相关产品推荐更多 >
万千商家帮你免费找货
0 人在求购买到急需产品
- 详细信息
- 文献和实验
- 技术资料
- 品系:
表达SV40T抗原人胚肾上皮细胞;293FT
- 细胞类型:
表达SV40T抗原人胚肾上皮细胞;293FT
- 肿瘤类型:
/
- 供应商:
优利科(上海)生命科学有限公司
- 库存:
100
- 英文名:
293FT
- 生长状态:
贴壁
- 年限:
永久
- 运输方式:
快递形式
- 器官来源:
表达SV40T抗原人胚肾上皮细胞;293FT
- 是否是肿瘤细胞:
是
- 细胞形态:
正常
- 免疫类型:
/
- 物种来源:
表达SV40T抗原人胚肾上皮细胞;293FT
- 相关疾病:
/
- 组织来源:
表达SV40T抗原人胚肾上皮细胞;293FT
- 规格:
T25培养瓶
该细胞稳定表达SV40大T抗原,并且促进最适病毒产物的产生。
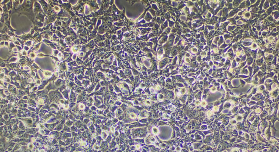
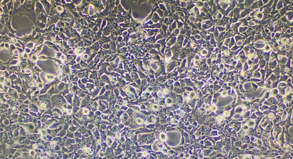
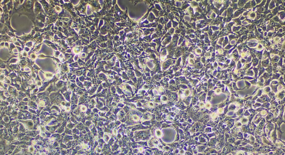
| 细胞英文名称 | NCI-H661 | 细胞中文名称 | 人大细胞肺癌细胞 |
| 形态特性 | 圆形 | 生长特性 | 贴壁生长 |
| 培养体系 | DMEM(HG)+500ug/mlG418+10%FBS | ||
| 传代方法 | 1:2传代 | 传代情况 | |
| 冻存条件 | 无血清细胞冻存液 | ||
| 备注 | 悬浮细胞离心收集 | ||
STR:Amelogenin:X;CSF1PO:7,12;D13S317:12;D16S539:9,13;D18S51:17,18;D19S433:15,18;D21S11:28,30.2;D2S1338:19;D3S1358:15,17;D5S818:8,9;D7S820:11;D8S1179:12,14;FGA:23;TH01:7,9.3;TPOX:11;vWA:16,19;




1、 细胞传代:
1)细胞生长至覆盖培养瓶的 80%面积时,弃 25cm2 培养瓶中的培养液,用 PBS 清洗细胞一次;
2)添加 0.25%胰蛋白酶消化液约 1ml 至培养瓶中,倒置显微镜下观察,待细胞回缩变圆后加入 5ml 完全培养
液终止消化,再轻轻吹打细胞使之脱落,然后将悬液转移至 15ml 离心管中, 1000rpm 离心 5min;
3)弃上清,沉淀细胞用 1-2ml 完全培养基重悬,然后按 1:2 比例进行分瓶传代,最后放入 37℃, 5%CO2 细胞
培养箱中培养;
2、 细胞冻存:
1)细胞生长至覆盖培养瓶的 80%面积时,弃 25cm2 培养瓶中的培养液,用 PBS 清洗细胞一次;
2)添加 0.25%胰蛋白酶消化液约 1ml 至培养瓶中,倒置显微镜下观察,待细胞回缩变圆后加入完全培养液终
止消化,轻轻吹打细胞使之脱落,然后将悬液转移至 15ml 离心管中, 1000rpm 离心 5min;
3)用适量的冻存液(FBS: DMSO=9 : 1)重悬细胞,并放置于冻存管中;
4)先将细胞冻存管放置于-20℃ 1.5h,然后将其移入-80℃过夜, 24h 后转入液氮中进行长期保存。使用程序
降温盒可直接放入-80℃。
3、细胞复苏:
1)从液氮中取出细胞冻存管(注意:佩戴防爆管面具),快速将其置入 37℃水浴中解冻,直至冻存管中无结
晶,然后用 75%的酒精擦拭冻存管外壁;
2)将冻存管中的细胞移至含 6ml 完全培养基的 15ml 离心管中, 1000rpm 离心 5min;
3)弃上清,沉淀用 6ml 完全培养基重悬,接种 25cm2 培养瓶,于 37℃, 5%CO2 细胞培养箱中培养
人大细胞肺癌细胞;NCI-H661收到后处理
细胞在培养瓶中培养至良好状态后灌满完全培养液并封好瓶口是细胞运输的最好办法。收到细胞回到自己的实验室后,先打开外包装,用75%酒精喷洒整个瓶消毒后放到超净台内,严格无菌操作。镜下观察:未超过80%汇合度时,可将瓶装的完全培养液移入废液缸中,悬浮细胞需离心处理,加入6ml新鲜完全培养基,放入37℃、5%CO2孵箱培养;超过80%汇合度时,根据情况传代或者冻存,具体操作见细胞培养步骤说明书。
风险提示:丁香通仅作为第三方平台,为商家信息发布提供平台空间。用户咨询产品时请注意保护个人信息及财产安全,合理判断,谨慎选购商品,商家和用户对交易行为负责。对于医疗器械类产品,请先查证核实企业经营资质和医疗器械产品注册证情况。
文献和实验腺病毒可以在293A细胞中进行转录,表达并可进行包装复制出大量高滴度病毒。293T是一种逆转录包装表达细胞,我做过也可进行表达,但还没有具体鉴定表达后的病毒是否可用。293细胞系是原代人胚肾细胞转染5型腺病毒(Ad 5)DNA的永生化细胞,表达转染的腺病毒5的基因。细胞来源都是人肧肾上皮细胞,293T细胞表达E1A蛋白,SV40大T抗原,含有SV40复制起始点与启动子区的质粒可以复制。293FT细胞能制造高滴度的慢病毒。293A细胞来源于人肾纤维母细胞,组成性表达E1A 和E1B 蛋白
summityoung 请问大家,用最普通的HEK293细胞能包装慢病毒码?谢谢 freecell 从文献上看,已经有多篇文献报道了用HEK293来包装细胞。但是包装的效果可能没有其它293衍生细胞好。例如293FT来源于293细胞,293FT和293T细胞一样,都是转化了SV40大T抗原的293细胞的一个衍生物。这些细胞系具适宜的包膜和高表达反转录酶,能提高逆转录病毒的滴度。与293T细胞相比,293FT生长的更快,转染
细胞名称 293 和 293T种属人组织来源 293细胞是转染腺病毒E1A基因的人肾上皮细胞系,293T细胞由293细胞派生,同时表达SV40大T抗原,含有SV40复制起始点与启动子区的质粒可以复制。用磷酸钙转染效率可高达50%。蛋白表达水平高,转染后2-3天用碱性磷酸酶分析可较容易地检测到表达的蛋白。瞬时转染293T细胞是过表达蛋白并获得细胞内及细胞外(分泌的或膜的)蛋白的便捷方式。形态特点 上皮细胞致瘤性 +产物或抗原 大T抗原染色体核型 亚三倍体人细胞系。染色体众数为64,30%的细胞











