相关产品推荐更多 >
万千商家帮你免费找货
0 人在求购买到急需产品
- 详细信息
- 技术资料
- 亚型:
IgG
- 形态:
液体
- 保存条件:
Store at -20°C. Avoid freeze / thaw cycles.
- 克隆性:
Polyclonal Antibody
- 标记物:
Cell membrane Cytoplasm
- 适应物种:
Human Mouse
- 保质期:
现询客服
- 抗原来源:
现询客服
- 库存:
99
- 供应商:
北京索莱宝科技有限公司
- 宿主:
Rabbit
- 应用范围:
IHC
- 浓度:
现询客服
- 靶点:
SPRY2
- 抗体名:
SPRY2;IGAN3;hSPRY2;protein sprouty homolog 2
- 规格:
50ul/100ul
| 规格: | 50ul | 产品价格: | ¥960.0 |
|---|---|---|---|
| 规格: | 100ul | 产品价格: | ¥1600.0 |
产品简介
备注:
以上数据均来自公开文献, Solarbio暂未进行独立验证, 仅供参考。
These protocols are for reference only. Solarbio does not independently validate these methods.
实验图
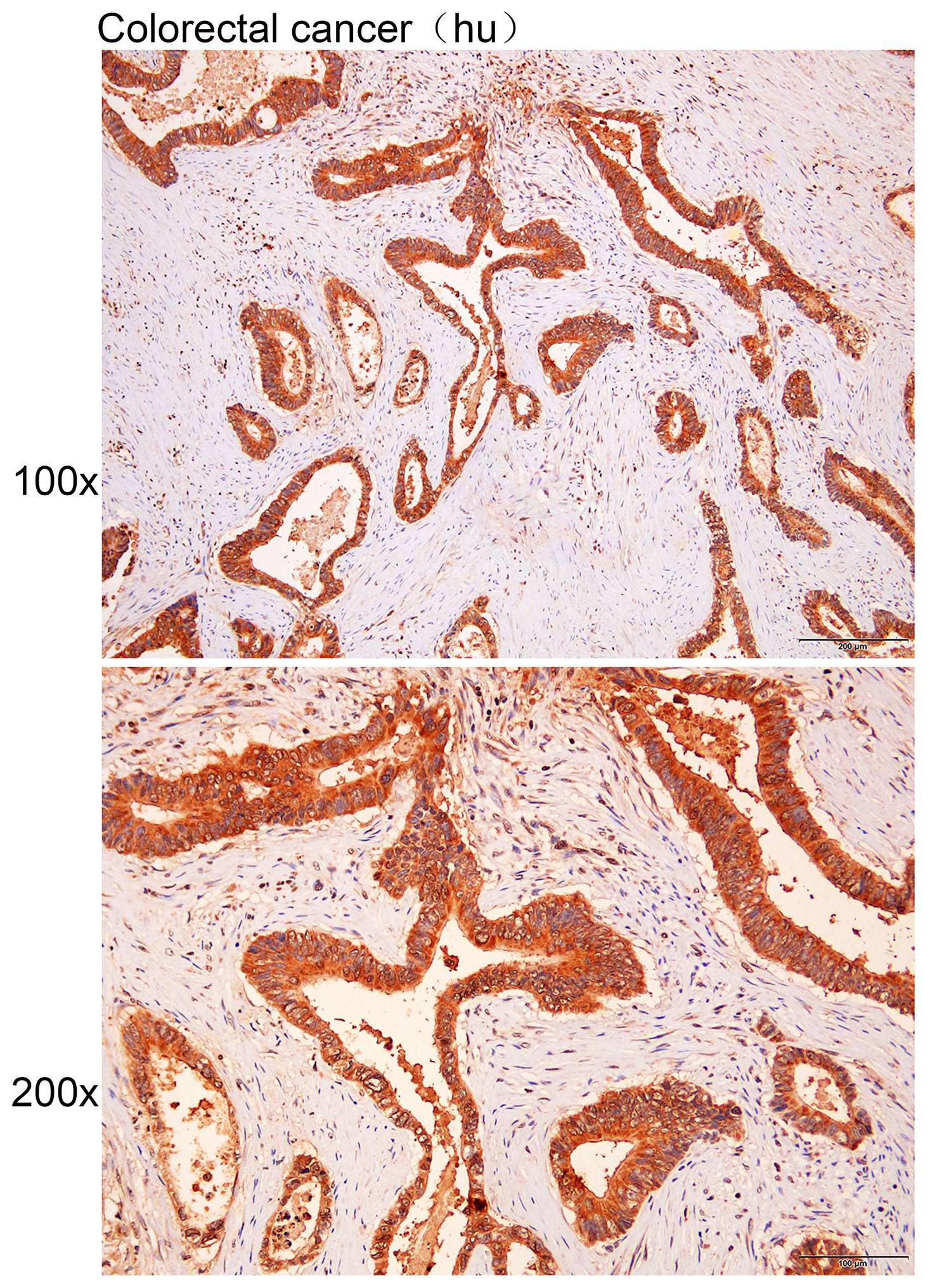
Immunohistochemistry of paraffin-embedded Human colorectal cancer tissue with SPRY2 antibody
| 英文名称 | Anti-SPRY2 Polyclonal Antibody |
| 宿主 | Rabbit |
| 别名 | SPRY2;IGAN3;hSPRY2;protein sprouty homolog 2 |
| 稀释比例 | IHC 1:50-200. |
| 蛋白分子量 | 35kDa |
| Gene ID | 10253 |
| 保存 | Store at -20°C. Avoid freeze / thaw cycles. |
| 储存液 | Buffer: PBS with 0.03% Proclin300, 50% glycerol, pH7.3. |
| 纯化方法 | Octanoic acid-ammonium sulfate precipitation |
| 亚型 | IgG |
| 免疫原 | A synthetic peptide of human SPRY2 |
| Swiss Prot | O43597 |
| 背景资料 | This gene encodes a protein belonging to the sprouty family. The encoded protein contains a carboxyl-terminal cysteine-rich domain essential for the inhibitory activity on receptor tyrosine kinase signaling proteins and is required for growth factor stimulated translocation of the protein to membrane ruffles. In primary dermal endothelial cells this gene is transiently upregulated in response to fibroblast growth factor two. This protein is indirectly involved in the non-cell autonomous inhibitory effect on fibroblast growth factor two signaling. The protein interacts with Cas-Br-M (murine) ectropic retroviral transforming sequence, and can function as a bimodal regulator of epidermal growth factor receptor/mitogen-activated protein kinase signaling. This protein may play a role in alveoli branching during lung development as shown by a similar mouse protein. |
| Public Immunogen Range | 45-95/315aa |
| 克隆类型 | Polyclonal Antibody |
| 交叉反应 | Human Mouse |
| 应用 | IHC |
| 规格 | 50ul 100ul |
备注:
以上数据均来自公开文献, Solarbio暂未进行独立验证, 仅供参考。
These protocols are for reference only. Solarbio does not independently validate these methods.
实验图
Immunohistochemistry of paraffin-embedded Human colorectal cancer tissue with SPRY2 antibody
风险提示:丁香通仅作为第三方平台,为商家信息发布提供平台空间。用户咨询产品时请注意保护个人信息及财产安全,合理判断,谨慎选购商品,商家和用户对交易行为负责。对于医疗器械类产品,请先查证核实企业经营资质和医疗器械产品注册证情况。
技术资料暂无技术资料 索取技术资料
Anti-SPRY2 Polyclonal Antibody
¥960 - 1600








