相关产品推荐更多 >
万千商家帮你免费找货
0 人在求购买到急需产品
- 详细信息
- 文献和实验
- 技术资料
- 免疫原:
KLH conjugated synthetic peptide derived from human CASP1
- 亚型:
IgG
- 形态:
冻干粉
- 保存条件:
Store at -20°C. Avoid freeze / thaw cycles.
- 克隆性:
单克隆
- 标记物:
现询
- 适应物种:
Human Mouse Rat
- 保质期:
现询
- 抗原来源:
KLH conjugated synthetic peptide derived from human CASP1
- 目录编号:
K009718P
- 级别:
详询
- 库存:
999
- 供应商:
北京索莱宝科技有限公司
- 宿主:
Rabbit
- 应用范围:
WB ELISA IHC-P IHC-F Flow-Cyt IF
- 浓度:
WB 1:500-2000. ELISA 1:500-1000. IHC-P 1:100-500. IHC-F 1:100-500. Flow-Cyt 1ug/Test. IF 1:100-500.
- 靶点:
CASP1
- 抗体英文名:
Anti-CASP1 Polyclonal Antibody
- 抗体名:
CASP 1;CASP1;Caspase 1 apoptosis related cysteine peptidase;Caspase 1 apoptosis related cysteine protease;Caspase1;ICE;IL 1 beta converting enzyme;IL 1BC;IL1B convertase;IL1BC;IL1BCE
- 规格:
50ul/100ul
| 规格: | 50ul | 产品价格: | ¥2000.0 |
|---|---|---|---|
| 规格: | 100ul | 产品价格: | ¥3500.0 |
产品简介
|
英文名称
|
Anti-CASP1 Polyclonal Antibody
|
|
中文名称
|
胱天蛋白酶1抗体
|
|
靶标
|
CASP1
|
|
别名
|
CASP 1,CASP1,Caspase 1 apoptosis related cysteine peptidase,Caspase 1 apoptosis related cysteine protease,Caspase1,ICE,IL 1 beta converting enzyme,IL 1BC,IL1B convertase,IL1BC,IL1BCE,p45, Caspase-1 subunit p10
|
|
背景资料
|
Thiol protease that cleaves IL-1 beta between an Asp and an Ala, releasing the mature cytokine which is involved in a variety of inflammatory processes. Important for defense against pathogens. Cleaves and activates sterol regulatory element binding proteins (SREBPs). Can also promote apoptosis.
|
|
Swiss Prot
|
P29466
|
|
Gene ID
|
834
|
|
亚细胞定位
|
Cytoplasm
|
|
宿主
|
Rabbit
|
|
克隆类型
|
Polyclonal Antibody
|
|
亚型
|
IgG
|
|
交叉反应
|
Mouse ; Human
|
|
预测交叉反应
|
Rat
|
|
蛋白分子量
|
45/43/35/30/10kDa
|
|
应用
|
ELISA ; FCM ; IF ; IHC ; WB
|
|
稀释比例
|
WB 1:500-2000. ELISA 1:5000-10000. IHC 1:100-500. FCM 1ug/Test. IF 1:100-500.
|
|
免疫原
|
A synthetic peptide of human CASP1
|
|
Public Immunogen Range
|
320-404/404aa
|
|
纯化方法
|
Affinity purification
|
|
储存液
|
Buffer: 0.01M TBS(pH7.4) with 1% BSA, 0.03% Proclin300 and 50% Glycerol.
|
|
保存
|
Store at -20℃. Avoid freeze / thaw cycles.
|
|
规格
|
50ul ; 100ul
|
|
单位
|
支
|
These protocols are for reference only. Solarbio does not independently validate these methods.
Quick spin before use. If you have any questions, please contact us.
实验图
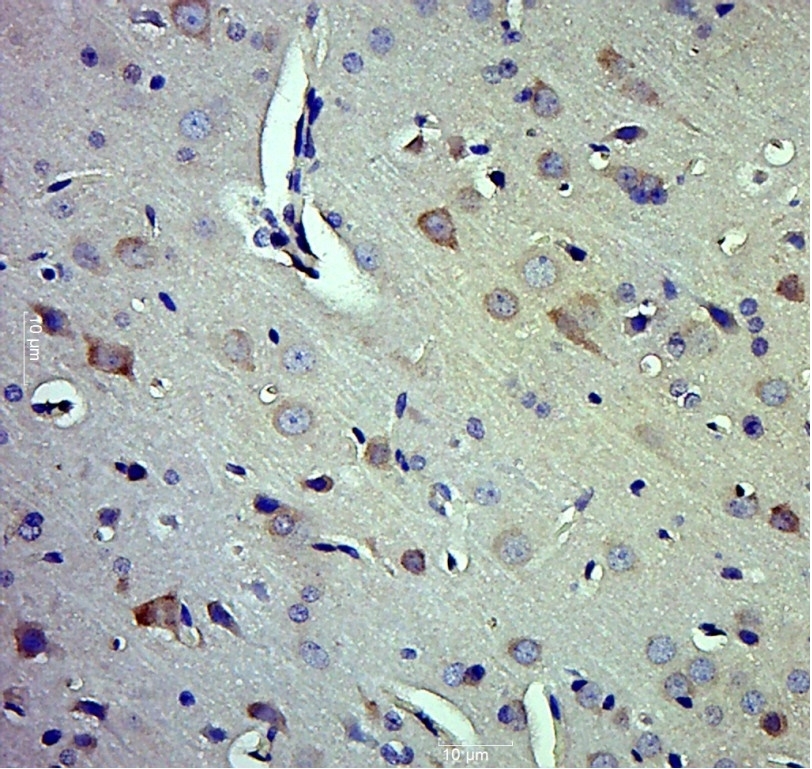
Immunohistochemistry of paraffin-embedded Rat brain with CASP1 antibody diluted at 1:300
Immunohistochemistry of paraffin-embedded Mouse brain with Caspase-1 P10 antibody diluted at 1:500.
Thiol protease that cleaves IL-1 beta between an Asp and an Ala, releasing the mature cytokine which is involved in a variety of inflammatory processes. Important for defense against pathogens. Cleaves and activates sterol regulatory element binding proteins (SREBPs). Can also promote apoptosis.
风险提示:丁香通仅作为第三方平台,为商家信息发布提供平台空间。用户咨询产品时请注意保护个人信息及财产安全,合理判断,谨慎选购商品,商家和用户对交易行为负责。对于医疗器械类产品,请先查证核实企业经营资质和医疗器械产品注册证情况。
文献和实验Polyclonal Antibody Production
, if desired this is best accomplished by Protein A Affinity Chromatography. 上一篇:make an Antibody against a Peptides 下一篇:Immunization Protocol for Monoclonal Antibody Production
Polyclonal Antibody Production
Polyclonal Antibody Production Very useful for rapid and simple generation of antibodies for western blots, ELISA assays, and immunoprecipitation. Rabbit Immunization Initial Preparation Your antigen
a simple ELISA method to detect human anti-antibody response.












