相关产品推荐更多 >
万千商家帮你免费找货
0 人在求购买到急需产品
- 详细信息
- 文献和实验
- 技术资料
- 适应物种:
Human,Mouse,Rat,Dog,Pig,Cow,Horse,Rabbit,Sheep,
- 应用范围:
WB,
- 抗体英文名:
phospho-Alpha synuclein (Ser129)
- 规格:
100ul
| 英文名称 | phospho-Alpha synuclein (Ser129) |
| 中文名称 | 磷酸化核突触蛋白α抗体 |
| 别 名 | SNCA(phospho S129); alpha Synuclein (phospho S129) ;alpha-Synuclein (Phospho-Ser129); Synuclein alpha(Phospho-Ser129); SNCA; SYUA_HUMAN; Alpha synuclein; Alpha-synuclein, isoform NACP140; alpha SYN; MGC105443; MGC110988; MGC127560; MGC64356; NACP; Non A beta component of AD amyloid; Non A4 component of amyloid precursor; Non-A-beta component of alzheimers disease amyloid , precursor of; Non-A beta component of AD amyloid; Non-A4 component of amyloid precursor; PARK 1; PARK 4; PARK1; PARK4; Parkinson disease (autosomal dominant, Lewy body) 4; Parkinson disease familial 1; Syn; Snca synuclein, alpha (non A4 component of amyloid precursor); Synuclein alpha; Synuclein, alpha (non A4 component of amyloid precursor); Synuclein-α; Synuclein α. |
| 产品类型 | 磷酸化抗体 |
| 研究领域 | 免疫学 神经生物学 信号转导 细胞凋亡 转录调节因子 细胞骨架 |
| 抗体来源 | Rabbit |
| 克隆类型 | Polyclonal |
| 交叉反应 | Human, Mouse, Rat, (predicted: Dog, Pig, Cow, Horse, Rabbit, Sheep, ) |
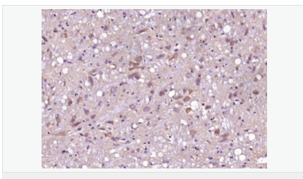
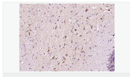
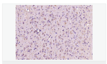
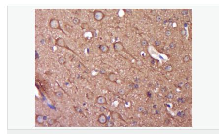
| 产品应用 | WB=1:500-2000 ELISA=1:5000-10000 IHC-P=1:100-500 IHC-F=1:100-500 Flow-Cyt=1ug/Test IF=1:100-500 (石蜡切片需做抗原修复) not yet tested in other applications. optimal dilutions/concentrations should be determined by the end user. |
| 分 子 量 | 15kDa |
| 细胞定位 | 细胞核 细胞浆 细胞膜 |
| 性 状 | Liquid |
| 浓 度 | 1mg/ml |
| 免 疫 原 | KLH conjugated Synthesised phosphopeptide derived from human SNCA around the phosphorylation site of Ser129:MP(p-S)EE |
| 亚 型 | IgG |
| 纯化方法 | affinity purified by Protein A |
| 储 存 液 | 0.01M TBS(pH7.4) with 1% BSA, 0.03% Proclin300 and 50% Glycerol. |
| 保存条件 | Shipped at 4℃. Store at -20 °C for one year. Avoid repeated freeze/thaw cycles. |
| PubMed | PubMed |
| 产品介绍 | Alpha-synuclein is a member of the synuclein family, which also includes beta- and gamma-synuclein. Synucleins are abundantly expressed in the brain and alpha- and beta-synuclein inhibit phospholipase D2 selectively. SNCA may serve to integrate presynaptic signaling and membrane trafficking. Defects in SNCA have been implicated in the pathogenesis of Parkinson disease. SNCA peptides are a major component of amyloid plaques in the brains of patients with Alzheimer's disease. Alternatively spliced transcripts encoding different isoforms have been identified for this gene. [provided by RefSeq, Feb 2016].. Function: May be involved in the regulation of dopamine release and transport. Induces fibrillization of microtubule-associated protein tau. Reduces neuronal responsiveness to various apoptotic stimuli, leading to a decreased caspase-3 activation. Subunit: Soluble monomer which can form filamentous aggregates. Interacts with UCHL1. Interacts with phospholipase D and histones. Subcellular Location: Cytoplasm. Membrane. Nucleus. Cell junction, synapse. Note=Membrane-bound in dopaminergic neurons. Tissue Specificity: Expressed principally in brain but is also expressed in low concentrations in all tissues examined except in liver. Concentrated in presynaptic nerve terminals. Post-translational modifications: Note=Genetic alterations of SNCA resulting in aberrant polymerization into fibrils, are associated with several neurodegenerative diseases (synucleinopathies). SNCA fibrillar aggregates represent the major non A-beta component of Alzheimer disease amyloid plaque, and a major component of Lewy body inclusions. They are also found within Lewy body (LB)-like intraneuronal inclusions, glial inclusions and axonal spheroids in neurodegeneration with brain iron accumulation type 1. Defects in SNCA are the cause of Parkinson disease type 1 (PARK1) [MIM:168601]. A complex neurodegenerative disorder characterized by bradykinesia, resting tremor, muscular rigidity and postural instability. Additional features are characteristic postural abnormalities, dysautonomia, dystonic cramps, and dementia. The pathology of Parkinson disease involves the loss of dopaminergic neurons in the substantia nigra and the presence of Lewy bodies (intraneuronal accumulations of aggregated proteins), in surviving neurons in various areas of the brain. The disease is progressive and usually manifests after the age of 50 years, although early-onset cases (before 50 years) are known. The majority of the cases are sporadic suggesting a multifactorial etiology based on environmental and genetic factors. However, some patients present with a positive family history for the disease. Familial forms of the disease usually begin at earlier ages and are associated with atypical clinical features. Defects in SNCA are the cause of Parkinson disease type 4 (PARK4) [MIM:605543]. A complex neurodegenerative disorder with manifestations ranging from typical Parkinson disease to dementia with Lewy bodies. Clinical features include parkinsonian symptoms (tremor, rigidity, postural instability and bradykinesia), dementia, diffuse Lewy body pathology, autonomic dysfunction, hallucinations and paranoia. Defects in SNCA are the cause of dementia Lewy body (DLB) [MIM:127750]. A neurodegenerative disorder clinically characterized by mental impairment leading to dementia, parkinsonism, often with fluctuating cognitive function, visual hallucinations, falls, syncopal episodes, and sensitivity to neuroleptic medication. Brainstem or cortical intraneuronal accumulations of aggregated proteins (Lewy bodies) are the only essential pathologic features. Patients may also have hippocampal and neocortical senile plaques, sometimes in sufficient number to fulfill the diagnostic criteria for Alzheimer disease. DISEASE: Note=Genetic alterations of SNCA resulting in aberrant polymerization into fibrils, are associated with several neurodegenerative diseases (synucleinopathies). SNCA fibrillar aggregates represent the major non A-beta component of Alzheimer disease amyloid plaque, and a major component of Lewy body inclusions. They are also found within Lewy body (LB)-like intraneuronal inclusions, glial inclusions and axonal spheroids in neurodegeneration with brain iron accumulation type 1. Defects in SNCA are the cause of Parkinson disease type 1 (PARK1) [MIM:168601]. A complex neurodegenerative disorder characterized by bradykinesia, resting tremor, muscular rigidity and postural instability. Additional features are characteristic postural abnormalities, dysautonomia, dystonic cramps, and dementia. The pathology of Parkinson disease involves the loss of dopaminergic neurons in the substantia nigra and the presence of Lewy bodies (intraneuronal accumulations of aggregated proteins), in surviving neurons in various areas of the brain. The disease is progressive and usually manifests after the age of 50 years, although early-onset cases (before 50 years) are known. The majority of the cases are sporadic suggesting a multifactorial etiology based on environmental and genetic factors. However, some patients present with a positive family history for the disease. Familial forms of the disease usually begin at earlier ages and are associated with atypical clinical features. Defects in SNCA are the cause of Parkinson disease type 4 (PARK4) [MIM:605543]. A complex neurodegenerative disorder with manifestations ranging from typical Parkinson disease to dementia with Lewy bodies. Clinical features include parkinsonian symptoms (tremor, rigidity, postural instability and bradykinesia), dementia, diffuse Lewy body pathology, autonomic dysfunction, hallucinations and paranoia. Defects in SNCA are the cause of dementia Lewy body (DLB) [MIM:127750]. A neurodegenerative disorder clinically characterized by mental impairment leading to dementia, parkinsonism, often with fluctuating cognitive function, visual hallucinations, falls, syncopal episodes, and sensitivity to neuroleptic medication. Brainstem or cortical intraneuronal accumulations of aggregated proteins (Lewy bodies) are the only essential pathologic features. Patients may also have hippocampal and neocortical senile plaques, sometimes in sufficient number to fulfill the diagnostic criteria for Alzheimer disease. Similarity: Belongs to the synuclein family. SWISS: P37840 Gene ID: 6622 Database links: Entrez Gene: 6622 Human Entrez Gene: 20617 Mouse Omim: 163890 Human SwissProt: P37840 Human SwissProt: O55042 Mouse Unigene: 21374 Human Unigene: 17484 Mouse Unigene: 1827 Rat Important Note: This product as supplied is intended for research use only, not for use in human, therapeutic or diagnostic applications. Synuclein 包括α-Synuclein,β-Synuclein 和γ-Synuclein 是神经细胞中富含的前突触蛋白。α-Synuclein,Alzheimer’(AD)病淀粉样蛋白沉积的成份之一,集中分布在神经细胞的包体和突触。在帕金森病人中发现有α-Synuclein的变异型,而γ-Synuclein与轴突病理学有关。此抗体将为Lewy小体痴呆症、Parkinson症、AD和其它一些神经性疾病提供有用的病理诊断。 |








风险提示:丁香通仅作为第三方平台,为商家信息发布提供平台空间。用户咨询产品时请注意保护个人信息及财产安全,合理判断,谨慎选购商品,商家和用户对交易行为负责。对于医疗器械类产品,请先查证核实企业经营资质和医疗器械产品注册证情况。
文献和实验存在于突触前末梢和神经元核内的蛋白质,有 α、β 和 γ 等类型。α 突触核蛋白与帕金森病等疾病有关。
阿尔茨海默氏症和帕金森氏症是两种最常见的神经退行性疾病,它们的特征分别是 tau 和 α 突触核蛋白的错误折叠和聚集,科学家们需要通过疾病模型来研究其中的蛋白质聚集。制作这些模型的方法之一是使用重组前体原纤维(也称为 PFF)诱导蛋白质聚集。 PFF 可以被引入细胞培养物或动物大脑,像种子一样显著加速单体的聚集,而 PFFs 需要在使用前进行超声处理以便于更好的诱发病理现象。
prince1101 非磷酸化抗体是识别总得蛋白的,比如AKT。 P-AKT和AKT其实只差一些磷酸基,分子量稍大点,以前听别人讲P-AKT和AKT之间有shift,有时候WB是可以做出来的。 用的是梯度胶?分子量在68KD左右。应该怎么样来配胶呢?梯度胶的浓度? 谢谢! prince1101 希望高手能赐教! ourlab 某些 AKT抗体,如cell
技术资料暂无技术资料 索取技术资料





