相关产品推荐更多 >
万千商家帮你免费找货
0 人在求购买到急需产品
- 详细信息
- 文献和实验
- 技术资料
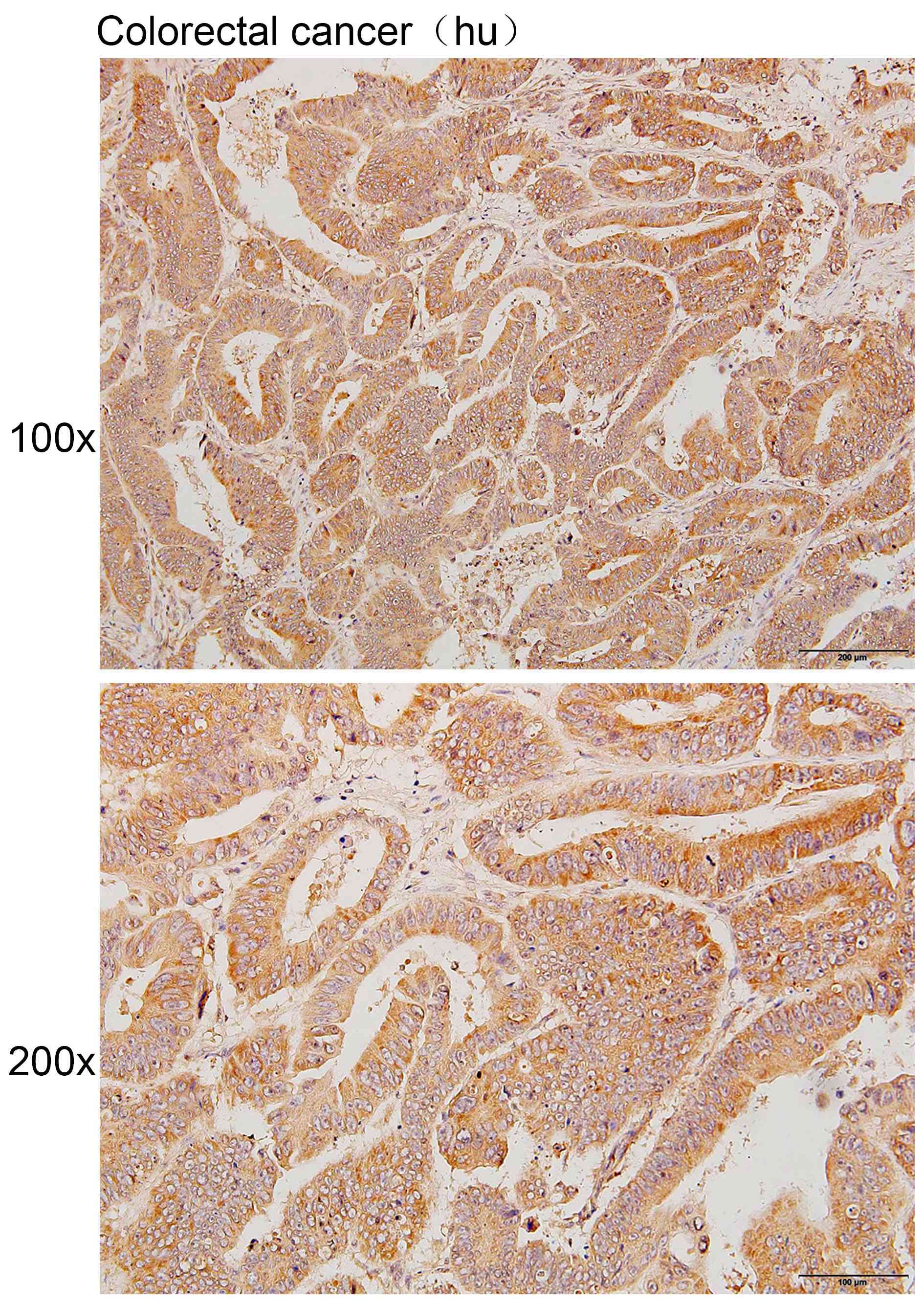
- 免疫原:
A synthetic peptide of human ARHGAP17
- 亚型:
IgG
- 形态:
液体/冻干粉
- 保存条件:
Store at -20°C. Avoid freeze / thaw cycles.
- 克隆性:
多克隆
- 标记物:
Biotin,Cy3,Cy3.5,Cy5,Cy5.5,Cy7,FITC,HRP,RBITC,SAlexa Fluor 350,SAlexa Fluor 405,SAlexa Fluor 488,SAlexa Fluor 532,SAlexa Fluor 555,SAlexa Fluor 568,SAlexa Fluor 594,SAlexa Fluor 633,SAlexa Fluor 640,SAlexa Fluor 647,SAlexa Fluor 660,SAlexa Fluor 680,SAlexa Fluor 750
- 适应物种:
Mouse ; Rat ; Human
- 保质期:
1-3年
- 抗原来源:
A synthetic peptide of human ARHGAP17
- 目录编号:
55114
- 级别:
科研级别
- 库存:
999
- 供应商:
北京索莱宝科技有限公司
- 宿主:
Rabbit
- 应用范围:
IHC
- 浓度:
IHC 1:50-200.
- 靶点:
ARHGAP17
- 抗体英文名:
Anti-ARHGAP17 Polyclonal Antibody
- 抗体名:
神经细胞发育相关调控蛋白抗体
- 规格:
100ul/50ul
| 规格: | 100ul | 产品价格: | ¥1600.0 |
|---|---|---|---|
| 规格: | 50ul | 产品价格: | ¥960.0 |
Rho GTPase-activating protein involved in the maintenance of tight junction by regulating the activity of CDC42, thereby playing a central role in ap ical polarity of epithelial cells. Specifically acts as a GTPase activator for the CDC42 GTPase by converting it to an inactive GDP-bound state. The complex formed with AMOT acts by regulating the uptake of polarity proteins at tight junctions, possibly by deciding whether tight junction transmembrane proteins are recycled back to the plasma membrane or sent elsewhere. Participates in the Ca2+-dependent regulation of exocytosis, possibly by catalyzing GTPase activity of Rho family proteins and by inducing the reorganization of the cortical actin filaments. Acts as a GTPase activator in vitro for RAC1.
风险提示:丁香通仅作为第三方平台,为商家信息发布提供平台空间。用户咨询产品时请注意保护个人信息及财产安全,合理判断,谨慎选购商品,商家和用户对交易行为负责。对于医疗器械类产品,请先查证核实企业经营资质和医疗器械产品注册证情况。
文献和实验Polyclonal Antibody Production
, if desired this is best accomplished by Protein A Affinity Chromatography. 上一篇:make an Antibody against a Peptides 下一篇:Immunization Protocol for Monoclonal Antibody Production
Polyclonal Antibody Production
Polyclonal Antibody Production Very useful for rapid and simple generation of antibodies for western blots, ELISA assays, and immunoprecipitation. Rabbit Immunization Initial Preparation Your antigen
a simple ELISA method to detect human anti-antibody response.









