- 讲师介绍
- 视频介绍
讲师介绍
云克隆动物实验平台
视频介绍
- 原型物种:人
- 来源:腹主动脉部分缩窄法致心肌肥厚
- 模式动物品系:SPF级C57BL/6 小鼠,健康,雄性,8~10w,体重为23g~27g
- 实验分组:实验分六组:正常对照组、模型组、阳性药组、受试药组三个剂量组,每组15只动物。
- 实验周期:8w
- 建模方法:
- 1.小鼠腹腔注射麻醉;
2.将小鼠右侧靠近右肾和胸骨的部位用剃毛器剃干净,酒精碘酒消毒;
3.在右侧肋骨下方用眼科剪竖直开1cm左右的切口,无创分离出右肾周围的组织;脂肪,显微镊分离出右肾内侧腹主动脉;
4. 将7-0无菌丝线从分离的腹主动脉穿过,根据小鼠体重放上合适的垫针扎紧丝线,抽出垫针,造成约60%狭窄;
5. 将多余的丝线剪断,移除棉球,注入0.5ml生理盐水,用5-0丝线将肌肉层和皮肤层缝合,涂上碘酒消毒;
6. 小鼠腹主动脉缩窄术后4周可达高血压心室肥厚模型,8周可达心衰模型。 - 应用:疾病模型

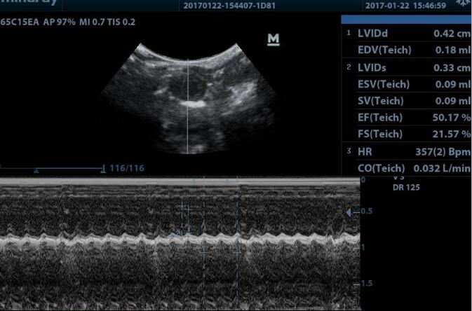
- 模型评价
1.由Laplace定理可知 :S=Pr/2h,P为心室内压,r为心腔内径,h为心壁厚度。在心脏压力负荷过重的情况下,为适应心脏做功增加,室壁厚度增加,左室室壁应力增加,提高心脏收缩功 能起到早期代偿的机制 ;但持续的压力超负荷,可促进心肌肥厚,导致心肌细胞的坏死及凋亡,心脏的收缩和/或舒张功能受到损害,最终发展为慢性心力衰竭甚或心源性猝死。可通过超声或血流动力学检测来评价心功能。M超图像,测量左室舒张末期及收缩末期内径(LVIDd、LVIDs),同时系统将会自动计算出相应的射血分数(EF%)及左室短轴缩短率(FS%)。
2.心重与体重的比值(HW/BW),肺重与体重的比值(LW/BW),心重与胫骨长度的比值(HW/TL)变化;
组织病理学HE染色可见心肌细胞体积增大,单位面积下心肌细胞的数目减少;PSR染色可见心室间质胶原增加,纤维化程度加重;
标志因子水平心肌细胞肥大标志物心房钠尿肽(atrial natriuretic peptide,ANP)、脑尿钠肽(brain natriuretic peptide,BNP)、肌球蛋白重链(α-MHC)的含量增加 。
统计学分析应用SPSS软件进行统计分析,计量资料以均数±标准差(x ±s)表示,采用t检验,组间比较采用单因素方差分析,P<0.05表示有显差异


