相关产品推荐更多 >
万千商家帮你免费找货
0 人在求购买到急需产品
- 详细信息
- 技术资料
- 免疫原:
A synthetic peptide of Human ZFP36L2
- 亚型:
IgG
- 保存条件:
Store at -20°C. Avoid freeze / thaw cycles.
- 供应商:
北京索莱宝科技有限公司
- 宿主:
Rabbit
- 应用范围:
IHC
- 靶点:
ZFP36L2
- 规格:
50ul
Anti-ZFP36L2 Polyclonal Antibody
产品简介
备注:
以上数据均来自公开文献, Solarbio暂未进行独立验证, 仅供参考。
These protocols are for reference only. Solarbio does not independently validate these methods.
实验图
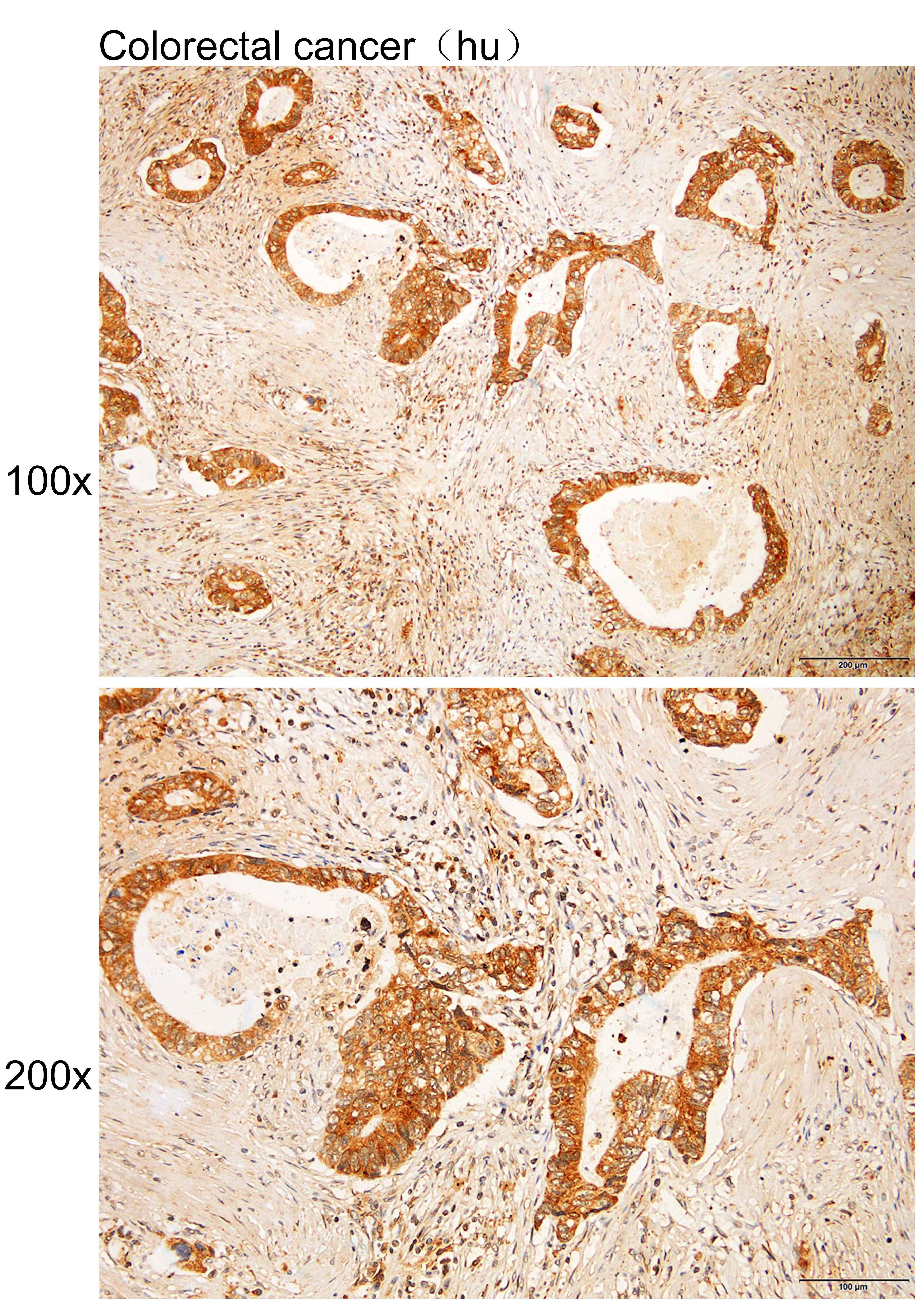
Immunohistochemistry of paraffin-embedded Human colorectal cancer with ZFP36L2 antibody diluted at 1:80
产品简介
| 英文名称 | Anti-ZFP36L2 Polyclonal Antibody |
| 别名 | BRF2;Butyrate response factor 2;C3H1 type-like 2;EGF response factor 2;EGF-response factor 2;ERF 2;ERF-2;ERF2;Protein TIS11D;RNF162C;TIS11D;TISD_HUMAN;ZFP36 like 2;ZFP36 ring finger protein like 2;ZFP36-like 2;Zfp36l2;Zinc finger protein 36;Zinc finger protein 36, C3H type like 1;zinc finger protein 36, C3H type like 2;Zinc finger protein 36, C3H1 type like 2;Zinc finger protein, C3H type, 36 like 2; |
| 宿主 | Rabbit |
| 稀释比例 | IHC 1:25-100. |
| Gene ID | 678 |
| 保存 | Store at -20°C. Avoid freeze / thaw cycles. |
| Swiss Prot | P47974 |
| 蛋白分子量 | 51kDa |
| 储存液 | Buffer: PBS with 0.03% Proclin300, 50% glycerol, pH7.3. |
| 亚细胞定位 | Cytoplasm Cell membrane |
| 免疫原 | A synthetic peptide of Human ZFP36L2 |
| 亚型 | IgG |
| 纯化方法 | Affinity purification |
| 背景资料 | Zinc-finger RNA-binding protein that destabilizes several cytoplasmic AU-rich element (ARE)-containing mRNA transcripts by promoting their poly(A) tail removal or deadenylation, and hence provide a mechanism for attenuating protein synthesis (PubMed:25106868, PubMed:14981510). Acts as a 3'-untranslated region (UTR) ARE mRNA-binding adapter protein to communicate signaling events to the mRNA decay machinery (PubMed:25106868). Functions by recruiting the CCR4-NOT deadenylase complex and probably other components of the cytoplasmic RNA decay machinery to the bound ARE-containing mRNAs, and hence promotes ARE-mediated mRNA deadenylation and decay processes (PubMed:25106868). Binds to 3'-UTR ARE of numerous mRNAs (PubMed:20506496, PubMed:25106868, PubMed:14981510). Promotes ARE-containing mRNA decay of the low-density lipoprotein (LDL) receptor (LDLR) mRNA in response to phorbol 12-myristate 13-acetate treatment in a p38 MAPK-dependent manner (PubMed:25106868). Positively regulates early adipogenesis by promoting ARE-mediated mRNA decay of immediate early genes (IEGs). Plays a role in mature peripheral neuron integrity by promoting ARE-containing mRNA decay of the transcriptional repressor REST mRNA. Plays a role in ovulation and oocyte meiotic maturation by promoting ARE-mediated mRNA decay of the luteinizing hormone receptor LHCGR mRNA. Acts as a negative regulator of erythroid cell differentiation: promotes glucocorticoid-induced self-renewal of erythroid cells by binding mRNAs that are induced or highly expressed during terminal erythroid differentiation and promotes their degradation, preventing erythroid cell differentiation. In association with ZFP36L1 maintains quiescence on developing B lymphocytes by promoting ARE-mediated decay of several mRNAs encoding cell cycle regulators that help B cells progress through the cell cycle, and hence ensuring accurate variable-diversity-joining (VDJ) recombination process and functional immune cell formation. Together with ZFP36L1 is also necessary for thymocyte development and prevention of T-cell acute lymphoblastic leukemia (T-ALL) transformation by promoting ARE-mediated mRNA decay of the oncogenic transcription factor NOTCH1 mRNA. |
| Public Immunogen Range | 220-270/494aa |
| 克隆类型 | Polyclonal Antibody |
| 交叉反应 | Human |
| 应用 | IHC |
| 规格 | 50ul 100ul |
备注:
以上数据均来自公开文献, Solarbio暂未进行独立验证, 仅供参考。
These protocols are for reference only. Solarbio does not independently validate these methods.
实验图
Immunohistochemistry of paraffin-embedded Human colorectal cancer with ZFP36L2 antibody diluted at 1:80
风险提示:丁香通仅作为第三方平台,为商家信息发布提供平台空间。用户咨询产品时请注意保护个人信息及财产安全,合理判断,谨慎选购商品,商家和用户对交易行为负责。对于医疗器械类产品,请先查证核实企业经营资质和医疗器械产品注册证情况。
技术资料暂无技术资料 索取技术资料
Anti-ZFP36L2 Polyclonal Antibody
¥960







