相关产品推荐更多 >
万千商家帮你免费找货
0 人在求购买到急需产品
- 详细信息
- 文献和实验
- 技术资料
- 保存条件:
Store as concentrated solution. Centrifuge briefly prior to opening vial. Aliquot and store at -20ºC or below. Avoid multiple freeze-thaw cycles.
- 保质期:
12 months from the shipping date of the product.
- 英文名:
SARS-CoV-2 (COVID-19) Spike S2 (ECD) Protein, B.1.1.7 / Alpha variant, His tag
- 库存:
Available
- 供应商:
GeneTex
- 规格:
100 μg
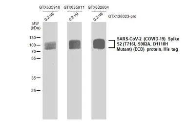
SARS-CoV-2 (COVID-19) Spike S2 (T716I, S982A, D1118H Mutant) (ECD) protein, His tag (GTX136023-pro, 0.2 μg) was separated by 12% SDS-PAGE, and the membrane were blotted with SARS-CoV-2 (COVID-19) Spike S2 antibody [HL1038] (GTX635910, left) diluted at 1:20000, SARS-CoV-2 (COVID-19) Spike S2 antibody [HL1039] (GTX635911, middle) diluted at 1:20000, and SARS-CoV / SARS-CoV-2 (COVID-19) spike antibody [1A9] (GTX632604, right) diluted at 1:5000.
Sandwich ELISA detection of recombinant SARS-CoV-2 (COVID-19) Spike S2 (T716I, S982A, D1118H Mutant) (ECD) protein, His tag (GTX136023-pro) and SARS-CoV-2 (COVID-19) Spike S2 (ECD) protein, human IgG Fc tag (GTX01559-pro) using SARS-CoV / SARS-CoV-2 (COVID-19) spike antibody [1A9] (GTX632604) as capture antibody at concentration of 5 μg/mL and SARS-CoV-2 (COVID-19) Spike S2 antibody [HL1039] (GTX635911) as detection antibody at concentration of 1 μg/mL. Rabbit IgG antibody (HRP) (GTX213110-01) was diluted at 1:10000 and used to detect the primary antibody.
1μg of GTX136023-pro SARS-CoV-2 (COVID-19) Spike S2 (T716I, S982A, D1118H Mutant) (ECD) protein, His tag was analyzed using SDS-PAGE and stained with coomassie blue and captured by monochrome camera.
Sandwich ELISA detection of recombinant SARS-CoV-2 (COVID-19) Spike S2 (T716I, S982A, D1118H Mutant) (ECD) protein, His tag (GTX136023-pro), SARS-CoV-2 (COVID-19) Spike S2 (ECD) protein, mouse IgG Fc tag (GTX135684-pro), and SARS-CoV-2 (COVID-19) Spike S2 (ECD) protein, human IgG Fc tag (GTX01559-pro) using SARS-CoV / SARS-CoV-2 (COVID-19) spike antibody [1A9] (GTX632604) as capture antibody at concentration of 5 μg/mL and SARS-CoV-2 (COVID-19) Spike S2 antibody [HL1038] (GTX635910) as detection antibody at concentration of 1 μg/mL. Rabbit IgG antibody (HRP) (GTX213110-01) was diluted at 1:10000 and used to detect the primary antibody.
Sandwich ELISA detection of recombinant SARS-CoV-2 (COVID-19) Spike S2 Protein, B.1.1.7 / Alpha variant, His tag (GTX136023-pro) using antibodies as below.
Capture: SARS-CoV / SARS-CoV-2 (COVID-19) spike antibody [1A9] (GTX632604) (5 μg/mL)
Detection: SARS-CoV-2 (COVID-19) Spike S2 / S2' antibody [HL1039] (GTX635911) (1 μg/mL)
Sandwich ELISA detection of recombinant SARS-CoV-2 (COVID-19) Spike S2 (T716I, S982A, D1118H Mutant) (ECD) protein, His tag (GTX136023-pro) using SARS-CoV / SARS-CoV-2 (COVID-19) spike antibody [1A9] (GTX632604) as capture antibody at concentration of 5 μg/mL and SARS-CoV-2 (COVID-19) Spike S2 antibody [HL237] (GTX635693) as detection antibody at concentration of 1 μg/mL. Rabbit IgG antibody (HRP) (GTX213110-01) was diluted at 1:10000 and used to detect the primary antibody.
风险提示:丁香通仅作为第三方平台,为商家信息发布提供平台空间。用户咨询产品时请注意保护个人信息及财产安全,合理判断,谨慎选购商品,商家和用户对交易行为负责。对于医疗器械类产品,请先查证核实企业经营资质和医疗器械产品注册证情况。
文献和实验5位院士为代表,超12篇CNS大作,5月新冠研究汇总——全方位围攻新冠病毒,值得收藏
的鸡尾酒疗法也引起了大家的关注,不同的抗体可以识别结合域上不同的抗原表位,在未来的临床应用中能够避免免疫逃逸的理想单克隆抗体对。 5 月 8 日,军事医学科学院生物工程研究所陈薇院士团队和西湖大学周强团队强强联合,在预印本平台 bioRxiv 上线题为:A potent neutralizing human antibody reveals the N-terminal domain of the Spike protein of SARS-CoV-2 as a site
[资源] 所有的看家基因(housekeeping genes)列表+引物设计服务
sapiens folate receptor 1 (adult) (FOLR1), transcript variant 2, mRNA 514 NM_004924 Homo sapiens actinin, alpha 4 (ACTN4), mRNA 1187 NM_002931 Homo sapiens ring finger protein 1 (RING1), mRNA 576 NM_000020 Homo sapiens activin A receptor type II
19. 21. A method of producing a maize plant with modified fatty acid metabolism or modified carbohydrate metabolism comprising transforming the maize plant of claim 2 with a transgene encoding a protein selected from the group consisting
技术资料暂无技术资料 索取技术资料











