相关产品推荐更多 >
万千商家帮你免费找货
0 人在求购买到急需产品
- 详细信息
- 文献和实验
- 技术资料
- 免疫原:
Recombinant fragment corresponding to residues in human SOX-10 protein
- 亚型:
IgG
- 形态:
Liquid
- 保存条件:
Store as concentrated solution. Centrifuge briefly prior to opening vial. Store at 4ºC.
- 克隆性:
Monoclonal
- 标记物:
Unconjugated
- 适应物种:
Human
- 保质期:
12 months from the shipping date of the product.
- 抗原来源:
Human
- 目录编号:
GTX03312
- 级别:
Primary Antibodies
- 库存:
Available
- 供应商:
GeneTex
- 宿主:
Rabbit
- 应用范围:
IHC-P
- 浓度:
Batch dependent (Please refer to the vial label for the specific concentration.)
- 靶点:
SOX10
- 抗体英文名:
SOX10 antibody [EP268]
- 抗体名:
SOX10 抗体 [EP268]
- 规格:
500 μl
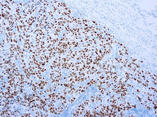
IHC-P analysis of human melanoma tissue section using GTX03312 SOX10 antibody [EP268].
风险提示:丁香通仅作为第三方平台,为商家信息发布提供平台空间。用户咨询产品时请注意保护个人信息及财产安全,合理判断,谨慎选购商品,商家和用户对交易行为负责。对于医疗器械类产品,请先查证核实企业经营资质和医疗器械产品注册证情况。
文献和实验Monoclonal Antibody Production Protocol
(1)Cell Fusion and Selection Solutions: - IMDM - IMDM complete + 15% MCM. - PBS - PEG 50% ( w/v ): PEG 4000 ( 50% ) from Boehringer Manheim 1 243 268 - Aminopterin: Sigma, A 5159 (50X ) Prepare a T-150 flask with 170ml of IMDM
Detection of RTK Pathway Activation in Drosophila Using Anti-dpERK Immunofluorescence Staining
kinase (MAPK/Erk). Once active, MAPK/Erk phosphorylates its cytoplasmic and nuclear substrates, consequently modulating (i.e., stimulating or inhibiting) their biological function (Murphy and Blenis, Trends in Biochemical Sciences 31:268–275, 2006
Rapid Isotyping of Mouse Monoclonal Antibodies
from serum, valence, and avidity, all depend on isotype. Isotyping is a basis for the selection of antibody purification, conjugation, fragmentation, and storage procedures, and predicts cytotoxic properties and half-life in vivo (see Note 1 ). In addition
技术资料暂无技术资料 索取技术资料








![IKK alpha antibody [3G12]](https://img1.dxycdn.com/2022/0328/428/0956977236127500453-14.jpg!wh200)

