相关产品推荐更多 >
万千商家帮你免费找货
0 人在求购买到急需产品
- 详细信息
- 询价记录
- 文献和实验
- 技术资料
- 免疫原:
A synthetic peptide of Human P53
- 亚型:
IgG
- 形态:
液体
- 保存条件:
Store at -20°C. Avoid freeze / thaw cycles.
- 克隆性:
Polyclonal Antibody
- 标记物:
Nucleus
- 适应物种:
Human Mouse Rat
- 保质期:
现询
- 抗原来源:
现询
- 目录编号:
K107940P
- 级别:
详询
- 库存:
99
- 供应商:
北京索莱宝科技有限公司
- 宿主:
Rabbit
- 应用范围:
WB IHC
- 浓度:
现询
- 靶点:
P53
- 抗体英文名:
Anti-P53 Polyclonal Antibody
- 抗体名:
BCC7;LFS1;TP53;TRP53;tumor protein p53
- 规格:
50ul/100ul
| 规格: | 50ul | 产品价格: | ¥960.0 |
|---|---|---|---|
| 规格: | 100ul | 产品价格: | ¥1600.0 |
产品简介
|
英文名称
|
Anti-P53 Polyclonal Antibody
|
|
中文名称
|
肿瘤蛋白P53抗体
|
|
靶标
|
P53
|
|
别名
|
BCC7;LFS1;TP53;TRP53;tumor protein p53
|
|
背景资料
|
This gene encodes a tumor suppressor protein containing transcriptional activation, DNA binding, and oligomerization domains. The encoded protein responds to diverse cellular stresses to regulate expression of target genes, thereby inducing cell cycle arrest, apoptosis, senescence, DNA repair, or changes in metabolism. Mutations in this gene are associated with a variety of human cancers, including hereditary cancers such as Li-Fraumeni syndrome. Alternative splicing of this gene and the use of alternate promoters result in multiple transcript variants and isoforms. Additional isoforms have also been shown to result from the use of alternate translation initiation codons from identical transcript variants (PMIDs: 12032546, 20937277).
|
|
Swiss Prot
|
P04637
|
|
Gene ID
|
7157
|
|
亚细胞定位
|
Nucleus
|
|
宿主
|
Rabbit
|
|
克隆类型
|
Polyclonal Antibody
|
|
亚型
|
IgG
|
|
交叉反应
|
Human ; Rat ; Mouse
|
|
蛋白分子量
|
23/30/34/38/44kDa
|
|
应用
|
WB ; IHC
|
|
稀释比例
|
WB 1:1000-3000. IHC 1:100-300.
|
|
免疫原
|
A synthetic peptide of Human P53
|
|
Public Immunogen Range
|
280-330/393aa
|
|
纯化方法
|
Affinity purification
|
|
储存液
|
Buffer: PBS with 50% Glycerol, 0.03% Proclin300, 0.5% BSA, pH 7.3.
|
|
保存
|
Store at -20°C. Avoid freeze / thaw cycles.
|
|
规格
|
50ul ; 100ul
|
|
单位
|
支
|
These protocols are for reference only. Solarbio does not independently validate these methods.
Quick spin before use. If you have any questions, please contact us.
实验图
Western blot analysis with P53 antibody diluted at 1:2000;Lane: A549,HepG2.
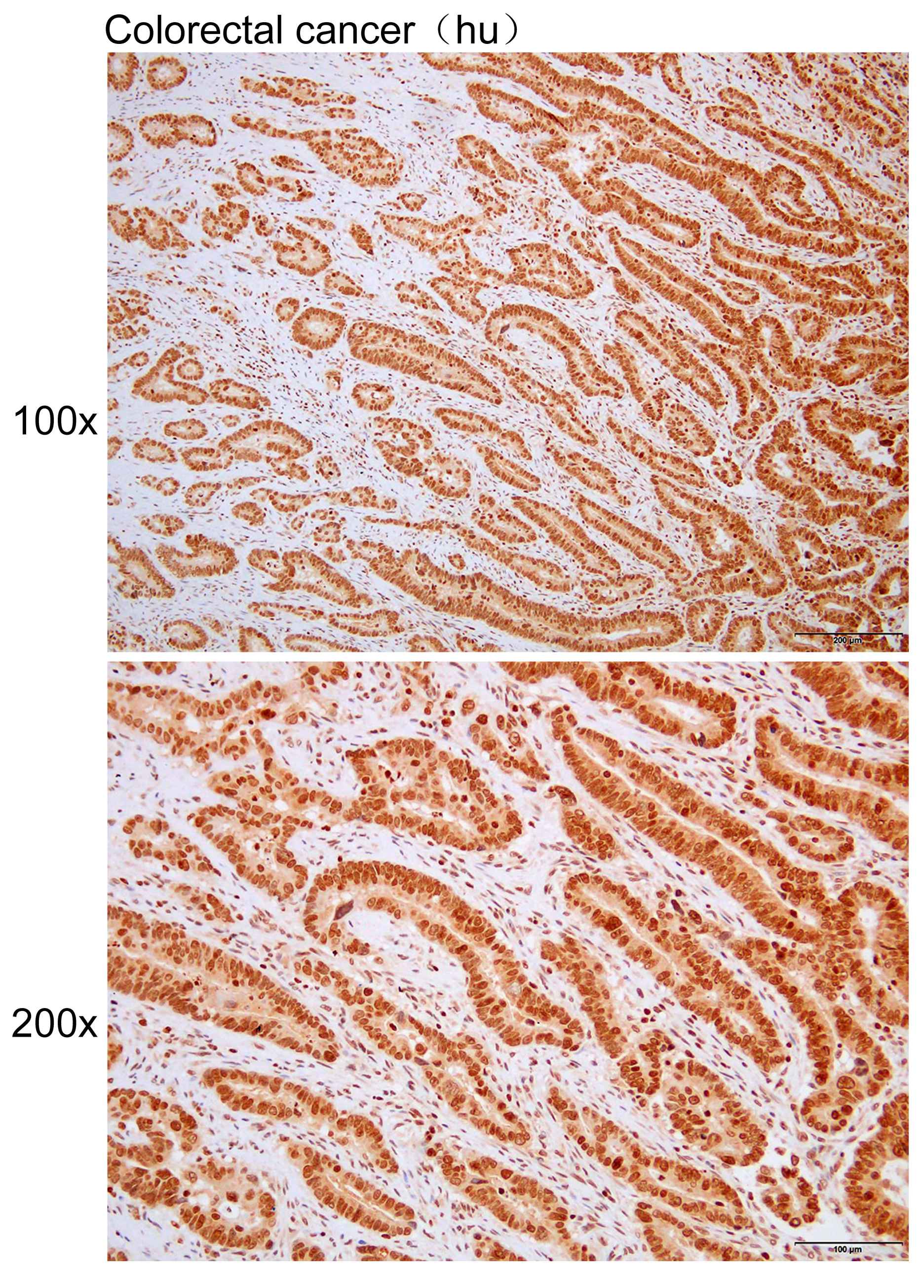
Immunohistochemistry of paraffin-embedded Human colorectal cancer with P53 antibody diluted at 1:200.
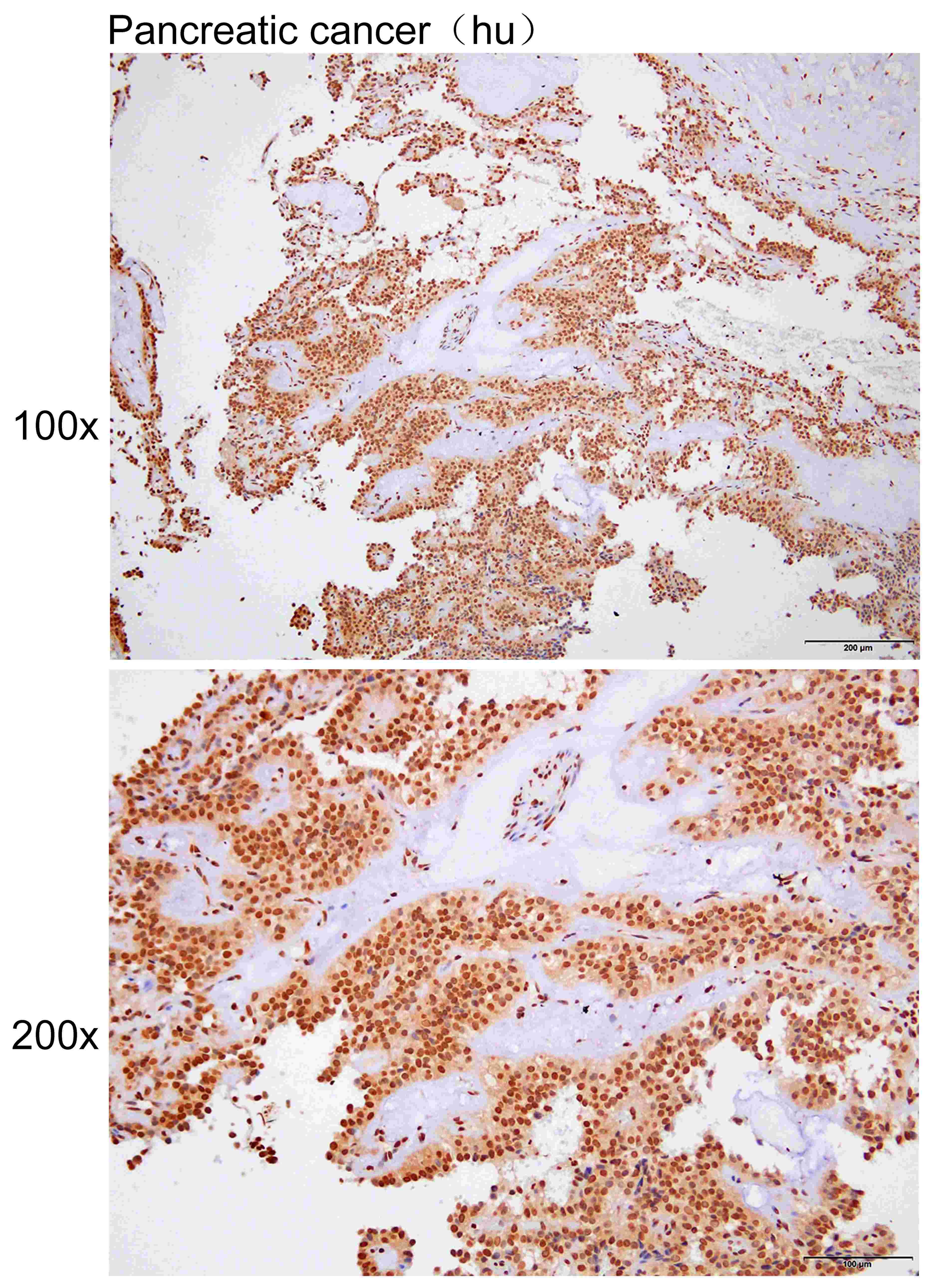
Immunohistochemistry of paraffin-embedded Human pancreatic cancer with P53 antibody diluted at 1:200.
风险提示:丁香通仅作为第三方平台,为商家信息发布提供平台空间。用户咨询产品时请注意保护个人信息及财产安全,合理判断,谨慎选购商品,商家和用户对交易行为负责。对于医疗器械类产品,请先查证核实企业经营资质和医疗器械产品注册证情况。
- 作者
- 内容
- 询问日期
文献和实验Polyclonal Antibody Production
, if desired this is best accomplished by Protein A Affinity Chromatography. 上一篇:make an Antibody against a Peptides 下一篇:Immunization Protocol for Monoclonal Antibody Production
Polyclonal Antibody Production
Polyclonal Antibody Production Very useful for rapid and simple generation of antibodies for western blots, ELISA assays, and immunoprecipitation. Rabbit Immunization Initial Preparation Your antigen
a simple ELISA method to detect human anti-antibody response.












