相关产品推荐更多 >
万千商家帮你免费找货
0 人在求购买到急需产品
- 详细信息
- 文献和实验
- 技术资料
- 亚型:
IgG
- 形态:
液体
- 保存条件:
Store at -20°C. Avoid freeze / thaw cycles.
- 克隆性:
Polyclonal Antibody
- 标记物:
Cytoplasm
- 适应物种:
Human
- 保质期:
现询客服
- 抗原来源:
现询客服
- 库存:
99
- 供应商:
北京索莱宝科技有限公司
- 宿主:
Rabbit
- 应用范围:
IHC
- 浓度:
现询客服
- 靶点:
GPR31
- 抗体英文名:
Anti-GPR31 Polyclonal Antibody
- 规格:
50ul/100ul
| 规格: | 50ul | 产品价格: | ¥960.0 |
|---|---|---|---|
| 规格: | 100ul | 产品价格: | ¥1600.0 |
| 英文名称 | Anti-GPR31 Polyclonal Antibody |
| 宿主 | Rabbit |
| 稀释比例 | IHC 1:50-200. |
| 蛋白分子量 | 35kDa |
| Gene ID | 2853 |
| 保存 | Store at -20°C. Avoid freeze / thaw cycles. |
| 储存液 | Buffer: PBS with 0.03% Proclin300, 50% glycerol, pH7.3. |
| 纯化方法 | Affinity purification |
| 亚型 | IgG |
| 免疫原 | A synthetic peptide of Human GPR31 |
| 亚细胞定位 | Cytoplasm |
| Swiss Prot | O00270 |
| 背景资料 | High-affinity receptor for 12-(S)-hydroxy-5,8,10,14-eicosatetraenoic acid (12-S-HETE). 12-(S)-HETE is an arachidonic acid metabolite secreted by platelets and tumor cells, and known to induce endothelial cells retraction allowing invasive cell access to the subendothelial matrix, which is a critical step for extravasation or metastasis. Ligand-binding lead to activation of ERK1/2 (MAPK3/MAPK1), MEK, and NF-kappa-B. |
| Public Immunogen Range | 269-319/319aa |
| 克隆类型 | Polyclonal Antibody |
| 交叉反应 | Human |
| 应用 | IHC |
| 规格 | 50ul 100ul |
备注:
以上数据均来自公开文献, Solarbio暂未进行独立验证, 仅供参考。
These protocols are for reference only. Solarbio does not independently validate these methods.
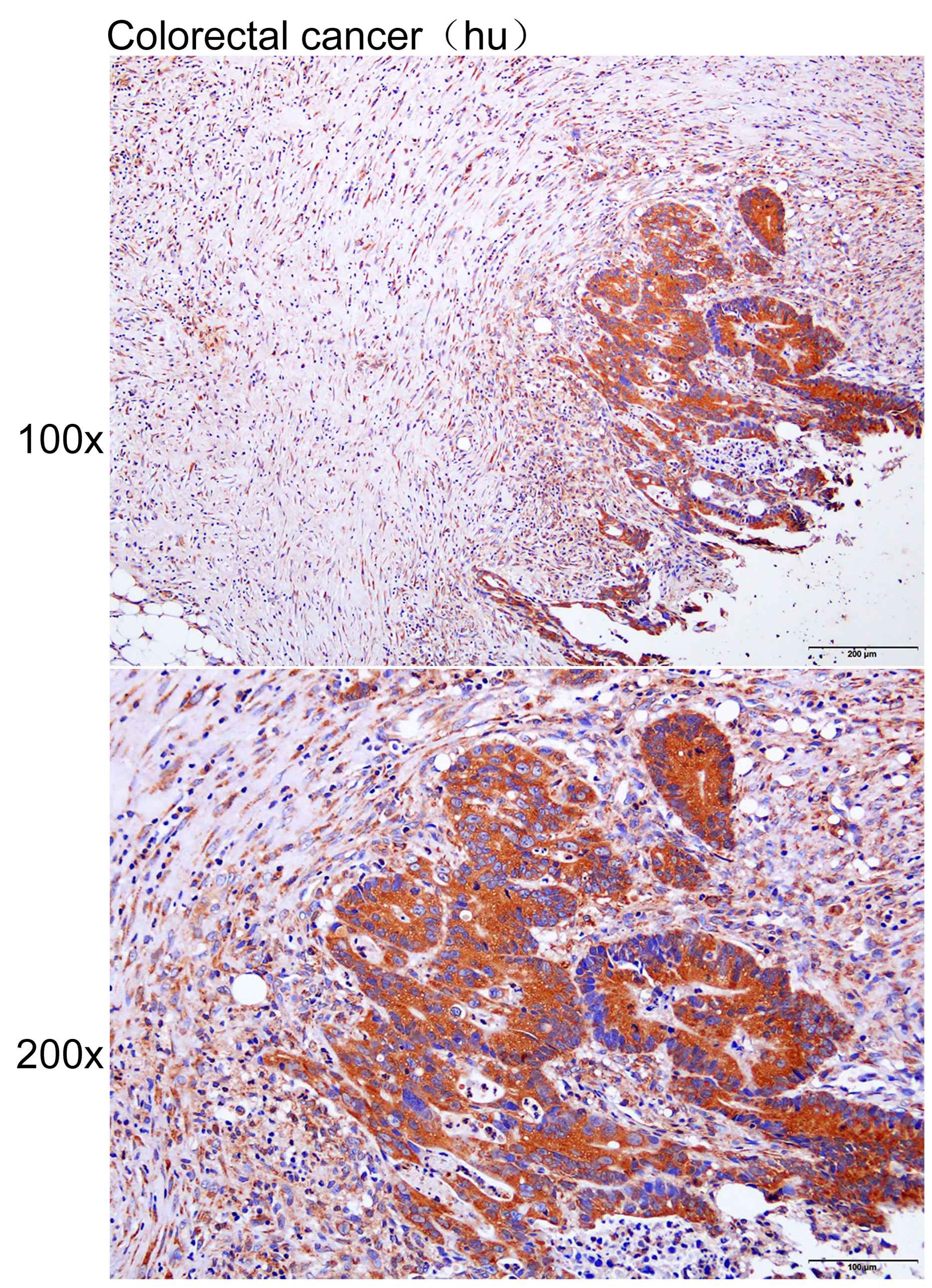
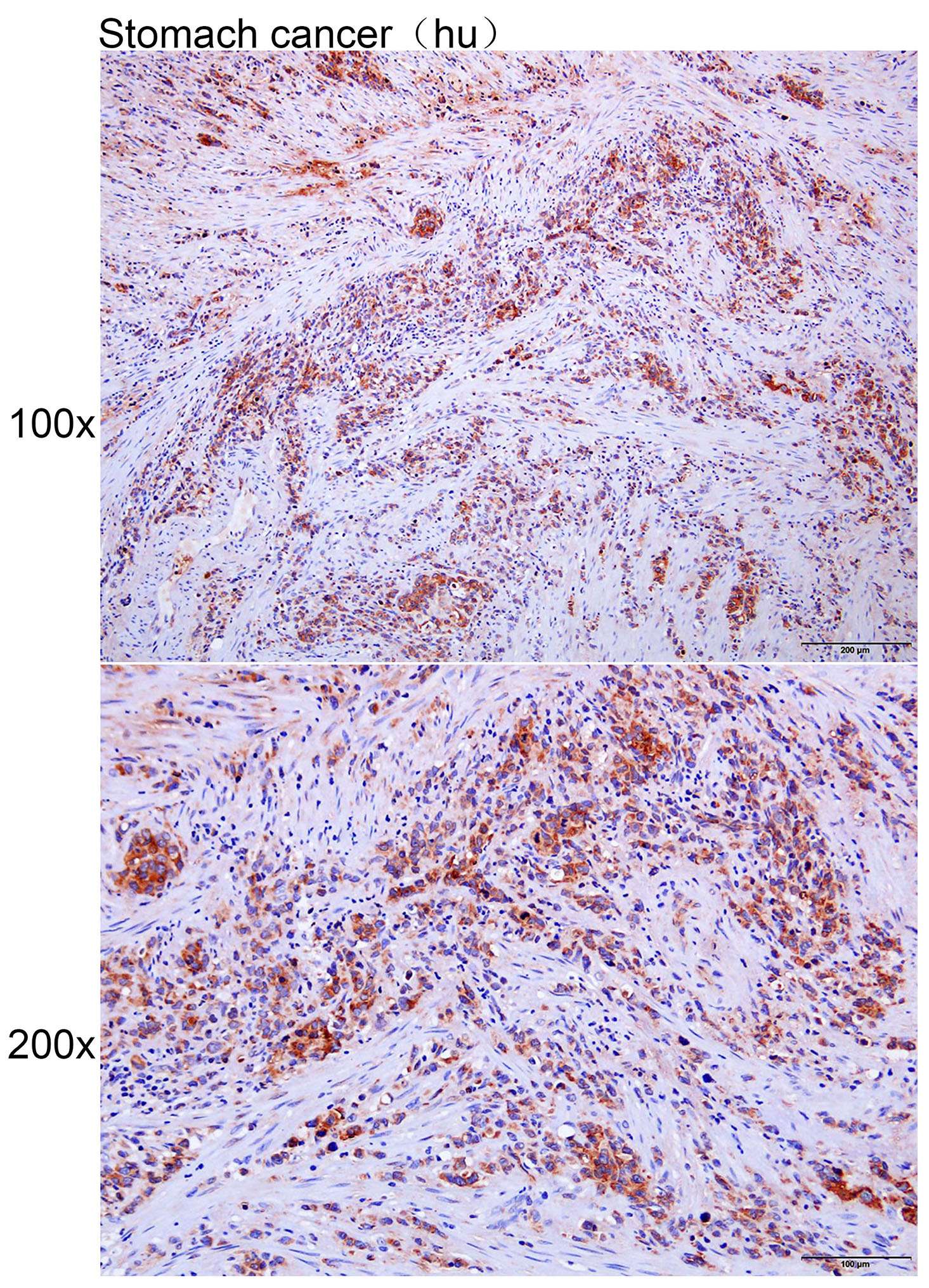
实验图
Immunohistochemistry of paraffin-embedded Human colorectal cancer with GPR31 antibody diluted at 1:100
Immunohistochemistry of paraffin-embedded Human stomach cancer with GPR31 antibody diluted at 1:100
风险提示:丁香通仅作为第三方平台,为商家信息发布提供平台空间。用户咨询产品时请注意保护个人信息及财产安全,合理判断,谨慎选购商品,商家和用户对交易行为负责。对于医疗器械类产品,请先查证核实企业经营资质和医疗器械产品注册证情况。
文献和实验Polyclonal Antibody Production
, if desired this is best accomplished by Protein A Affinity Chromatography. 上一篇:make an Antibody against a Peptides 下一篇:Immunization Protocol for Monoclonal Antibody Production
Polyclonal Antibody Production
Polyclonal Antibody Production Very useful for rapid and simple generation of antibodies for western blots, ELISA assays, and immunoprecipitation. Rabbit Immunization Initial Preparation Your antigen
a simple ELISA method to detect human anti-antibody response.
技术资料暂无技术资料 索取技术资料










