相关产品推荐更多 >
万千商家帮你免费找货
0 人在求购买到急需产品
- 详细信息
- 技术资料
- 免疫原:
Recombinant protein of human ARAF
- 亚型:
IgG
- 形态:
液体/冻干粉
- 保存条件:
Store at -20°C. Avoid freeze / thaw cycles.
- 克隆性:
多克隆
- 标记物:
Biotin,Cy3,Cy3.5,Cy5,Cy5.5,Cy7,FITC,HRP,RBITC,SAlexa Fluor 350,SAlexa Fluor 405,SAlexa Fluor 488,SAlexa Fluor 532,SAlexa Fluor 555,SAlexa Fluor 568,SAlexa Fluor 594,SAlexa Fluor 633,SAlexa Fluor 640,SAlexa Fluor 647,SAlexa Fluor 660,SAlexa Fluor 680,SAlexa Fluor 750
- 适应物种:
Human ; Rat ; Mouse
- 保质期:
1-3年
- 抗原来源:
Recombinant protein of human ARAF
- 目录编号:
369
- 级别:
科研级别
- 库存:
999
- 供应商:
北京索莱宝科技有限公司
- 宿主:
Rabbit
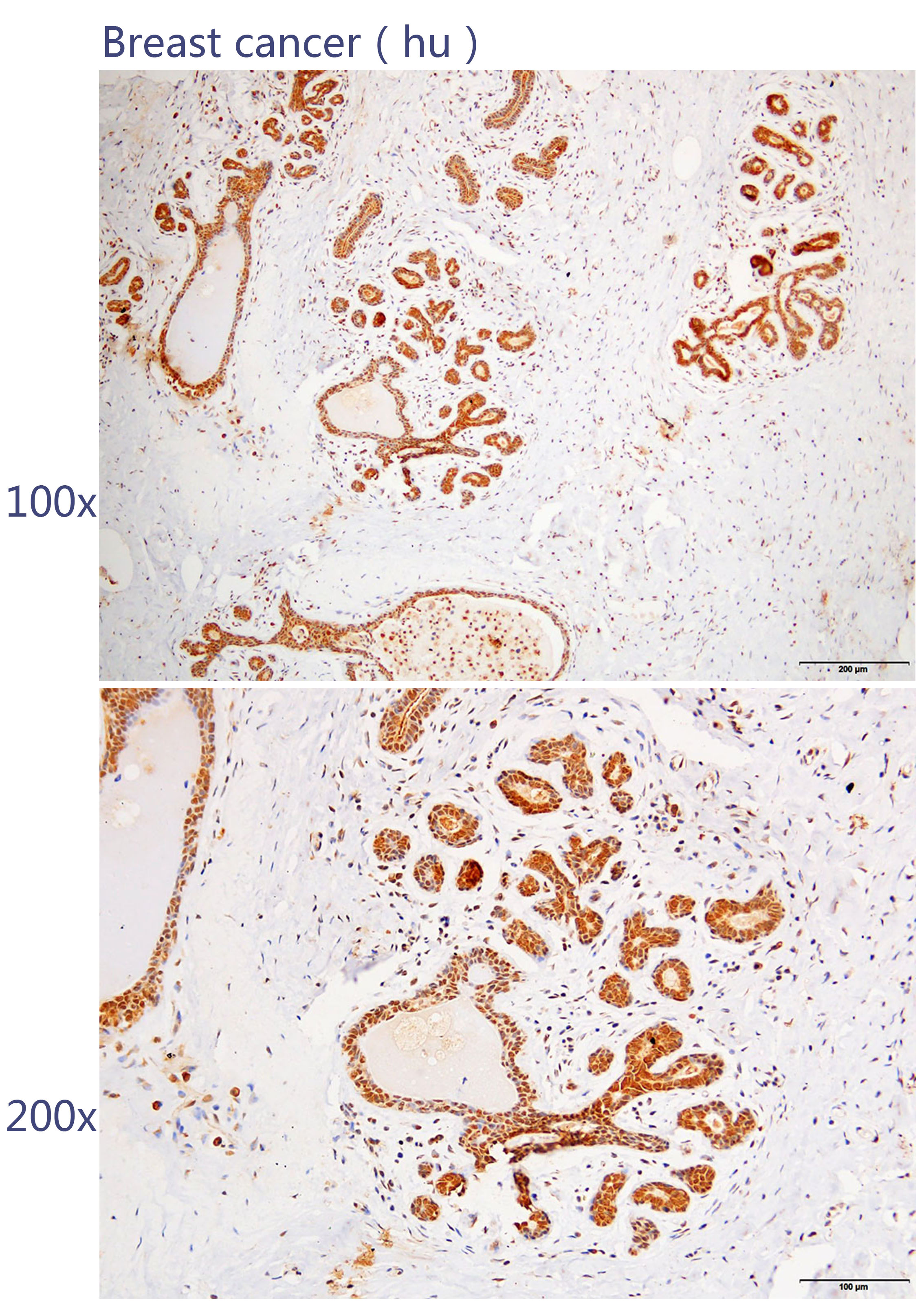
- 应用范围:
IHC
- 浓度:
IHC 1:100-300.
- 靶点:
ARAF
- 抗体英文名:
Anti-ARAF Polyclonal Antibody
- 抗体名:
v-raf鼠肉瘤3611病毒癌基因同源物抗体
- 规格:
100ul/50ul
| 规格: | 100ul | 产品价格: | ¥1600.0 |
|---|---|---|---|
| 规格: | 50ul | 产品价格: | ¥960.0 |
This proto-oncogene belongs to the RAF subfamily of the Ser/Thr protein kinase family, and maybe involved in cell growth and development. Alternatively spliced transcript variants encoding different isoforms have been found for this gene.
风险提示:丁香通仅作为第三方平台,为商家信息发布提供平台空间。用户咨询产品时请注意保护个人信息及财产安全,合理判断,谨慎选购商品,商家和用户对交易行为负责。对于医疗器械类产品,请先查证核实企业经营资质和医疗器械产品注册证情况。







