相关产品推荐更多 >
万千商家帮你免费找货
0 人在求购买到急需产品
- 详细信息
- 文献和实验
- 技术资料
- 规格:
100次/500次
| 规格: | 100次 | 产品价格: | ¥82.0 |
|---|---|---|---|
| 规格: | 500次 | 产品价格: | ¥261.0 |
碧云天生产的阿尔新蓝-核固红染色试剂盒(pH1.0) (Alcian Blue & Nuclear Fast Red Staining Kit, pH1.0)是一种通过阿尔新蓝对含有硫酸根(sulfated)的组织如硫酸化黏液物质或强硫酸化黏液物质(strongly sulfated mucosubstances)等进行染色的试剂盒,同时提供核固红进行复染。本产品对不同组织的石蜡切片和冰冻切片均适用,也可用于血涂片和骨髓涂片的染色。
本试剂盒染色时无须额外的酸化操作步骤,染色步骤更加简单便捷。
阿尔新蓝(Alcian Blue),也称阿尔新蓝8G、阿利新蓝或爱先蓝,是一种类铜钛花青共轭染料,最初用于纺织纤维染色。阿尔新蓝的分子式为 C56H68N16S4Cl4Cu,分子量为1298.86,CAS号为33864-99-2,墨绿色结晶,有金属光泽,溶于水。阿尔新蓝属于阳离子染料,中央含铜的酞菁环与四个异硫·脲基通过硫醚键相连而成,异硫·脲基呈中度碱性,使阿尔新蓝带阳离子。阿尔新蓝使酸性物质着色的机制尚不十分明确,一般认为是阳离子的异硫·脲基通过静电与组织内的多聚阴离子如酸性黏液物质的羧基或硫酸根形成不溶性复合物,即染料分子中带正电荷的盐键和酸性黏液物质中带负电荷的酸性基团结合呈蓝色。
阿尔新蓝是显示酸性黏性物质最特异的染料,所以阿尔新蓝染色又可以称为粘蛋白染色(mucin stain)。阿尔新蓝染料与酸性黏液物质中酸性基团形成盐键,利用染料的不同pH值,可区分酸性黏液物质的类别:当阿尔新蓝染色液的pH值为1.0时,使含有硫酸根(sulfated)的组织如酸性硫酸化或强硫酸化黏液物质染成蓝色,而不能染色含有羧基的组织;当阿尔新蓝染色液的pH值为2.5时,也可以使结缔组织或软骨中含有羧基(carboxylated)的组织如唾液粘多糖蛋白(sialomucins)、透明质酸(hyaluronic acid)及上皮酸性黏蛋白(epithelial acid mucin)等染为蓝色,但对于含有硫酸根的组织,pH2.5的染色要弱于pH1.0;中性黏蛋白如胃黏膜和Brunner腺体部位的中性黏蛋白等不能与阿尔新蓝反应。核固红染色液复染可使核染成粉红色或红色。阿尔新蓝-核固红染色试剂盒(pH1.0)染色后酸性黏性物质和细胞核的颜色见下表:
| Samples | Color |
| 硫酸化黏液物质(Sulfated Mucosubstances) | Blue |
| 细胞核(Nuclei) | Red |
| 背景(Background) | Pink |
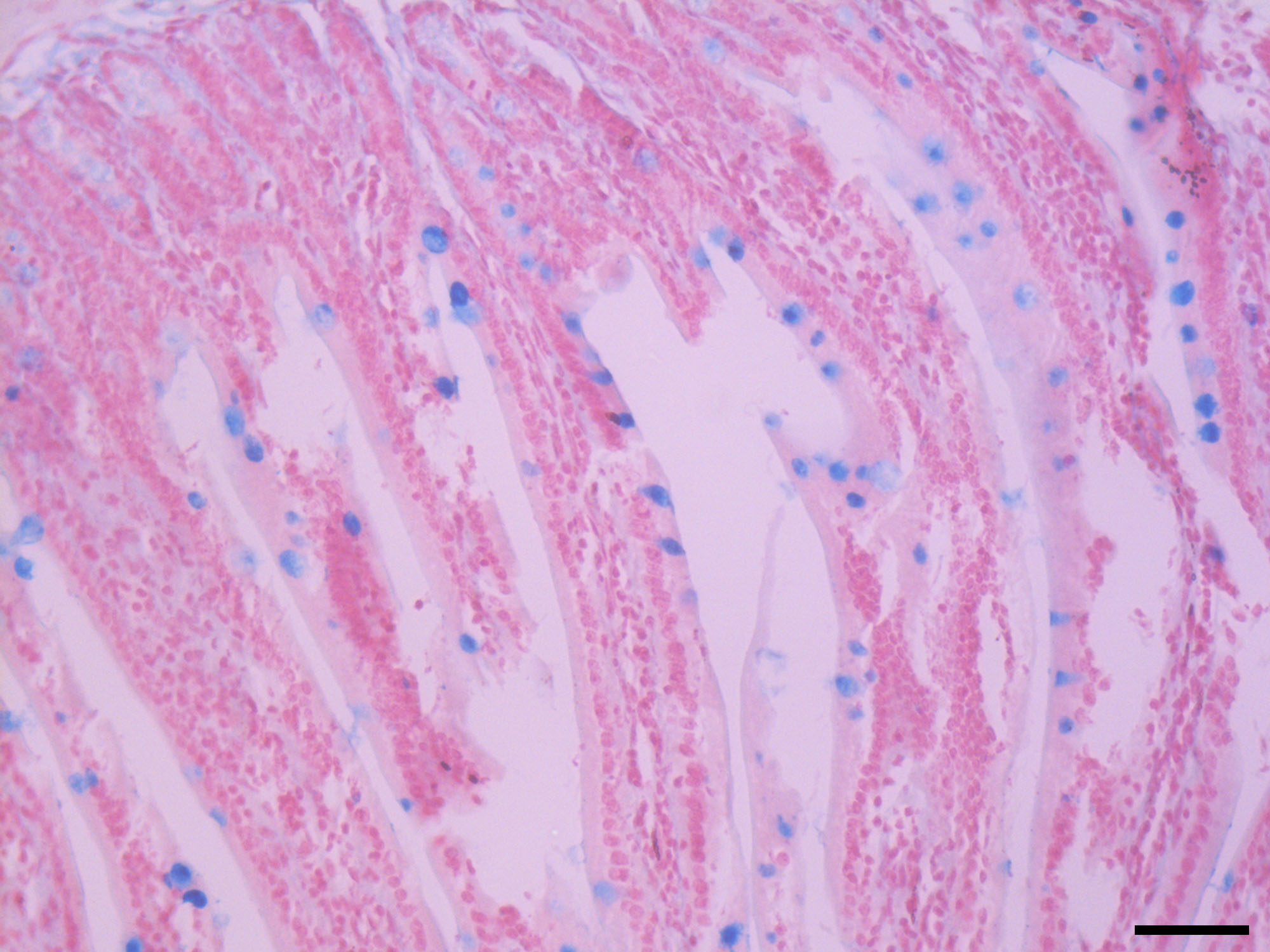
本试剂盒染色灵敏度高,背景低,着色清晰分明,用于小鼠小肠组织染色效果参考图1。

图1.碧云天的阿尔新蓝-核固红染色试剂盒(pH1.0)用于小鼠小肠组织的染色效果图。如图所示,硫酸化黏液物质被染成蓝色,细胞核被染成红色。Scale bar=100μm。实际染色效果会因样品、检测条件的不同而略有差异,本图仅供参考。
本试剂盒C0153S和C0153M用于切片的染色,每个切片样品各使用100μl染色液,可以分别进行100次和500次染色。
包装清单:
| 产品编号 | 产品名称 | 包装 |
| C0153S-1 | 阿尔新蓝染色液(pH1.0) | 10ml |
| C0153S-2 | 核固红染色液 | 10ml |
| — | 说明书 | 1份 |
| 产品编号 | 产品名称 | 包装 |
| C0153M-1 | 阿尔新蓝染色液(pH1.0) | 50ml |
| C0153M-2 | 核固红染色液 | 50ml |
| — | 说明书 | 1份 |
保存条件:
室温避光保存,一年有效。长期不使用可以4℃或-20℃保存。
注意事项:
第一次使用本试剂盒时建议先取1-2个样品进行预实验,摸索染色适宜的条件。
染色过程应在湿盒中进行,防止染液风干。
核固红复染的过程推荐浅染,通常能够分辨细胞核即可,颜色过深有可能影响细胞观察。
应根据不同的组织类型选取pH1.0或pH2.5的阿尔新蓝-核固红染色试剂盒;对于不同的组织,染色时间也不完全相同。
本试剂盒中的阿尔新蓝染色液已配制在酸性溶液中,无须再进行额外的酸化处理。
如果阿尔新蓝染色液出现沉淀,请勿使用。
误放入冰箱等低温条件下,核固红染色液会出现析出物。此时可以25-50℃水浴加热,充分溶解并混匀后使用。
本产品仅限于专业人员的科学研究用,不得用于临床诊断或治疗,不得用于食品或药品,不得存放于普通住宅内。
为了您的安全和健康,请穿实验服并戴一次性手套操作。
风险提示:丁香通仅作为第三方平台,为商家信息发布提供平台空间。用户咨询产品时请注意保护个人信息及财产安全,合理判断,谨慎选购商品,商家和用户对交易行为负责。对于医疗器械类产品,请先查证核实企业经营资质和医疗器械产品注册证情况。
文献和实验
技术资料暂无技术资料 索取技术资料











