万千商家帮你免费找货
0 人在求购买到急需产品
- 详细信息
- 技术资料
- 适应物种:
Human,Mouse,Rat,Dog,Pig,Cow,Horse,Rabbit,Sheep,
- 应用范围:
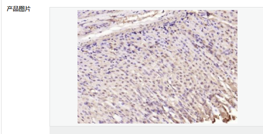
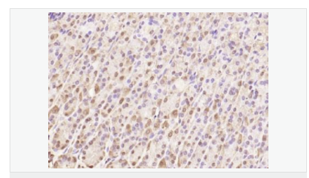
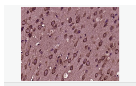
IHC-P,
- 抗体英文名:
SQSTM1/P62
- 规格:
50ul
| 英文名称 | SQSTM1/P62 |
| 中文名称 | 泛素结合蛋白P62抗体 |
| 别 名 | A170; EBI 3 associated protein of 60 kDa; EBI3 associated protein of 60 kDa; EBI3-associated protein of 60 kDa; EBIAP; MGC127197; ORCA; OSF-6; Osi; OSIL; Oxidative stress induced like; p60; p62; p62B; Paget disease of bone 3; PDB 3; PDB3; Phosphotyrosine independent ligand for the Lck SH2 domain of 62 kDa; Phosphotyrosine independent ligand for the Lck SH2 domain p62; Phosphotyrosine-independent ligand for the Lck SH2 domain of 62 kDa; PKC-zeta-interacting protein; Protein kinase C-zeta-interacting protein; Sequestosome 1; Sequestosome-1; SQSTM 1; SQSTM_HUMAN; Sqstm1; STAP; STONE14; Ubiquitin binding protein p62; Ubiquitin-binding protein p62; ZIP 3; ZIP; ZIP3 |
| 研究领域 | 心血管 染色质和核信号 信号转导 细胞凋亡 转录调节因子 表观遗传学 |
| 抗体来源 | Rabbit |
| 克隆类型 | Polyclonal |
| 交叉反应 | Human, Mouse, Rat, (predicted: Dog, Pig, Cow, Horse, Rabbit, Sheep, ) |
| 产品应用 | ELISA=1:5000-10000 IHC-P=1:100-500 IHC-F=1:100-500 IF=1:100-500 (石蜡切片需做抗原修复) not yet tested in other applications. optimal dilutions/concentrations should be determined by the end user. |
| 分 子 量 | 60kDa |
| 细胞定位 | 细胞核 细胞浆 |
| 性 状 | Liquid |
| 浓 度 | 1mg/ml |
| 免 疫 原 | KLH conjugated synthetic peptide derived from human SQSTM1/p62:51-150/440 |
| 亚 型 | IgG |
| 纯化方法 | affinity purified by Protein A |
| 储 存 液 | 0.01M TBS(pH7.4) with 1% BSA, 0.03% Proclin300 and 50% Glycerol. |
| 保存条件 | Shipped at 4℃. Store at -20 °C for one year. Avoid repeated freeze/thaw cycles. |
| PubMed | PubMed |
| 产品介绍 | Adapter protein which binds ubiquitin and may regulate the activation of NFKB1 by TNF-alpha, nerve growth factor (NGF) and interleukin-1. May play a role in titin/TTN downstream signaling in muscle cells. May regulate signaling cascades through ubiquitination. Adapter that mediates the interaction between TRAF6 and CYLD (By similarity). May be involved in cell differentiation, apoptosis, immune response and regulation of K(+) channels. Function: Adapter protein which binds ubiquitin and may regulate the activation of NFKB1 by TNF-alpha, nerve growth factor (NGF) and interleukin-1. May play a role in titin/TTN downstream signaling in muscle cells. May regulate signaling cascades through ubiquitination. Adapter that mediates the interaction between TRAF6 and CYLD (By similarity). May be involved in cell differentiation, apoptosis, immune response and regulation of K(+) channels. Subunit: Cytoplasm. Late endosome. Nucleus. Endoplasmic reticulum. Note=Sarcomere. In cardiac muscles localizes to the sarcomeric band. Localizes to late endosomes. May also localize to the nucleus. Accumulates in neurofibrillary tangles and in Lewy bodies of neurons from individuals with Alzheimer and Parkinson disease respectively. Enriched in Rosenthal fibers of pilocytic astrocytoma. In liver cells, accumulates in Mallory bodies associated with alcoholic hepatitis, Wilson disease, indian childhood cirrhosis and in hyaline bodies associated with hepatocellular carcinoma. Colocalizes with TRIM13 in the perinuclear endoplasmic reticulum. Subcellular Location: Cytoplasm. Late endosome. Nucleus. Sarcomere (By similarity). In cardiac muscles localizes to the sarcomeric band (By similarity). Localizes to late endosomes. May also localize to the nucleus. Accumulates in neurofibrillary tangles and in Lewy bodies of neurons from individuals with Alzheimer and Parkinson disease respectively. Enriched in Rosenthal fibers of pilocytic astrocytoma. In liver cells, accumulates in Mallory bodies associated with alcoholic hepatitis, Wilson disease, indian childhood cirrhosis and in hyaline bodies associated with hepatocellular carcinoma. Tissue Specificity: Ubiquitously expressed. Post-translational modifications: Phosphorylated. May be phosphorylated by PRKCZ (By similarity). Phosphorylated in vitro by TTN. DISEASE: Defects in SQSTM1 are a cause of Paget disease of bone (PDB) [MIM:602080]. PDB is a metabolic bone disease affecting the axial skeleton and characterized by focal areas of increased and disorganized bone turn-over due to activated osteoclasts. Manifestations of the disease include bone pain, deformity, pathological fractures, deafness, neurological complications and increased risk of osteosarcoma. PDB is a chronic disease affecting 2 to 3% of the population above the age of 40 years. Similarity: Contains 1 OPR domain. Contains 1 UBA domain. Contains 1 ZZ-type zinc finger. SWISS: Q13501 Gene ID: 8878 Database links: Entrez Gene: 8878 Human Entrez Gene: 18412 Mouse Omim: 601530 Human SwissProt: Q13501 Human SwissProt: Q64337 Mouse Unigene: 709030 Human Unigene: 40828 Mouse Unigene: 107103 Rat Important Note: This product as supplied is intended for research use only, not for use in human, therapeutic or diagnostic applications. |




风险提示:丁香通仅作为第三方平台,为商家信息发布提供平台空间。用户咨询产品时请注意保护个人信息及财产安全,合理判断,谨慎选购商品,商家和用户对交易行为负责。对于医疗器械类产品,请先查证核实企业经营资质和医疗器械产品注册证情况。
技术资料暂无技术资料 索取技术资料
泛素结合蛋白P62抗体
¥1200




