万千商家帮你免费找货
0 人在求购买到急需产品
- 详细信息
- 文献和实验
- 技术资料
- 适应物种:
Human,Mouse,Rat,Pig,Cow,
- 应用范围:
WB,IHC-P,
- 抗体英文名:
MADH7/Smad7
- 规格:
50ul
| 英文名称 | MADH7/Smad7 |
| 中文名称 | Smad7抗体 |
| 研究领域 | 肿瘤 细胞生物 信号转导 细胞凋亡 生长因子和激素 激酶和磷酸酶 |
| 抗体来源 | Rabbit |
| 克隆类型 | Polyclonal |
| 交叉反应 | Human, Mouse, Rat, (predicted: Pig, Cow, ) |
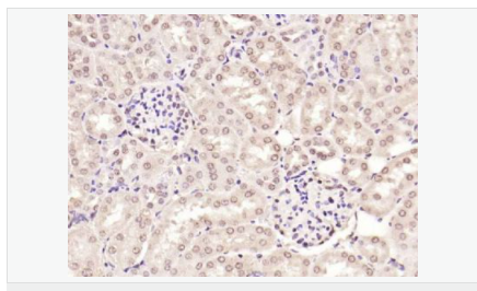
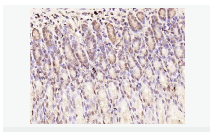
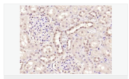
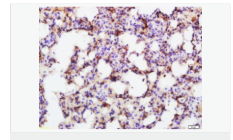
| 产品应用 | WB=1:500-2000 ELISA=1:5000-10000 IHC-P=1:100-500 IHC-F=1:100-500 Flow-Cyt=1ug/Test IF=1:100-500 (石蜡切片需做抗原修复) not yet tested in other applications. optimal dilutions/concentrations should be determined by the end user. |
| 分 子 量 | 46kDa |
| 细胞定位 | 细胞核 细胞浆 |
| 性 状 | Liquid |
| 浓 度 | 1mg/ml |
| 免 疫 原 | KLH conjugated synthetic peptide derived from human Smad7:1-100/426 |
| 亚 型 | IgG |
| 纯化方法 | affinity purified by Protein A |
| 储 存 液 | 0.01M TBS(pH7.4) with 1% BSA, 0.03% Proclin300 and 50% Glycerol. |
| 保存条件 | Shipped at 4℃. Store at -20 °C for one year. Avoid repeated freeze/thaw cycles. |
| PubMed | PubMed |
| 产品介绍 | The protein encoded by this gene is a nuclear protein that binds the E3 ubiquitin ligase SMURF2. Upon binding, this complex translocates to the cytoplasm, where it interacts with TGF-beta receptor type-1 (TGFBR1), leading to the degradation of both the encoded protein and TGFBR1. Expression of this gene is induced by TGFBR1. Variations in this gene are a cause of susceptibility to colorectal cancer type 3 (CRCS3). Several transcript variants encoding different isoforms have been found for this gene. [provided by RefSeq, Jun 2010] Function: Antagonist of signaling by TGF-beta (transforming growth factor) type 1 receptor superfamily members; has been shown to inhibit TGF-beta (Transforming growth factor) and activin signaling by associating with their receptors thus preventing SMAD2 access. Functions as an adapter to recruit SMURF2 to the TGF-beta receptor complex. Also acts by recruiting the PPP1R15A-PP1 complex to TGFBR1, which promotes its dephosphorylation. Positively regulates PDPK1 kinase activity by stimulating its dissociation from the 14-3-3 protein YWHAQ which acts as a negative regulator. Subunit: Interacts with WWP1. Interacts with COPS5. Interacts with NEDD4L. Interacts with STAMBP. Interacts with RNF111, AXIN1 and AXIN2. Interacts with PPP1R15A. Interacts (via MH2 domain) with EP300. Interacts with ACVR1B, SMURF1, SMURF2 and TGFBR1; SMAD7 recruits SMURF1 and SMURF2 to the TGF-beta receptor and regulates its degradation. Interacts with PDPK1 (via PH domain). Subcellular Location: Nucleus. Cytoplasm. Note=Interaction with NEDD4L or RNF111 or induces translocation from the nucleus to the cytoplasm. TGF-beta stimulates its translocation from the nucleus to the cytoplasm. PDPK1 inhibits its translocation from the nucleus to the cytoplasm in response to TGF-beta. Tissue Specificity: Ubiquitous with higher expression in the lung and vascular endothelium. Post-translational modifications: Phosphorylation on Ser-249 does not affect its stability, nuclear localization or inhibitory function in TGFB signaling; however it affects its ability to regulate transcription. Phosphorylated by PDPK1. Ubiquitinated by WWP1 (By similarity). Polyubiquitinated by RNF111, which is enhanced by AXIN1 and promotes proteasomal degradation. In response to TGF-beta, ubiquitinated by SMURF1; which promotes its degradation. Acetylation prevents ubiquitination and degradation mediated by SMURF1. DISEASE: Genetic variations in SMAD7 influence susceptibility to colorectal cancer type 3 (CRCS3) [MIM:612229]. Colorectal cancer consists of tumors or cancer of either the colon or rectum or both. Cancers of the large intestine are the second most common form of cancer found in males and females. Symptoms include rectal bleeding, occult blood in stools, bowel obstruction and weight loss. Treatment is based largely on the extent of cancer penetration into the intestinal wall. Surgical cures are possible if the malignancy is confined to the intestine. Risk can be reduced when following a diet which is low in fat and high in fiber. Similarity: Belongs to the dwarfin/SMAD family. Contains 1 MH1 (MAD homology 1) domain. Contains 1 MH2 (MAD homology 2) domain. SWISS: O15105 Gene ID: 4092 Database links: Entrez Gene: 4092 Human Entrez Gene: 17131 Mouse Omim: 602932 Human SwissProt: O15105 Human SwissProt: O35253 Mouse Unigene: 465087 Human Important Note: This product as supplied is intended for research use only, not for use in human, therapeutic or diagnostic applications. 转录调节因子(Transcriptin Regulators) Smad7是转化生长因子(TGF-β)信号通路的抑制分子,Smad7可干预MAPK信号通路,使ERK和JNK磷酸化活性的平衡失调,导致促增殖作用强于生长抑制作用,从而有助于细胞向恶性方向发展。 |












风险提示:丁香通仅作为第三方平台,为商家信息发布提供平台空间。用户咨询产品时请注意保护个人信息及财产安全,合理判断,谨慎选购商品,商家和用户对交易行为负责。对于医疗器械类产品,请先查证核实企业经营资质和医疗器械产品注册证情况。
文献和实验抗体的结构决定了其对应的功能,同一抗体的V区和C区的氨基酸组成和顺序不同,决定了其功能上的差异。V区和C区的组成和结构,决定了抗体的生物学功能。 图1:抗体的主要功能(图片来源:Abbas et al: Cellular and Molecular Immunology, 7e.) 1、特异性识别功能 抗体可以通过其结构上的可变区域与抗原结合,同时,具有极高的特异性。这种特异性识别功能可以使抗体识别和结合到感染的病原体,肿瘤细胞等不同种类的分子,帮助免疫系统识别并定位到这些分子,进而启动
在生命科学和医学基础研究中,或多或少都需要用到抗体。抗体的应用场景不同、标记物众多,且针对同一标记物市场上往往有多个抗体可供选择,那么,我们如何从成百万上千万种抗体中,挑选出我们想要的那支呢? 在我们6月份的关于抗体的调研活动中,我们发现,大家更多的是去参考文献或专利中的材料和方法部分,这无疑很大程度上保证了抗体的有效性。其次有45%和34%的受访者会用到百度和谷歌,然而这两个搜索引擎覆盖面颇广,经常会出现抗体无关的搜索结果,而专业用于查找抗体的网站,大家却知之甚少。 因此,本次文章中
第一代抗体—— 血清多克隆抗体(PcAb) 20世纪初期发现血清抗体和细菌毒素的作用,可用于多种疾病的治疗。多克隆抗体生产过程遇到免疫动物制备的血清抗体具有免疫原性和非均质性的特点,给抗体的研究和应用造成困难,但是由于血清多克隆抗体识别抗原的广谱性,以及识别不同表位的各种抗体或识别同种抗原表位的不同克隆的抗体可协同作用,因而能高效地识别抗原和阻断抗原对机体的危害,所以血清抗体至今仍为诊治疾病和生命科学研究重要制剂。 第二代抗体——单克隆抗体(McAb) 将经绵阳红细胞免疫后的小鼠
技术资料暂无技术资料 索取技术资料





