相关产品推荐更多 >
万千商家帮你免费找货
0 人在求购买到急需产品
- 详细信息
- 询价记录
- 文献和实验
- 技术资料
- 规格:
100ml/500ml
| 规格: | 100ml | 产品价格: | ¥61.0 |
|---|---|---|---|
| 规格: | 500ml | 产品价格: | ¥236.0 |
碧云天生产的茜素红S染色液(0.2%, pH8.3) (0.2% Alizarin Red S Staining Solution, pH8.3)是一种方便快捷的用于检测钙盐沉积的染色液,适用于细胞内钙质沉积的染色。
钙是动物体内含量最高的无机盐,是构成骨骼和牙齿的主要矿物质成分,还参与肌肉收缩、神经传导等众多生理过程。正常状态下,钙不以固体状态出现在骨骼和牙齿之外的组织中,但病理状态下,钙形成碳酸钙、磷酸钙等钙盐析出并沉着于组织内。
茜素红S染色是一种常用的染色方法,广泛用于成骨细胞分化、骨细胞或组织病理生理的研究。茜素红S (Alizarin Red S, 简称ARS),别名茜素磺酸钠、茜素胭脂红,CAS号为130-22-3,分子式为C14H7NaO7S,分子量为342.25。茜素红S是一种蒽醌类衍生物,能和多种金属离子螯合生成稳定的橙红色或深红色的复合物,是一种良好的金属指示剂,也可作为吸光度法测定金属离子的显色剂,还可作为酸碱指示剂,或用于极谱法测定金属离子。在组织学和组织病理学中,由于茜素红S可与碳酸钙或磷酸钙中的钙盐螯合形成橙红色复合物,而常用于染色或定位组织中的钙质沉积。
本产品中的茜素红S浓度为0.2%,pH8.3,呈碱性,适用于细胞内钙质沉积的染色,例如血管钙化、骨骼肌的钙化、其它异位钙化的染色以及培养的细胞钙质沉积的鉴定。细胞内钙质沉积一般量比较少,酸性的染色液可能会使钙质溶解,导致染色效果差甚至假阴性,所以一般采用碱性的染色液;而且碱性的染色液通常可以增加染色时间,以此获得比较满意的染色效果。针对不同样品的特点,碧云天研发出三种茜素红S染色液,具体请参考下表选择合适的染色液。
| 产品名称 | 茜素红S染色液(2%, pH4.2) | 茜素红S染色液(0.2%, pH8.3) | 成骨细胞矿化结节染色液(茜素红S法) |
| 产品编号 | C0138 | C0140 | C0148 |
| 产品属性 | 酸性 | 碱性 | 酸性 |
| 产品浓度 | 2% | 0.2% | - |
| 染色效果 | 橙红色 | 紫红色-橙红色 | 橙红色 |
| 适用范围 | 用于骨、软骨等细胞外基质钙质沉积的染色 | 细胞内钙质沉积的染色 | 成骨细胞矿化结节中的钙质染色 |
| 特点 | 可快速染色;具有较好的染色效果 | 碱性,不易使钙质溶解;可通过增加染色时间增强染色效果 | 成骨细胞专用 |
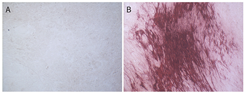
本产品用于MC3T3-E1 (小鼠胚胎成骨细胞前体细胞)细胞诱导分化后的染色效果参考图1。

图1. 茜素红S染色液(0.2%, pH8.3)用于MC3T3-E1(小鼠胚胎成骨细胞前体细胞)细胞诱导分化后的染色效果图。如图所示,钙盐沉积处显紫红色。注:实际染色效果会因样品及实验条件的不同而存在差异,本图仅供参考。
按照每个切片使用100µl染色液来计算,本产品100ml的包装可以用于1000个切片的染色。
包装清单:
| 产品编号 | 产品名称 | 包装 |
| C0140-100ml | 茜素红S染色液(0.2%, pH8.3) | 100ml |
| C0140-500ml | 茜素红S染色液(0.2%, pH8.3) | 500ml |
| - | 说明书 | 1份 |
保存条件:
室温避光保存,至少一年有效。
注意事项:
需用户自备的试剂:乙醇、蒸馏水、二甲苯。
根据样品的特点选择相应的茜素红S染色液,也可进行预实验以选择最佳的染色液。
本产品仅限于专业人员的科学研究用,不得用于临床诊断或治疗,不得用于食品或药品,不得存放于普通住宅内。
为了您的安全和健康,请穿实验服并戴一次性手套操作。
风险提示:丁香通仅作为第三方平台,为商家信息发布提供平台空间。用户咨询产品时请注意保护个人信息及财产安全,合理判断,谨慎选购商品,商家和用户对交易行为负责。对于医疗器械类产品,请先查证核实企业经营资质和医疗器械产品注册证情况。
- 作者
- 内容
- 询问日期
文献和实验【操作步骤】6.2 分文章作者,亲手教你如何轻松搞定生信文章
大家好,今天跟大家分享一篇文章「DDX60 is associated with glioma malignancy and serve as a potential immunotherapy biomarker」。 该文章是由笔者于 2021 年 2 月发表于《Frontiers in Oncology》杂志上的,目前该杂志中科院分区 2 区,影响因子 6.2 分。 今天就通过该文章跟大家分享一下肿瘤方向生信文章的套路及绘图方法~ 信息发展到这个年代,许多科研道友仍然闻「代码」色变,总想走
附录I 染色液的配制 一、吕氏(Loeffler)碱性美蓝染液 (实验6,53) A液:美蓝(methylene blue) 0.6g 95%酒精 30ml B液:KOH 0.01g 蒸馏水 100ml 分别配制A液和B液,配好后混合即可。 二、齐氏 (Ziehl)石炭酸复红染色液 (实验6) A液:碱性复红(basic
四、醋酸洋红染液 将洋红粉末1g倒入100mL45%醋酸溶液中,边煮边搅拌,煮沸(沸腾时间不超过30s),冷却后过滤,即可使用。也可再加入1%~2%铁明矾水溶液5-10滴,至此液变为暗红色而不发生沉淀为止。如制作永久标本染色时,可加入饱和氢氧化铁或醋酸铁(媒染剂)溶液数滴,至染色液呈浅蓝色为止。 五、硫堇染液(工作液) ①干液(硫堇):硫堇1g或2g溶于100mL 50%乙醇中,溶解后过滤备用; ②醋酸钠缓冲液:醋酸钠・3H2O 9.7g,巴比
技术资料暂无技术资料 索取技术资料











