相关产品推荐更多 >
万千商家帮你免费找货
0 人在求购买到急需产品
- 详细信息
- 文献和实验
- 技术资料
- 品系:
人
- 细胞类型:
肝细胞
- 肿瘤类型:
人肝星形细胞
- 供应商:
澳音生物
- 库存:
1×10^6
- 英文名:
LX-2【Lieming Xu-2】
- 生长状态:
贴壁
- 年限:
无限
- 运输方式:
复苏发货或干冰冷冻发货
- 器官来源:
肝脏
- 是否是肿瘤细胞:
人肝星形细胞
- 细胞形态:
上皮样
- 免疫类型:
人肝星形细胞
- 物种来源:
人
- 相关疾病:
人肝星形细胞
- 组织来源:
肝脏
- 规格:
T25
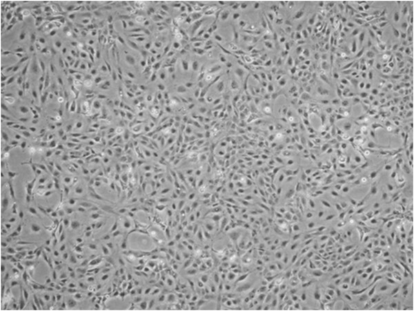
以上产品图片均为本公司细胞出入库时拍摄
培养条件:RPMI-1640( 添加NaHCO3 1.5g/L, glucose 2.5g/L, Sodium Pyruvate 0.11g/L),90%;胎牛血清,10%。 气相:空气,95%;二氧化碳,5%。 温度:37摄氏度。
细胞描述:LX-2是用SV40大T抗原转染原代人肝星状细胞得到的,然后在低血清培养基中选择性培养早期的传代细胞。
仅供研究之用。
STR位点信息:
Millipore参考图片:
收到货后处理方式:
1.细胞冻存管: 收到货物后,请检查箱子里面是否还有干冰。
● 若干冰已剩余不多,不能掩埋冻存管,请及时拍照,并第一时间联系销售。
● 若干冰充裕,可以安排复苏细胞,复苏方法参考【说明书】;不安排复苏,请将细胞冻存管转移到液氮进行保存。短期(一周内)的存放可以放在-80冰箱,建议最好保存在液氮中。
2.培养瓶的活细胞: 收到请检查培养瓶是否完好,是否有漏液,培养基是否浑浊
●若出现以上问题请于当天和我们销售取得联系,我们会第一时间为您处理。
● 若以上问题都没有出现:拆掉培养瓶的外包装,在显微镜下对细胞进行多个视野,不同倍镜拍照。然后用酒精对瓶身进行彻底消毒,放在37度二氧化碳培养箱中进行复温。1-2小时后,拿出在显微镜下观察,并进行多个视野不同倍镜拍照。若细胞达到了可以传代的密度,请按照【说明书】的传代方法进行操作。若细胞密度不能进行传代,请回收培养瓶中的培养基,留适量培养基在瓶中,并将培养瓶放在培养箱继续培养即可(个别细胞除外,详见说明书)
仅供研究之用
联系我们:
风险提示:丁香通仅作为第三方平台,为商家信息发布提供平台空间。用户咨询产品时请注意保护个人信息及财产安全,合理判断,谨慎选购商品,商家和用户对交易行为负责。对于医疗器械类产品,请先查证核实企业经营资质和医疗器械产品注册证情况。
文献和实验xuquan897 求教一个关于测序的问题:我的大概1000bp左右的质粒拿去测序公司做正反向测序,结果正向测的很好,而反向给的报告是双峰,结果见下图,不知道是什么原因呢?请教各位高手。多谢多谢! [img]file:///C:\Documents and Settings\yuanyuan.xu\Application Data\Tencent\Users\183410312\QQ\WinTemp\RichOle\%`GN))OT@@(C
Education: 2001.1 Ph.D. Institute of Genetics, Fudan University, China Dissertation director: Tian XU, Ph.D. 1995.7 B.S
Adv Sci∣周祥团队合作揭示通过工程化外泌体诱导肿瘤细胞核仁应激的分子机制与策略
研究员,南昌大学基础医学院陈加祥教授和南昌大学第一附属医院邓军主任医师为论文的共同通讯作者。复旦大学附属肿瘤医院甘雨博士、郝茜博士和新乡医学院健康中原研究院韩涛教授为论文共同第一作者。该工作还得到了宇玫博生物的大力支持。 文献原文: 【1】Gan Y, Hao Q, Han T, Tong J, Yan Q, Zhong H, Gao B, Li Y, Xuan Z, Li P, Yao L, Xu Y, Jiang YZ, Shao ZM, Deng J, Chen J, Zhou X






![NSC-34[NSC34,nsc34]小鼠神经元细胞](https://img1.dxycdn.com/2021/0530/832/9530349735737104843-14.jpg!wh200)
![HCT-116-LUC-RFP-Puro[HCT116-LUC;HCT116-RFP]萤火虫荧光素酶标记的人结肠癌细胞](https://img1.dxycdn.com/2022/1018/945/7818273597392687753-14.jpg!wh200)
![QGP-1[QGP 1; QGP1]人胰腺癌细胞](https://img1.dxycdn.com/2022/1027/439/5352350681602459753-14.jpg!wh200)


