相关产品推荐更多 >
万千商家帮你免费找货
0 人在求购买到急需产品
- 详细信息
- 文献和实验
- 技术资料
- 免疫原:
A synthetic peptide of Human LILRA2
- 亚型:
IgG
- 形态:
液体
- 保存条件:
低温
- 克隆性:
Polyclonal Antibody
- 标记物:
LILRA2
- 适应物种:
Human
- 保质期:
标签为准
- 目录编号:
11027
- 库存:
99
- 供应商:
北京索莱宝科技有限公司
- 宿主:
Rabbit
- 应用范围:
IHC
- 浓度:
现询客服
- 抗体英文名:
Anti-LILRA2 Polyclonal Antibody
- 抗体名:
CD85H;ILT1;LIR-7;LIR7;leukocyte immunoglobulin like receptor A2
- 规格:
50ul/100ul
| 规格: | 50ul | 产品价格: | ¥960.0 |
|---|---|---|---|
| 规格: | 100ul | 产品价格: | ¥1600.0 |
| 英文名称 | Anti-LILRA2 Polyclonal Antibody |
| 宿主 | Rabbit |
| 别名 | CD85H;ILT1;LIR-7;LIR7;leukocyte immunoglobulin like receptor A2 |
| 稀释比例 | IHC 1:25-100. |
| 蛋白分子量 | 47/53kDa |
| Gene ID | 11027 |
| 保存 | Store at -20°C. Avoid freeze / thaw cycles. |
| 储存液 | Buffer: PBS with 0.03% Proclin300, 50% glycerol, pH7.3. |
| 纯化方法 | Affinity purification |
| 亚型 | IgG |
| 免疫原 | A synthetic peptide of Human LILRA2 |
| 亚细胞定位 | Cytoplasm |
| Swiss Prot | Q8N149 |
| 背景资料 | Part of the innate immune responses against microbial infection. Specifically recognizes a set of N-terminally truncated immunoglobulins that are produced via cleavage by proteases from a range of pathogenic bacteria and fungi, including L.pneumophila, M.hyorhinis, S.pneumoniae, S.aureus and C.albicans. Recognizes epitopes that are in part in the variable region of the immunoglobulin light chains, but requires also the constant region for signaling. Binds to a subset of cleaved IgM, IgG3 and IgG4 molecules, but does not bind cleaved IgA1. Binding of N-terminally truncated immunoglobulins mediates activation of neutrophils. In monocytes, activation leads to the release of CSF2, CF3, IL6, CXCL8 and CCL3 and down-regulates responses to bacterial lipopolysaccharide (LPS), possibly via down-regulation of TLR4 expression and reduced signaling via TLR4. In eosinophils, activation by ligand binding leads to the release of RNASE2, IL4 and leukotriene C4. Does not bind class I MHC antigens. |
| Public Immunogen Range | 60-110/483aa |
| 克隆类型 | Polyclonal Antibody |
| 交叉反应 | Human |
| 应用 | IHC |
| 规格 | 50ul 100ul |
备注:
以上数据均来自公开文献, Solarbio暂未进行独立验证, 仅供参考。
These protocols are for reference only. Solarbio does not independently validate these methods.
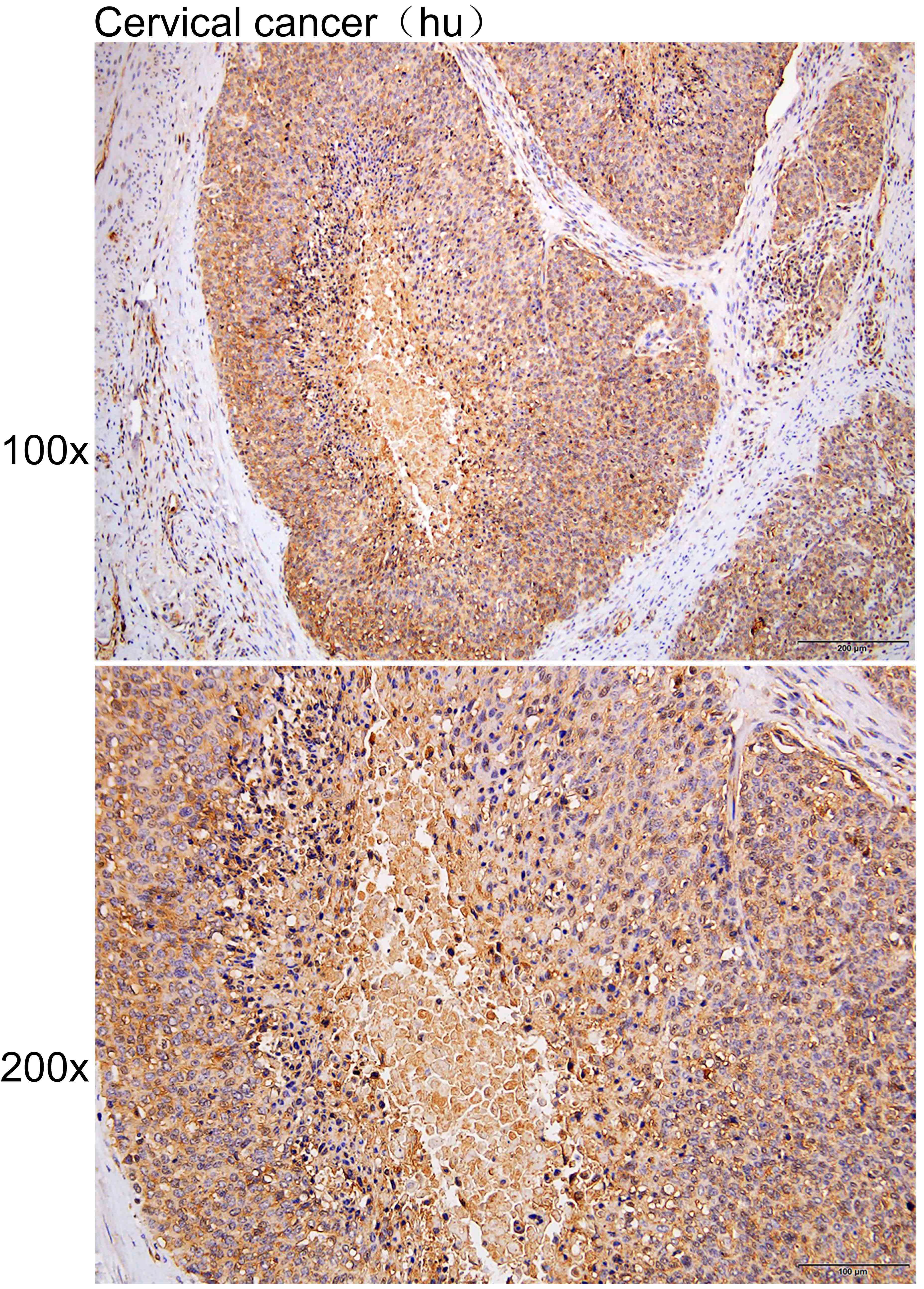
实验图
风险提示:丁香通仅作为第三方平台,为商家信息发布提供平台空间。用户咨询产品时请注意保护个人信息及财产安全,合理判断,谨慎选购商品,商家和用户对交易行为负责。对于医疗器械类产品,请先查证核实企业经营资质和医疗器械产品注册证情况。
文献和实验Polyclonal Antibody Production
, if desired this is best accomplished by Protein A Affinity Chromatography. 上一篇:make an Antibody against a Peptides 下一篇:Immunization Protocol for Monoclonal Antibody Production
Polyclonal Antibody Production
Polyclonal Antibody Production Very useful for rapid and simple generation of antibodies for western blots, ELISA assays, and immunoprecipitation. Rabbit Immunization Initial Preparation Your antigen
a simple ELISA method to detect human anti-antibody response.
技术资料暂无技术资料 索取技术资料











