相关产品推荐更多 >
万千商家帮你免费找货
0 人在求购买到急需产品
- 详细信息
- 文献和实验
- 技术资料
- 免疫原:
A synthesized peptide derived from human Cathepsin L/V/K/H
- 亚型:
IgG
- 形态:
Liquid
- 保存条件:
Store as concentrated solution. Centrifuge briefly prior to opening vial. For short-term storage (1-2 weeks), store at 4ºC. For long-term storage, aliquot and store at -20ºC or below. Avoid multiple freeze-thaw cycles.
- 克隆性:
Monoclonal
- 标记物:
Unconjugated
- 适应物种:
Human, Mouse, Rat
- 保质期:
12 months from the shipping date of the product.
- 抗原来源:
Human
- 目录编号:
GTX02849
- 级别:
Primary Antibodies
- 库存:
Available
- 供应商:
GeneTex
- 宿主:
Rabbit
- 应用范围:
WB, IHC-P
- 浓度:
0.43 mg/ml (Please refer to the vial label for the specific concentration.)
- 靶点:
Cathepsin L/V/K/H
- 抗体英文名:
Cathepsin L/V/K/H antibody [GT1252]
- 抗体名:
Cathepsin L/V/K/H 抗体 [GT1252]
- 规格:
100 μl
Various whole cell extracts (30 μg) were separated by 10% SDS-PAGE, and the membrane was blotted with Cathepsin L/V/K/H antibody [GT1252] (GTX02849) diluted at 1:1000. The HRP-conjugated anti-rabbit IgG antibody (GTX213110-01) was used to detect the primary antibody, and the signal was developed with Trident ECL plus-Enhanced.
Various whole cell extracts (30 μg) were separated by 10% SDS-PAGE, and the membrane was blotted with Cathepsin L/V/K/H antibody [GT1252] (GTX02849) diluted at 1:1000. The HRP-conjugated anti-rabbit IgG antibody (GTX213110-01) was used to detect the primary antibody.
WB analysis of various samples using GTX02849 Cathepsin L/V/K/H antibody [GT1252].
Dilution : 1:1000
Loading : 25μg
IHC-P analysis of mouse liver tissue section using GTX02849 Cathepsin L/V/K/H antibody [GT1252].
Dilution : 1:100
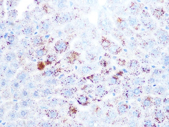
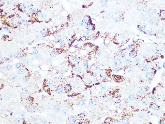
IHC-P analysis of human liver cancer section using GTX02849 Cathepsin L/V/K/H antibody [GT1252].
Dilution : 1:100
风险提示:丁香通仅作为第三方平台,为商家信息发布提供平台空间。用户咨询产品时请注意保护个人信息及财产安全,合理判断,谨慎选购商品,商家和用户对交易行为负责。对于医疗器械类产品,请先查证核实企业经营资质和医疗器械产品注册证情况。
文献和实验skybjp123 各位大哥大嫂,小弟最近在找寻 cathepsin K B L S 的相关转录因子,不知道有哪些呀?哪位牛人可否赐教,谢谢啦~~还有就是sp1是什么?兔子的sp1的基因序列怎么查不到啊?也请赐教~~谢谢~~ skybjp123 另外还有就是:转录因子是怎么测定含量的?用荧光定量PCR技术可以吗?可信吗? happytears 1、转录因子可以先用相关软件预测,如TFbind
IMMUNOSCREENING OF LAMBDA-GT11 BACTERIOPHAGE LIBRARIES WITH ANTIBODY PROBES
Adsroption of Anti-E. coli Antibodies Grow E. coli strain Y1090 in L broth at 37°C overnight. Transfer to 10 mM MgSO4 and store at 4°C for future use. These cells are good for about 1 week. Soak
Antibody Screening of Bacteriophage gt11 DNA Expression Libraries
Much of our current understanding of the molecular details of the activity and interactions of proteins has stemmed from the ability to isolate cDNA encoding these proteins. Computer-based analysis of deduced amino acid sequence allows
技术资料暂无技术资料 索取技术资料







![IL2 Receptor alpha antibody [MAB0710]](https://img1.dxycdn.com/2022/0328/807/6787306555989400453-14.jpg!wh200)


