相关产品推荐更多 >
万千商家帮你免费找货
0 人在求购买到急需产品
- 详细信息
- 文献和实验
- 技术资料
- 免疫原:
Recombinant full-length human CD45RB protein
- 亚型:
IgG1
- 形态:
Liquid
- 保存条件:
Store as concentrated solution. Centrifuge briefly prior to opening vial. Store at 4ºC.
- 克隆性:
Monoclonal
- 标记物:
Unconjugated
- 适应物种:
Human
- 保质期:
12 months from the shipping date of the product.
- 抗原来源:
Human
- 目录编号:
GTX02699
- 级别:
Primary Antibodies
- 库存:
Available
- 供应商:
GeneTex
- 宿主:
Mouse
- 应用范围:
WB, ICC/IF, IHC-P, FACS
- 浓度:
200 μg/ml (Please refer to the vial label for the specific concentration.)
- 靶点:
CD45RB
- 抗体英文名:
CD45RB antibody [rPTPRC/1132]
- 抗体名:
CD45RB 抗体 [rPTPRC/1132]
- 规格:
100 μg
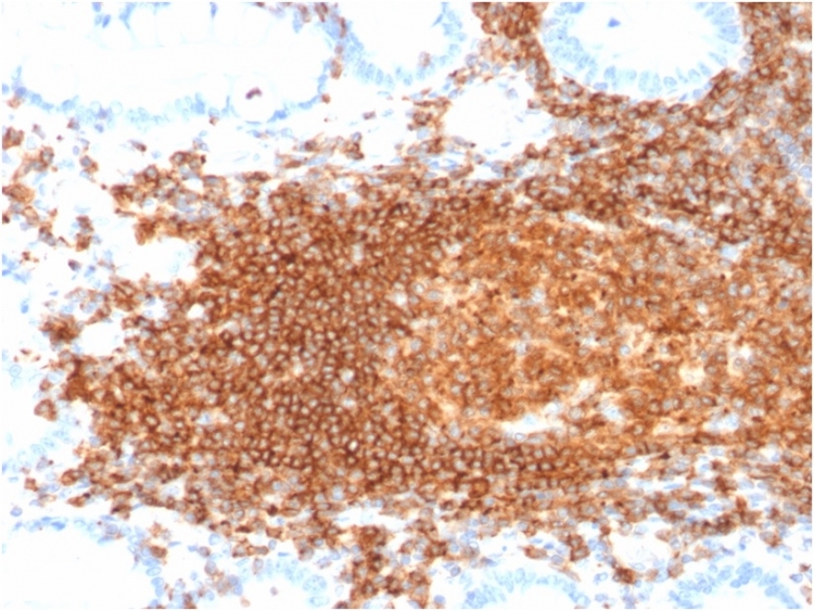
IHC-P analysis of human lymph node tissue section using GTX02699 CD45RB antibody [rPTPRC/1132].
WB analysis of human spleen tissue lysate using GTX02699 CD45RB antibody [rPTPRC/1132].
风险提示:丁香通仅作为第三方平台,为商家信息发布提供平台空间。用户咨询产品时请注意保护个人信息及财产安全,合理判断,谨慎选购商品,商家和用户对交易行为负责。对于医疗器械类产品,请先查证核实企业经营资质和医疗器械产品注册证情况。
文献和实验CD45/CD45RA/CD45RB/CD45RC/CD45RO
CD45/CD45RA/CD45RB/CD45RC/CD45RO CD45 常用单克隆抗体或代号: T29/33,BMAC1;(T200,B220) 主要表达细胞: Leu [NL] 分子质量(kDa)和结构: gp180- 240,白细胞共同抗原(LCA) 功 能: PTP酶,调节信号传导 CD45RA 常用单克隆抗体或代号: G1- 15,F8- 11- 13,Leu18,2H4;(限制性LCA) 主要表达细胞: Tsub,B,G,M
,2F12;CRIS-3 Leu LFA-1(gp180/95)的α链 与ICAM-1(CD54)和ICAM-2(CD102)结合 CD11b Mol,OKM1; (Mac-1,CR3,integrin αm G,M,NK gp165/95的α链 C3bi和FB受体,与ICAM-1结合,粘附,调理吞噬 CD11c LeuM5;(CR4,integrin αx) M,G,NK,Tsub gp150/95的α链 C3bi受体,调理吞噬
,2F12;CRIS-3 Leu LFA-1(gp180/95)的α链 与ICAM-1(CD54)和ICAM-2(CD102)结合 CD11b Mol,OKM1; (Mac-1,CR3,integrin αm G,M,NK gp165/95的α链 C3bi和FB受体,与ICAM-1结合,粘附,调理吞噬 CD11c LeuM5;(CR4,integrin αx) M,G,NK,Tsub gp150/95的α链 C3bi受体,调理吞噬
技术资料暂无技术资料 索取技术资料





![CD200R antibody [OX-110] (FITC)](https://img1.dxycdn.com/2022/0328/284/6718579330944400453-14.jpg!wh200)

![Glutamine synthetase antibody [MSVA-750M] HistoMAX](https://custom.dxycdn.com/trademd/upload/pic/2013/11/12/A1383891150.jpg!small.t.1)

