相关产品推荐更多 >
万千商家帮你免费找货
0 人在求购买到急需产品
- 详细信息
- 技术资料
- 亚型:
IgG
- 形态:
液体
- 保存条件:
Store at -20°C. Avoid freeze / thaw cycles.
- 克隆性:
Polyclonal Antibody
- 标记物:
Cytoplasm Nucleus
- 适应物种:
Human Mouse
- 保质期:
现询客服
- 抗原来源:
现询客服
- 库存:
99
- 供应商:
北京索莱宝科技有限公司
- 宿主:
Rabbit
- 应用范围:
WB IHC
- 浓度:
现询客服
- 靶点:
IRF4
- 抗体英文名:
Anti-IRF4 Polyclonal Antibody
- 抗体名:
interferon regulatory factor 4, IRF 4, IRF4, LSIRF, Multiple myeloma oncogene 1, MUM1, NF EM5
- 规格:
50ul/100ul
| 规格: | 50ul | 产品价格: | ¥960.0 |
|---|---|---|---|
| 规格: | 100ul | 产品价格: | ¥1600.0 |
产品简介
备注:
以上数据均来自公开文献, Solarbio暂未进行独立验证, 仅供参考。
These protocols are for reference only. Solarbio does not independently validate these methods.
实验图
Western blot analysis with IRF4 antibody diluted at 1:2000;Lane: Raji,A431,Mouse lung,Mouse spleen
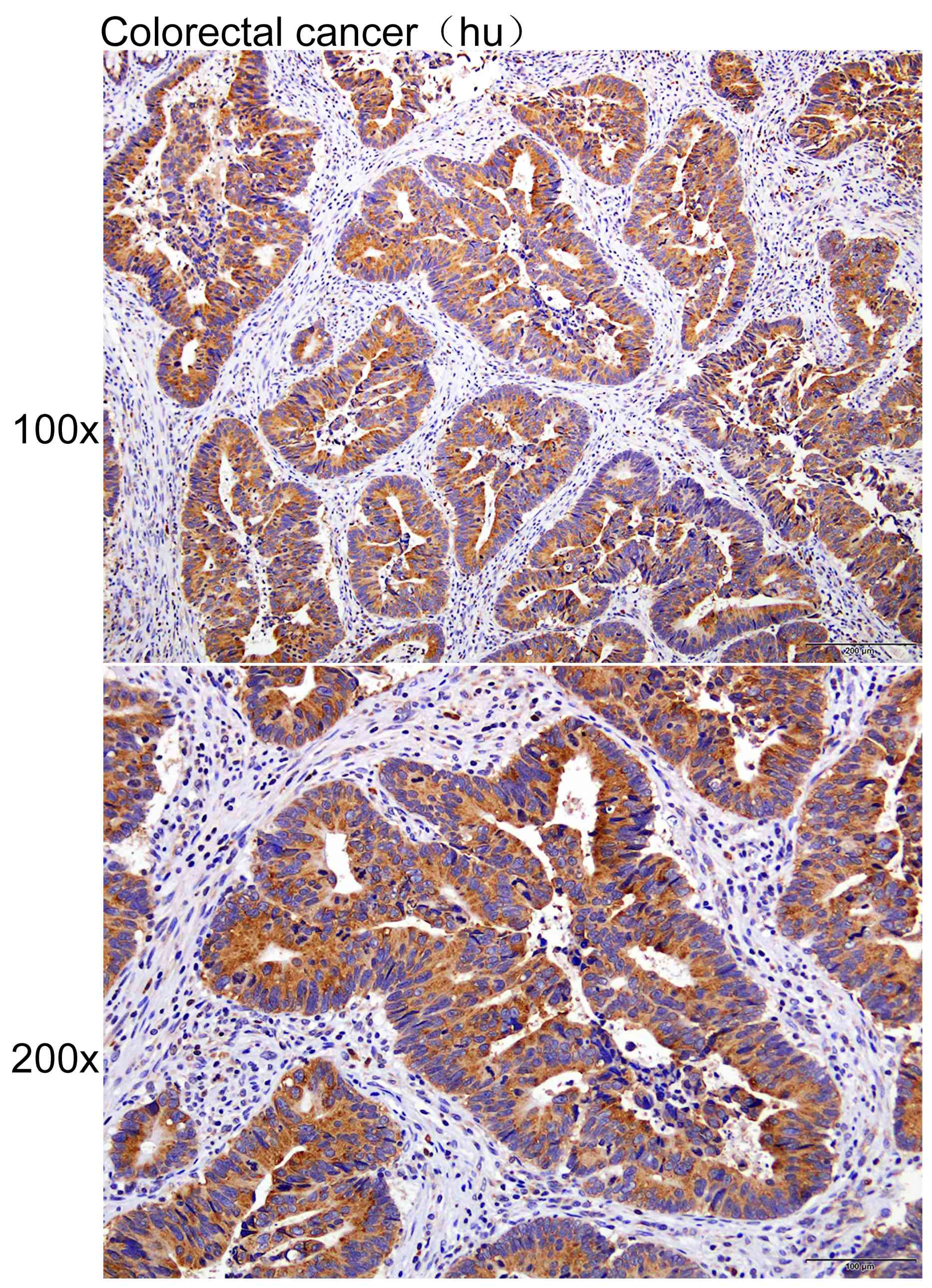
Immunohistochemistry of paraffin-embedded Human colorectal cancer with IRF4 antibody diluted at 1:100
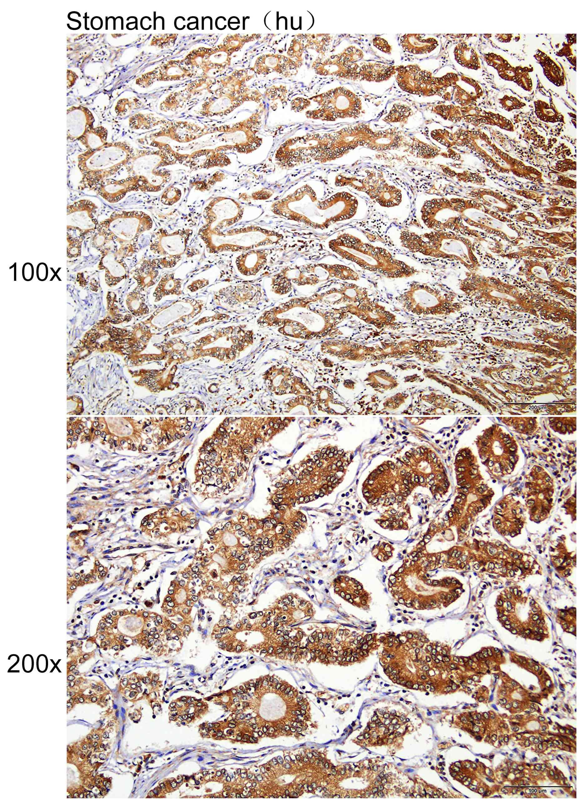
Immunohistochemistry of paraffin-embedded Human stomach cancer with IRF4 antibody diluted at 1:100
| 英文名称 | Anti-IRF4 Polyclonal Antibody |
| 宿主 | Rabbit |
| 别名 | interferon regulatory factor 4; IRF 4; IRF4; LSIRF; Multiple myeloma oncogene 1; MUM1; NF EM5 |
| 稀释比例 | WB 1:1000-1:3000. IHC 1:50-200. |
| 蛋白分子量 | 52kDa |
| Gene ID | 3662 |
| 保存 | Store at -20°C. Avoid freeze / thaw cycles. |
| 储存液 | Buffer: PBS with 0.03% Proclin300, 50% glycerol, pH7.3. |
| 纯化方法 | Affinity purification |
| 亚型 | IgG |
| 免疫原 | Recombinant protein of human IRF4 |
| 亚细胞定位 | Cytoplasm Nucleus |
| Swiss Prot | Q15306 |
| 背景资料 | The protein encoded by this gene belongs to the IRF (interferon regulatory factor) family of transcription factors, characterized by an unique tryptophan pentad repeat DNA-binding domain. The IRFs are important in the regulation of interferons in response to infection by virus, and in the regulation of interferon-inducible genes. This family member is lymphocyte specific and negatively regulates Toll-like-receptor (TLR) signaling that is central to the activation of innate and adaptive immune systems. A chromosomal translocation involving this gene and the IgH locus, t(6;14)(p25;q32), may be a cause of multiple myeloma. Alternatively spliced transcript variants have been found for this gene. |
| Public Immunogen Range | 1-451aa |
| 克隆类型 | Polyclonal Antibody |
| 交叉反应 | Human Mouse |
| 应用 | WB IHC |
| 规格 | 50ul 100ul |
备注:
以上数据均来自公开文献, Solarbio暂未进行独立验证, 仅供参考。
These protocols are for reference only. Solarbio does not independently validate these methods.
实验图
Western blot analysis with IRF4 antibody diluted at 1:2000;Lane: Raji,A431,Mouse lung,Mouse spleen
Immunohistochemistry of paraffin-embedded Human colorectal cancer with IRF4 antibody diluted at 1:100
Immunohistochemistry of paraffin-embedded Human stomach cancer with IRF4 antibody diluted at 1:100
风险提示:丁香通仅作为第三方平台,为商家信息发布提供平台空间。用户咨询产品时请注意保护个人信息及财产安全,合理判断,谨慎选购商品,商家和用户对交易行为负责。对于医疗器械类产品,请先查证核实企业经营资质和医疗器械产品注册证情况。
技术资料暂无技术资料 索取技术资料
Anti-IRF4 Polyclonal Antibody
¥960 - 1600









