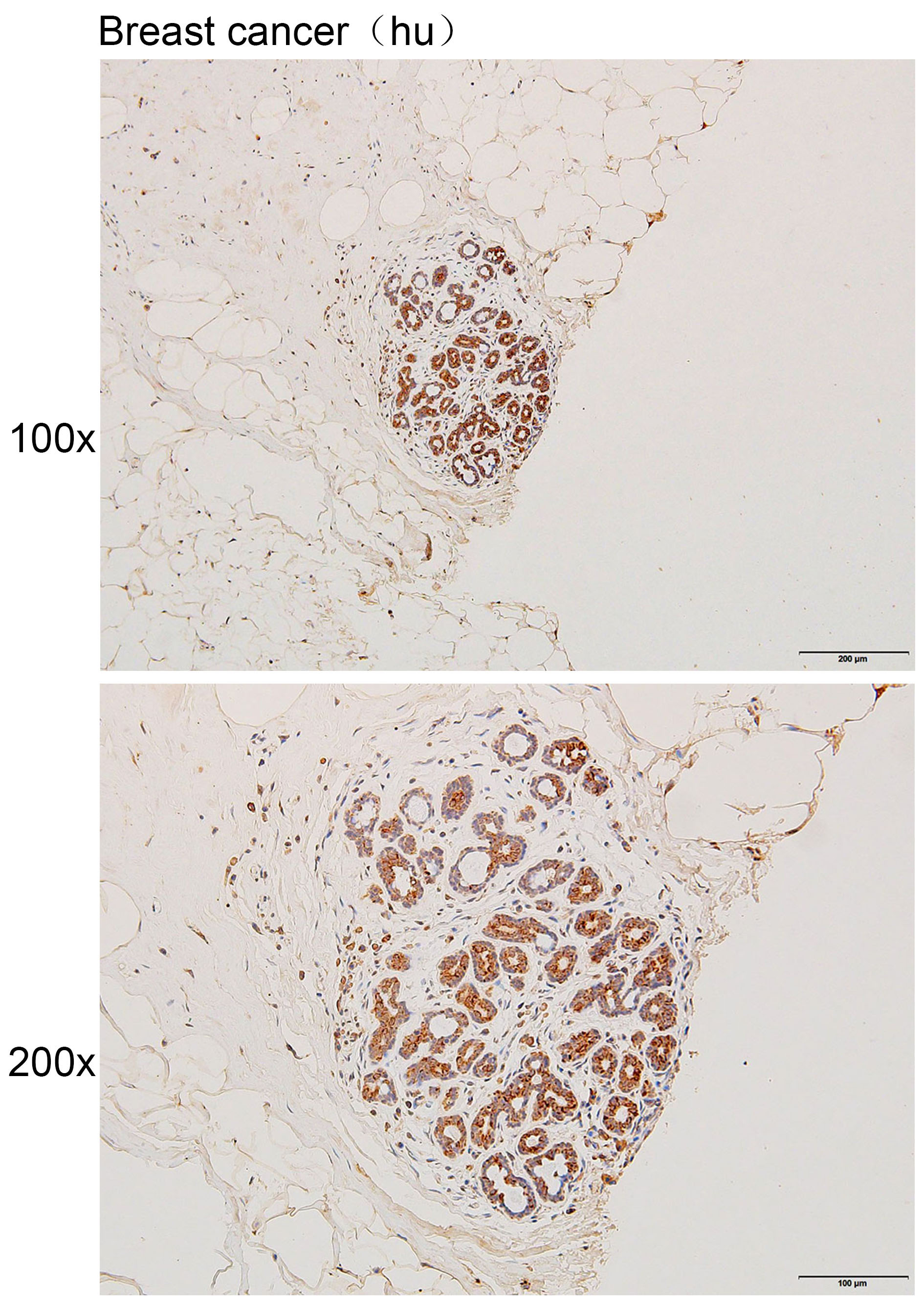
Immunohistochemistry of paraffin-embedded Human breast cancer with USP15 antibody diluted at 1:100.
风险提示:丁香通仅作为第三方平台,为商家信息发布提供平台空间。用户咨询产品时请注意保护个人信息及财产安全,合理判断,谨慎选购商品,商家和用户对交易行为负责。对于医疗器械类产品,请先查证核实企业经营资质和医疗器械产品注册证情况。
文献和实验Polyclonal Antibody Production
, if desired this is best accomplished by Protein A Affinity Chromatography. 上一篇:make an Antibody against a Peptides 下一篇:Immunization Protocol for Monoclonal Antibody Production
Polyclonal Antibody Production
Polyclonal Antibody Production Very useful for rapid and simple generation of antibodies for western blots, ELISA assays, and immunoprecipitation. Rabbit Immunization Initial Preparation Your antigen
a simple ELISA method to detect human anti-antibody response.
技术资料暂无技术资料 索取技术资料








