相关产品推荐更多 >
万千商家帮你免费找货
0 人在求购买到急需产品
- 详细信息
- 文献和实验
- 技术资料
- 免疫原:
Recombinant full-length human Annexin A1 protein
- 亚型:
IgG
- 形态:
Liquid
- 保存条件:
Store as concentrated solution. Centrifuge briefly prior to opening vial. Store at 4ºC.
- 克隆性:
Monoclonal
- 标记物:
Unconjugated
- 适应物种:
Human, Mouse
- 保质期:
12 months from the shipping date of the product.
- 抗原来源:
Human
- 目录编号:
GTX02590
- 级别:
Primary Antibodies
- 库存:
Available
- 供应商:
GeneTex
- 宿主:
Rabbit
- 应用范围:
WB, IHC-P, IP
- 浓度:
200 μg/ml (Please refer to the vial label for the specific concentration.)
- 靶点:
Annexin A1
- 抗体英文名:
Annexin A1 antibody [ANXA1/3869R]
- 抗体名:
Annexin A1 抗体 [ANXA1/3869R]
- 规格:
100 μg
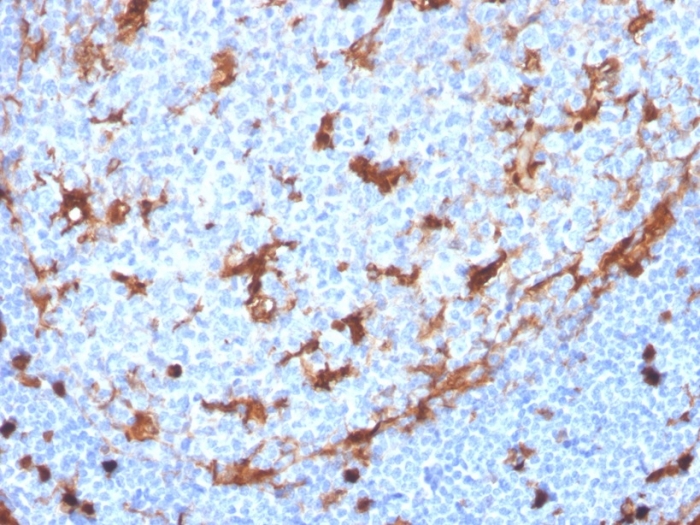
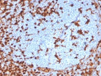
IHC-P analysis of human tonsil tissue section using GTX02590 Annexin A1 antibody [ANXA1/3869R].
WB analysis of A549 whole cell lysate using GTX02590 Annexin A1 antibody [ANXA1/3869R].
IHC-P analysis of human tonsil tissue section using GTX02590 Annexin A1 antibody [ANXA1/3869R].
风险提示:丁香通仅作为第三方平台,为商家信息发布提供平台空间。用户咨询产品时请注意保护个人信息及财产安全,合理判断,谨慎选购商品,商家和用户对交易行为负责。对于医疗器械类产品,请先查证核实企业经营资质和医疗器械产品注册证情况。
文献和实验Huang T et al., Bioact Mater 2021 (PMID:33511314)
人a1-抗胰蛋白酶(a1-Antitrypsin)ELISA试剂盒 说明书
ml 标准品( Standards ): 200ug/ 瓶 2 瓶 底物工作液( TMB Solution ) 12ml 第一抗体工作液( Biotinylated Antibody ) 12ml 终止
Annexin V-PI 双染法 在细胞凋亡的早期就有细胞膜表面破损发生。破损时凋亡细胞表面的磷脂腺丝氨酸(PS)可以从细胞内膜翻转至细胞的外膜。该过程发生在DNA片段化之前,因而检测PS的表达,能反映早期凋亡。AnnexinV是相对分子质量为35 000大小的Ca2+依赖的磷脂结合蛋白,对PS有很高的亲和性,并且可以与暴露于细胞外的PS相结合。利用这一原理,可以将AnnexinV标记荧光来识别早期的细胞凋亡。通常利用AnnexinV-FITC和碘化丙啶(P1)来区分凋亡和坏死细胞。PI
大鼠a1-酸性糖蛋白(a1-AGP)ELISA试剂盒 说明书
品( Standards ): 5000ug/ 瓶 2 瓶 底物工作液( TMB Solution ) 12ml 第一抗体工作液( Biotinylated Antibody ) 12ml 终止液 ( Stop Solution
技术资料暂无技术资料 索取技术资料





![Fc epsilon R1 alpha antibody [9E1]](https://img1.dxycdn.com/2022/0328/636/9736776845983400453-14.jpg!wh200)


![MHC Class II antibody [rHLA-Pan/3475]](https://img1.dxycdn.com/2022/0328/654/9569759718599700453-14.jpg!wh200)
![ALDH1A1 antibody [ALDH1A1/1381]](https://img1.dxycdn.com/2022/0328/260/4937866329389600453-14.jpg!wh200)

