相关产品推荐更多 >
万千商家帮你免费找货
0 人在求购买到急需产品
- 详细信息
- 文献和实验
- 技术资料
- 免疫原:
reticulon 1
- 亚型:
IgG
- 形态:
liquid
- 保存条件:
-20℃ 12月
- 克隆性:
polyclonal
- 标记物:
未标记
- 适应物种:
Human, Mouse, Rat
- 保质期:
-20℃ 12月
- 抗原来源:
reticulon 1
- 目录编号:
FNab10714
- 级别:
科研
- 库存:
100
- 供应商:
武汉菲恩生物科技有限公司
- 宿主:
Rabbit
- 应用范围:
ELISA, WB, IHC
- 靶点:
RTN1-A
- 抗体英文名:
RTN1-A antibody
- 抗体名:
RTN1-A抗体
- 规格:
50ug/100ug
| 规格: | 50ug | 产品价格: | ¥900.0 |
|---|---|---|---|
| 规格: | 100ug | 产品价格: | ¥1500.0 |

产品介绍
| 产品名称 | RTN1-A antibody |
| 中文名称 | RTN1-A抗体 |
| 货号 | FNab10714 |
| 规格 | 50ug/100ug |
| 宿主 | Rabbit |
| 反应种属 | Human, Mouse, Rat |
| 验证应用 | ELISA, WB, IHC |
| 状态 | liquid |
| 纯化方法 | Immunogen affinity purified |
| 纯度 | ≥95% as determined by SDS-PAGE |
| 克隆性 | polyclonal |
| 亚型 | IgG |
| 免疫原 | reticulon 1 |
| 免疫原别称 | Reticulon-1|Neuroendocrine-specific protein|RTN1|NSP |
| Uniprot ID | Q16799 |
| 分子量 | 83-110 kDa |
| 建议稀释比例 | WB: 1:500-1:1000; IHC: 1:20-1:200 |
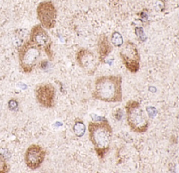
| 验证图片 | Immunohistochemistry of paraffin-embedded rat brain tissue slide using FNab10714(RTN1 antibody) at dilution of 1:100 Various lysates were subjected to SDS PAGE followed by western blot with FNab10714(RTN1 antibody) at dilution of 1:600 |
| 存储 | PBS with 0.02% sodium azide and 50% glycerol pH 7.3, -20℃ for 12 months(Avoid repeated freeze / thaw cycles.) |
| 注意事项 | RTN1-A antibody仅供科研使用 |
菲恩生物抗体产品优势
种类齐全:有10000多种经过验证的免多抗和小鼠单抗,包括流式抗体、内参抗体、标签抗体、小分子化合物抗体、对照抗体等;
多种标记/非标记二抗:针对兔、羊、小鼠、大鼠、人等多个种属。100多种标记二抗,标记物包括HRP、Biotin、FITC、Cy3、Alexa Fluor 488、Alexa Fluor 594等,通过了蛋白质印迹、免疫荧光、免疫组织化学、流式细胞术和ELISA等免疫学相关应用的充分验证,可满足各种实验需求;
验证过多种实验:ELISA、WB、IHC、IF、IP、FC等应用,并进行了广泛的物种交叉实验。
风险提示:丁香通仅作为第三方平台,为商家信息发布提供平台空间。用户咨询产品时请注意保护个人信息及财产安全,合理判断,谨慎选购商品,商家和用户对交易行为负责。对于医疗器械类产品,请先查证核实企业经营资质和医疗器械产品注册证情况。
文献和实验.Anticyclophilin autoantibodies were found in 48% of the SLE patients. The positive rate of IgG, IgA and IgM anti-cyclophilin A antibody is 36%, 20% and 18%, respectively. The prevelance of antibodies to CyPA in patients with skin and mucous lesion, leukopenia
人抗干扰素-a抗体(anti-IFN-ab)ELISA试剂盒 说明书
人抗干扰素 - a抗体 ( anti-IFN - a b )ELISA 试剂盒 ( 用于血清、血浆、细胞培养上清液和其它生物体液内 ) 原理 本实验采用双抗体夹心 ABC-ELISA 法。用抗人 anti-IFN- a b 单抗包被于酶标板上,标准品和样品中的 anti-IFN- a b 与单抗结合,加入生物素化的抗人anti-IFN- a b ,形成免疫复合物连接在板上,辣根
同时加在抗原标本切片上,经37℃孵育后,如发生抗原补体抗体反应,补体就结合在此复合物上,再用抗补体荧光抗体与结合的补体反应,形成抗原抗体―抗补体荧光抗体的复合物,此法优点是只需一种荧光抗体可适用于各种不同种属来源的第一抗体的标记显示。 四、双重免疫荧光标记法 在同一细胞组织标本上需要同时检查两种抗原时,要进行双重荧光染色,一般均采用直接法,将两种荧光抗体(如抗A和抗B)以适当比例混合,加在标本上孵育后,按直接法洗去未结合的荧光抗体,抗A抗体用异硫氰酸荧光素标记,发黄绿色荧光;抗B抗体
技术资料暂无技术资料 索取技术资料








