相关产品推荐更多 >
万千商家帮你免费找货
0 人在求购买到急需产品
- 详细信息
- 技术资料
- 亚型:
IgG
- 形态:
液体
- 保存条件:
Store at -20°C. Avoid freeze / thaw cycles.
- 克隆性:
Polyclonal Antibody
- 标记物:
Cytoplasm
- 适应物种:
Human Mouse Rat
- 保质期:
现询客服
- 抗原来源:
现询客服
- 库存:
99
- 供应商:
北京索莱宝科技有限公司
- 宿主:
Rabbit
- 应用范围:
IHC
- 浓度:
现询客服
- 靶点:
NIPSNAP3A
- 抗体英文名:
Anti-NIPSNAP3A Polyclonal Antibody
- 抗体名:
HSPC299, NIPSNAP3A, NIPSNAP4, Protein NipSnap homolog 3A, Protein NipSnap homolog 4, TASSC
- 规格:
50ul/100ul
| 规格: | 50ul | 产品价格: | ¥960.0 |
|---|---|---|---|
| 规格: | 100ul | 产品价格: | ¥1600.0 |
产品简介
| 英文名称 | Anti-NIPSNAP3A Polyclonal Antibody |
| 宿主 | Rabbit |
| 别名 | HSPC299; NIPSNAP3A; NIPSNAP4; Protein NipSnap homolog 3A; Protein NipSnap homolog 4; TASSC |
| 稀释比例 | IHC 1:50-200. |
| 蛋白分子量 | 28kDa |
| Gene ID | 25934 |
| 保存 | Store at -20°C. Avoid freeze / thaw cycles. |
| 储存液 | Buffer: PBS with 0.03% Proclin300, 50% glycerol, pH7.3. |
| 纯化方法 | Affinity purification |
| 亚型 | IgG |
| 免疫原 | Recombinant protein of human NIPSNAP3A |
| 亚细胞定位 | Cytoplasm |
| Swiss Prot | Q9UFN0 |
| 背景资料 | NIPSNAP3A belongs to a family of proteins with putative roles in vesicular transport (Buechler et al., 2004 [PubMed 15177564]). |
| Public Immunogen Range | 1-247aa |
| 克隆类型 | Polyclonal Antibody |
| 交叉反应 | Human Rat Mouse |
| 应用 | IHC |
| 规格 | 50ul 100ul |
备注:
以上数据均来自公开文献, Solarbio暂未进行独立验证, 仅供参考。
These protocols are for reference only. Solarbio does not independently validate these methods.
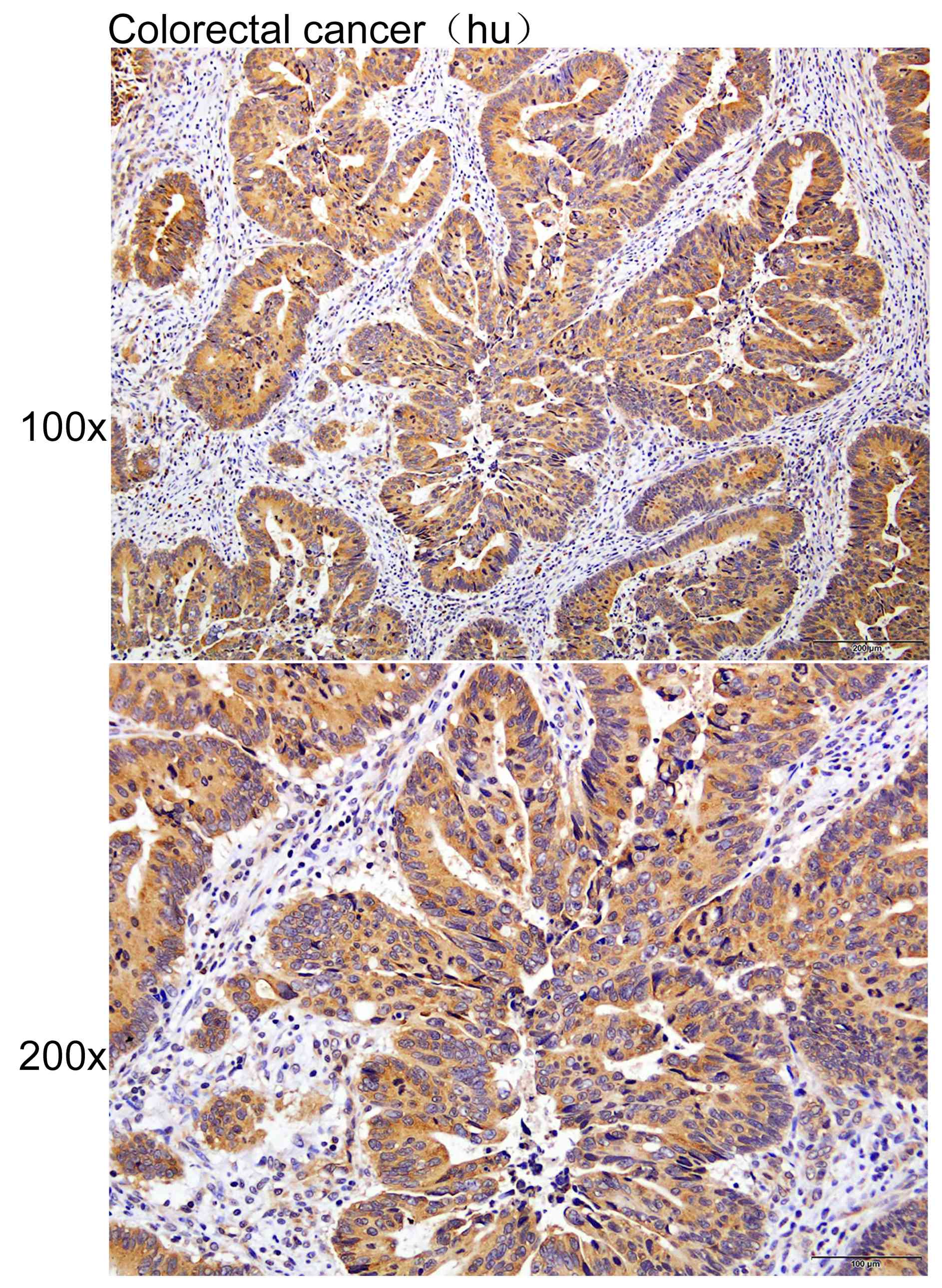
实验图
Immunohistochemistry of paraffin-embedded Human colorectal cancer with NIPSNAP3A antibody diluted at 1:100
风险提示:丁香通仅作为第三方平台,为商家信息发布提供平台空间。用户咨询产品时请注意保护个人信息及财产安全,合理判断,谨慎选购商品,商家和用户对交易行为负责。对于医疗器械类产品,请先查证核实企业经营资质和医疗器械产品注册证情况。
技术资料暂无技术资料 索取技术资料
Anti-NIPSNAP3A Polyclonal Antibody
¥960 - 1600








