相关产品推荐更多 >
万千商家帮你免费找货
0 人在求购买到急需产品
- 详细信息
- 文献和实验
- 技术资料
- 免疫原:
Recombinant human FOLH1 protein fragment (around aa 232-433)
- 亚型:
IgG
- 形态:
Liquid
- 保存条件:
Store as concentrated solution. Centrifuge briefly prior to opening vial. Store at 4ºC.
- 克隆性:
Monoclonal
- 标记物:
Unconjugated
- 适应物种:
Human
- 保质期:
12 months from the shipping date of the product.
- 抗原来源:
Human
- 目录编号:
GTX02639
- 级别:
Primary Antibodies
- 库存:
Available
- 供应商:
GeneTex
- 宿主:
Rabbit
- 应用范围:
IHC-P
- 浓度:
200 μg/ml (Please refer to the vial label for the specific concentration.)
- 靶点:
PSMA
- 抗体英文名:
PSMA antibody [FOLH1/3149R]
- 抗体名:
PSMA 抗体 [FOLH1/3149R]
- 规格:
100 μg
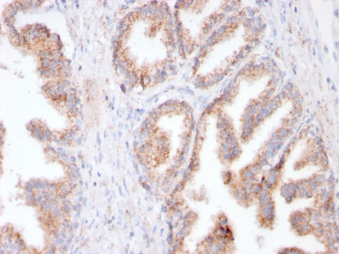
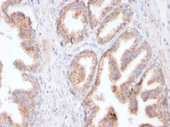
IHC-P analysis of human prostate carcinoma section using GTX02639 PSMA antibody [FOLH1/3149R].
风险提示:丁香通仅作为第三方平台,为商家信息发布提供平台空间。用户咨询产品时请注意保护个人信息及财产安全,合理判断,谨慎选购商品,商家和用户对交易行为负责。对于医疗器械类产品,请先查证核实企业经营资质和医疗器械产品注册证情况。
文献和实验AntibodyDrug Conjugate (ADC) Clinical Pipeline: A Review
game, requiring thoughtful combination of antibody, linker, and drugs in the context of a target and a defined cancer indication. Lessons learned from the first-generation antibody–drug conjugate (ADC) and improvement of the technology guided the design
Section.03 小结 好啦,今天关于肿瘤标志物就先介绍到这里了~MCE 提供大量肿瘤标志物抗体,快来 MCE 官网挑选你心仪的抗体吧!点击直达官网。 小伙伴还需要注意:每一个肿瘤标志物,都不是孤立的“判决书”,一定要结合多种检测指标联合判断,才能更准确。 产品推荐 PD-L1 Antibody (YA4674) (HY-P84982) www.medchemexpress.cn/antibody/cd274-pd
Phage‐Based Expression Cloning to Identify Interacting Proteins
, W., Sellers, W.R., DeCaprio, J.A., Ajchenbaum, F., Fuchs, C.S., Chittenden, T., Li, Y., Farnham, P.J., Blanar, M.A., Livingston, D.M., and Flemington, E.K. 1992. Expression cloning of a cDNA encoding a retinoblastoma‐binding protein with E2F
技术资料暂无技术资料 索取技术资料







![TYRO3 antibody [10E11]](https://img1.dxycdn.com/2022/0328/391/0217808326057500453-14.jpg!wh200)



