相关产品推荐更多 >
万千商家帮你免费找货
0 人在求购买到急需产品
- 详细信息
- 文献和实验
- 技术资料
- 免疫原:
Recombinant full-length human ACPP protein
- 亚型:
IgG1
- 形态:
Liquid
- 保存条件:
Store as concentrated solution. Centrifuge briefly prior to opening vial. For short-term storage (1-2 weeks), store at 4ºC. For long-term storage, aliquot and store at -20ºC or below. Avoid multiple freeze-thaw cycles.
- 克隆性:
Monoclonal
- 标记物:
Unconjugated
- 保质期:
12 months from the shipping date of the product.
- 抗原来源:
Human
- 目录编号:
GTX04396
- 级别:
Primary Antibodies
- 库存:
Available
- 供应商:
GeneTex
- 宿主:
Mouse
- 应用范围:
IHC-P
- 浓度:
0.2 mg/ml (Please refer to the vial label for the specific concentration.)
- 抗体英文名:
Prostatic Acid Phosphatase antibody [MSVA-452M] HistoMAX
- 抗体名:
Prostatic Acid Phosphatase 抗体 [MSVA-452M] HistoMAX
- 规格:
500 μl
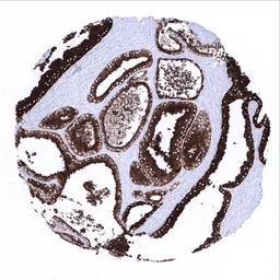
IHC-P analysis of human prostatic adenocarcinoma tissue section using GTX04396 Prostatic Acid Phosphatase antibody [MSVA-452M] HistoMAX.
Prostatic adenocarcinoma (Gleason 448) with strong diffuse Prostatic Acid Phosphatase positivity.
IHC-P analysis of human prostate tissue section using GTX04396 Prostatic Acid Phosphatase antibody [MSVA-452M] HistoMAX.
IHC-P analysis of human appendix mucosa tissue section using GTX04396 Prostatic Acid Phosphatase antibody [MSVA-452M] HistoMAX.
风险提示:丁香通仅作为第三方平台,为商家信息发布提供平台空间。用户咨询产品时请注意保护个人信息及财产安全,合理判断,谨慎选购商品,商家和用户对交易行为负责。对于医疗器械类产品,请先查证核实企业经营资质和医疗器械产品注册证情况。
文献和实验takes place by means of an antibody (or, in the case of biotin, streptavidin) linked to an enzyme, such as alkaline phosphatase or horse-radish peroxidase, which is used to catalyze the detection reaction. A variety of haptens have been employed
ALKALINE PHOSPHATASE (APAAP) TECHNIQUE
. DO NOT DIFFERENTIATE IN ACID ALCOHOL. 26. Mount in an AQUEOUS MOUNTANT. Results --Nuclei Blue --Sites of alkaline phosphatase activity Red Substrate Solution Naphthol-AS-MX phosphatase, free acid (Sigma N 4875) 2 mg N,N-Dimethyl formamide
ELISA Procedure for Measuring Serum Antibody Titer
whole molecule/alkaline phosphatase conjugate p-Nitrophenyl phosphate Sodium carbonate buffer, 0.05 M pH 9.8, containing 1 mM magnesium chloride (MgCl2) Sodium hydroxide (NaOH), 2 M Procedure for Alkaline Phosphatase Detection1. Prepare a dilution of the goat
技术资料暂无技术资料 索取技术资料





![CD86 antibody [BU63] (FITC)](https://img1.dxycdn.com/2022/0328/866/0425747803627700453-14.jpg!wh200)

![C17ORF53 antibody [7A3A9]](https://img1.dxycdn.com/2022/0328/160/1144063998413500453-14.jpg!wh200)
![TNF Receptor I antibody [R111]](https://img1.dxycdn.com/2022/0328/330/3843458772877700453-14.jpg!wh200)


