18 年
手机商铺
入驻年限:18 年
市场部
北京 丰台区
实验室仪器 / 设备、技术服务
生产厂商
公司新闻/正文
243 人阅读发布时间:2025-08-12 10:35
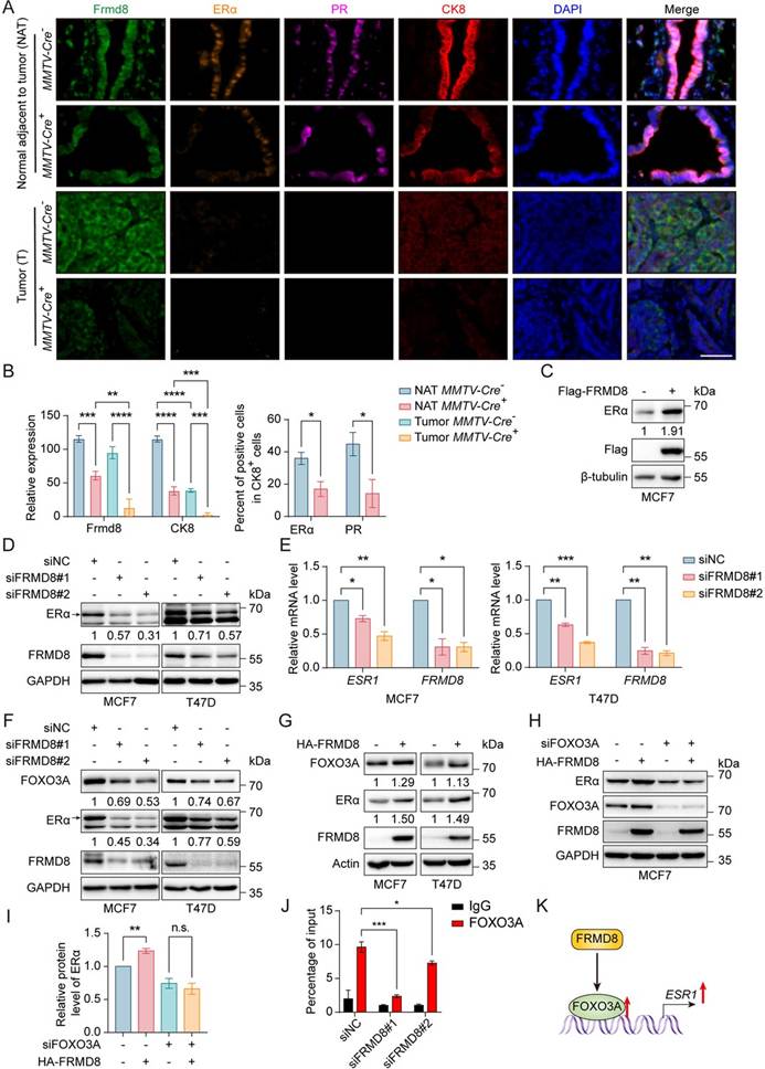
乳腺癌作为全球最常见的恶性肿瘤之一,其内分泌治疗耐药问题一直是临床治疗的难点。近日,北京大学张宏权教授团队发表重要研究成果,首次揭示肿瘤抑制因子FRMD8的功能缺失通过双重机制赋予乳腺癌细胞对他莫昔芬的耐药性。这项研究中,团队借助TissueGnostics公司的先进组织细胞定量分析技术,在多个关键实验环节实现了高精度的组织原位分析,为解析FRMD8调控机制提供了强有力的技术支撑。

在这项研究中,北大团队通过构建FRMD8缺失的乳腺癌小鼠模型,结合单细胞RNA测序和多种分子生物学技术,系统解析了FRMD8在ERα调控中的双重作用——既通过转录因子FOXO3A促进ERα基因转录,又通过阻断E3泛素连接酶UBE3A介导的ERα降解来稳定蛋白表达。而在这一系列研究中,TissueGnostics的组织定量分析技术在原位蛋白表达分析和肿瘤微环境细胞表型鉴定等关键环节发挥了不可替代的作用。

Figure 3:多色免疫荧光定量揭示FRMD8缺失导致ERα/PR表达下调
在Figure 3中,研究团队利用TissueGnostics公司的Tissue Cytometry技术,对4月龄FRMD8缺失小鼠的乳腺肿瘤及癌旁正常组织进行多色免疫荧光染色(FRMD8、ERα、PR、CK8)。该技术能够对完整组织切片进行高分辨率扫描,并通过特异性荧光标记实现多种蛋白的原位共定位分析。分析发现在FRMD8缺失的癌旁正常组织中,ERα阳性细胞占CK8+ luminal上皮细胞的比例从对照组的45.49%骤降至9.28%,PR阳性细胞比例也呈现类似下降趋势。CK8作为luminal上皮标志物,其表达在FRMD8缺失组显著减弱,结合H&E染色结果,证实FRMD8缺失加速了乳腺组织的去分化进程。通过Tissue Gnostics的StrataQuest软件,团队发现FRMD8高表达区域与ERα/PR高表达区域呈现强相关性,而FRMD8缺失导致“FRMD8低-ERα低”细胞群显著增多。

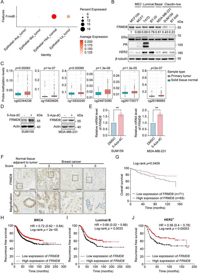
Figure 6:FRMD8表达与乳腺癌患者预后的临床关联分析
在临床相关性研究中(Figure 6),团队利用Tissue Gnostics的TissueFAXS系统对乳腺癌组织芯片(TMA)进行FRMD8免疫组化染色的定量分析。该系统能够对TMA中的数百个组织芯进行高通量扫描,并通过AI算法自动排除坏死区域和背景干扰,实现蛋白表达的精准量化。基于TCGA数据库分析和5-Aza-dC处理实验,证实FRMD8在乳腺癌中的低表达与启动子区高甲基化相关,而DNA甲基化抑制剂可显著恢复FRMD8表达。通过Tissue Gnostics的定量分析,将乳腺癌患者分为FRMD8高表达组和低表达组。 Kaplan-Meier生存分析显示,FRMD8低表达患者的无复发生存期(RFS)和总生存期(OS)均显著缩短(p=0.0409),提示FRMD8可作为乳腺癌预后的分子标志物。
肿瘤的发生发展是一个高度依赖微环境的过程,而传统单细胞测序等技术往往丢失了细胞的空间位置信息。TissueGnostics的原位组织流式和全景扫描技术在保留组织空间结构的同时实现单细胞定量分析,本研究中通过该技术发现FRMD8缺失导致luminal细胞的空间分布紊乱,为理解FRMD8在肿瘤微环境调控中的作用提供了新视角。
传统的免疫组化染色往往依赖人工半定量分析,难以实现单细胞水平的精准定量和多蛋白共定位分析。TissueGnostics的全景组织细胞定量技术不仅能够提供全切片的数字化图像,更能通过算法自动识别细胞类型、量化蛋白表达强度,并分析不同蛋白表达的相关性,为“FRMD8缺失导致ERα下调”这一核心结论提供了单细胞水平的定量证据。
乳腺癌组织芯片的定量分析一直面临着“芯间异质性大”和“人工评分偏差大”的挑战。TissueGnostics的高通量组织定量技术通过标准化的扫描流程和自动化的数据分析,大幅提高了临床样本分析的准确性和可重复性。在本研究中,该技术不仅证实了FRMD8在乳腺癌中的抑癌作用,更为FRMD8作为预后标志物和治疗靶点的临床转化提供了坚实的循证医学证据。