相关产品推荐更多 >
万千商家帮你免费找货
0 人在求购买到急需产品
- 详细信息
- 技术资料
- 保存条件:
室温
- 保质期:
12个月
- 英文名:
CellBrite NIR750 Cytoplasmic Membrane Dye, 2 mM in DMSO 30077
- 库存:
99
- 供应商:
Biotium
- CAS号:
1
Biotium’s CellBrite® NIR Cytoplasmic Membrane Dyes are unique near-infrared lipophilic carbocyanine dyes for labeling cytoplasmic membranes in live or formaldehyde-fixed cells.
- Novel, near-IR lipophilic carbocyanine dyes
- Long-lasting staining with low toxicity and minimal dye transfer
- Useful for cell tracing, tracking, and transplantation studies
- Formaldehyde-fixable
- Stain live cells in culture medium, or stain formaldehyde-fixed cells
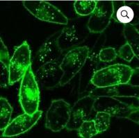
Carbocyanine dyes label cytoplasmic membranes and intracellular membrane structures efficiently and permanently. They have been used as tracers in cell–cell fusion, cellular adhesion, and migration applications due to their properties of low cytotoxicity and high resistance to intercellular transfer. However, the lipophilic nature of these dyes pose an obstacle to uniform cellular labeling. Although structurally related PKH dyes have been developed and optimized for cell labeling, the procedure requires multiple steps and subjects cells to an iso-osmotic mannitol loading medium. A variety of carbocyanine dyes with different optical properties are available, allowing cell populations to be marked with distinct fluorescent colors for identification after mixing. Double labeling can identify cells that have fused or formed stable clusters.
CellBrite® NIR Cytoplasmic Membrane Dyes are novel near-infrared carbocyanine dyes for labeling the cytoplasmic membranes of living cells. Due to their long emission wavelengths, near-infrared cell membrane stains can be used to label cells for near-infrared small animal imaging studies for non-invasive imaging of cell migration and cell homing. The dyes have long 18-carbon hydrophobic tails and an additional water-soluble group. These unique chemical structure elements make the dyes easy to dissolve while providing highly stable cytoplasmic membrane staining, unlike traditional carbocyanine dyes like DiI, DiO, and DiR, which are often difficult to dissolve or prone to precipitation during cell staining.
CellBrite® NIR Cytoplasmic Membrane Dyes are available in the following colors: NIR680, NIR750, NIR770, and NIR790. Biotium offers other CellBrite® Cytoplasmic Membrane Stains in a variety of colors.
Find the Right Stain for Your Application
CellBrite® NIR dyes can be used to stain live cells or formaldehyde-fixed cells. Live cells can be fixed in formaldehyde after staining as well, but the staining has poor tolerance for methanol fixation or detergent permeabilization. However, permeabilizing fixed cells before staining with CellBrite® NIR dyes can give good results. For membrane stains that withstand fixation with either formaldehyde or methanol, as well as detergent permeabilization after staining, see our CellBrite® Fix Membrane Stains and MemBrite® Fix Cell Surface Staining Kits. For more information, download the product information sheet, or see Frequently Asked Questions.
CellBrite® NIR dyes do not stain yeast or bacteria. See our Cellular Stains Table for more information on how our dyes stain various organisms.
CellBrite® NIR dyes are non-toxic and stain cells very stably. They can be used to track cells for days to weeks. However, over time the dyes will be internalized by endocytosis, resulting in labeling of intracellular vesicles. By 24 hours after staining, the dyes will no longer outline the plamsa membrane, but will be localized inside the cell. For long-term visualization of cell morphology in culture, our stable, non-toxic ViaFluor® SE Cell Proliferation Kits may be a more suitable alternative. ViaFluor® SE dyes covalently label cells throughout the cytoplasm and can be tracked for several days or longer by microscopy or flow cytometry. See our Tech Tip: Using ViaFluor® SE Stains for Cell Tracing and Co-Culture to learn more.
Product Information
| Catalog No. | Membrane Dye | Abs/Em |
|---|---|---|
| 30070 | CellBrite® NIR680 | 683/724 nm |
| 30077 | CellBrite® NIR750 | 748/780 nm |
| 30078 | CellBrite® NIR770 | 767/806 nm |
| 30079 | CellBrite® NIR790 | 786/820 nm |
风险提示:丁香通仅作为第三方平台,为商家信息发布提供平台空间。用户咨询产品时请注意保护个人信息及财产安全,合理判断,谨慎选购商品,商家和用户对交易行为负责。对于医疗器械类产品,请先查证核实企业经营资质和医疗器械产品注册证情况。











