万千商家帮你免费找货
0 人在求购买到急需产品
- 详细信息
- 技术资料
- 亚型:
IgG
- 形态:
说明书
- 保存条件:
Store at -20 °C
- 克隆性:
多克隆
- 库存:
100
- 供应商:
上海研生
- 应用范围:
公司产品仅用于科研
- 浓度:
1mg/1ml
- 抗体英文名:
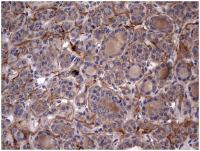
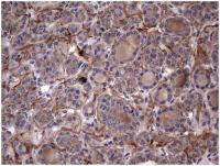
XBP-1s Antibody
- 抗体名:
XBP-1s Antibody
- 规格:
100 ul
XBP-1s Antibody我司可为客户提供:
(1)多种抗体纯化服务,如硫酸铵纯化、Protein A/G纯化、抗原亲和纯化等;
(2)提供抗体标记服务,包括生物素标记、荧光素标记、酶标记等;
(3)多种免疫检测分析 技术服务:酶联免疫吸附实验(ELISA),免疫印迹(WB),免疫沉淀(IP)和免疫组化(IHC)等。
CLEC1/CLEC1A 规格: 0.2ml
γ干扰素诱导单核细胞因子抗体 英文名称: CXCL9/MIG 规格: 0.1ml
血小板因子4抗体 英文名称: CXCL4/PF4 规格: 0.1ml
血小板趋化因子7蛋白抗体 英文名称: CXCL7/NAP-2/PPBP 规格: 0.1ml
干扰素诱导T细胞趋化因子抗体 英文名称: CXCL11 规格: 0.2ml
B-淋巴细胞趋化因子抗体 英文名称: CXCL13/BCA1 规格: 0.1ml
凋亡加强结构域蛋白12抗体 英文名称: CARD12 规格: 0.1ml
凋亡加强结构域蛋白14抗体 英文名称: CARD14 规格: 0.2ml
肌酸激酶M型抗体 英文名称: Creatine Kinase MM 规格: 0.1ml
NK细胞受体BY55抗体 英文名称: CD160/By55 规格: 0.2ml
CD229抗体 英文名称: CD229 规格: 0.2ml
凝集胎盘蛋白1抗体 英文名称: COLEC12 规格: 0.2ml
活化诱导分子CD69抗体 英文名称: CD69 规格: 0.1ml
CD74抗体 英文名称: CD74/MHC II 规格: 0.1ml
CD83抗体 英文名称: CD83 规格: 0.1ml
CD84抗体 英文名称: CD84/SLAMF5 规格: 0.1ml
上皮中性粒细胞活化肽78抗体 英文名称: CXCL5 规格: 0.1ml
CD97抗体 英文名称: CD97 规格: 0.1ml
CD99抗体 英文名称: CD99/E2 antigen 规格: 0.1ml
CD151抗体 英文名称: CD151 规格: 0.1ml
脊髓灰质炎病毒受体抗体 英文名称: CD155/PVR 规格: 0.1ml
趋化因子CXCL15抗体 英文名称: CXCL15/Lungkine 规格: 0.2ml
CD163抗体 英文名称: CD163/M130 规格: 0.1ml
癌胚抗原相关细胞粘附分子1抗体 英文名称: CD66a 规格: 0.2ml
趋化样因子受体1抗体 英文名称: CMKLR1 规格: 0.1ml
造血干细胞抗原CD133抗体 英文名称: CD133 规格: 0.1ml
G蛋白偶联受体相互作用蛋白1抗体(补体Clq TNF相关蛋白1) 英文名称: CTRP1 规格: 0.2ml
心肌营养素1抗体 英文名称: CT-1/CTF1 规格: 0.1ml
C型凝集素结构域家族1成员B抗体 英文名称: CLEC2/CLEC1B 规格: 0.2ml
阳离子通道精子相关蛋白β亚基抗体 英文名称:抗体的鉴定:
1)抗体的效价鉴定:鉴定效价的方法很多,包括有试管凝集反应,琼脂扩散试验,酶联免疫吸附试验等。常用的抗原所制备的抗体一般都有约成的鉴定效价的方法,以资比较。如制备抗抗体的效价,一般就采用琼脂扩散试验来鉴定。
2)抗体的特异性鉴定:抗体的特异性是指与相应抗原或近似抗原物质的识别能力。抗体的特异性高,它的识别能力就强。衡量特异性通常以交叉反应率来表示。交叉反应率可用竞争抑制试验测定。以不同浓度抗原和近似抗原分别做竞争抑制曲线,计算各自的结合率,求出各自在IC50时的浓度,并按公式计算交叉反应率。
3)真核翻译起始因子2C2抗体的亲和力:是指抗体和抗原结合的牢固程度。亲和力的高低是由抗原分子的大小,抗体分子的结合位点与抗原决定簇之间立体构型的合适度决定的。有助于维持抗原抗体复合物稳定的分子间力有氢键,疏水键,侧链相反电荷基因的库仑力,范德华力和空间斥力。亲和力常以亲和常数K表示,K的单位是L/mol。
XBP-1s Antibody我司提供以下技术外包服务:
♈.分子生物学:质粒抽提、PCR、Q-PCR、RT-PCR、分子
生物学:基因合成、引物合成、基因测序、载体构建等√ ♈.蛋白工程:原核、哺乳动物蛋白表达系统等√
♈.病毒包装:腺病毒、慢病毒等√
♈.抗体工程:磁珠分选、病理染色、WB、ELISA、IP、IF、IHC、FACS、Confocal等等√
♈.细胞工程:细胞表型分析(凋亡、增殖、周期、迁移、侵袭、修复、克隆形成)、细胞培养、细胞膜制备、稳定细胞株构建、细胞RNAi技术等√
抗体的鉴定:
1)抗体的效价鉴定:鉴定效价的方法很多,包括有试管凝集反应,琼脂扩散试验,酶联免疫吸附试验等。常用的抗原所制备的抗体一般都有约成的鉴定效价的方法,以资比较。如制备抗抗体的效价,一般就采用琼脂扩散试验来鉴定。
2)抗体的特异性鉴定:抗体的特异性是指与相应抗原或近似抗原物质的识别能力。抗体的特异性高,它的识别能力就强。衡量特异性通常以交叉反应率来表示。交叉反应率可用竞争抑制试验测定。以不同浓度抗原和近似抗原分别做竞争抑制曲线,计算各自的结合率,求出各自在IC50时的浓度,并按公式计算交叉反应率。
3)真核翻译起始因子2C2抗体的亲和力:是指抗体和抗原结合的牢固程度。亲和力的高低是由抗原分子的大小,抗体分子的结合位点与抗原决定簇之间立体构型的合适度决定的。有助于维持抗原抗体复合物稳定的分子间力有氢键,疏水键,侧链相反电荷基因的库仑力,范德华力和空间斥力。亲和力常以亲和常数K表示,K的单位是L/mol。
(1)多种抗体纯化服务,如硫酸铵纯化、Protein A/G纯化、抗原亲和纯化等;
(2)提供抗体标记服务,包括生物素标记、荧光素标记、酶标记等;
(3)多种免疫检测分析 技术服务:酶联免疫吸附实验(ELISA),免疫印迹(WB),免疫沉淀(IP)和免疫组化(IHC)等。
CLEC1/CLEC1A 规格: 0.2ml
γ干扰素诱导单核细胞因子抗体 英文名称: CXCL9/MIG 规格: 0.1ml
血小板因子4抗体 英文名称: CXCL4/PF4 规格: 0.1ml
血小板趋化因子7蛋白抗体 英文名称: CXCL7/NAP-2/PPBP 规格: 0.1ml
干扰素诱导T细胞趋化因子抗体 英文名称: CXCL11 规格: 0.2ml
B-淋巴细胞趋化因子抗体 英文名称: CXCL13/BCA1 规格: 0.1ml
凋亡加强结构域蛋白12抗体 英文名称: CARD12 规格: 0.1ml
凋亡加强结构域蛋白14抗体 英文名称: CARD14 规格: 0.2ml
肌酸激酶M型抗体 英文名称: Creatine Kinase MM 规格: 0.1ml
NK细胞受体BY55抗体 英文名称: CD160/By55 规格: 0.2ml
CD229抗体 英文名称: CD229 规格: 0.2ml
凝集胎盘蛋白1抗体 英文名称: COLEC12 规格: 0.2ml
活化诱导分子CD69抗体 英文名称: CD69 规格: 0.1ml
CD74抗体 英文名称: CD74/MHC II 规格: 0.1ml
CD83抗体 英文名称: CD83 规格: 0.1ml
CD84抗体 英文名称: CD84/SLAMF5 规格: 0.1ml
上皮中性粒细胞活化肽78抗体 英文名称: CXCL5 规格: 0.1ml
CD97抗体 英文名称: CD97 规格: 0.1ml
CD99抗体 英文名称: CD99/E2 antigen 规格: 0.1ml
CD151抗体 英文名称: CD151 规格: 0.1ml
脊髓灰质炎病毒受体抗体 英文名称: CD155/PVR 规格: 0.1ml
趋化因子CXCL15抗体 英文名称: CXCL15/Lungkine 规格: 0.2ml
CD163抗体 英文名称: CD163/M130 规格: 0.1ml
癌胚抗原相关细胞粘附分子1抗体 英文名称: CD66a 规格: 0.2ml
趋化样因子受体1抗体 英文名称: CMKLR1 规格: 0.1ml
造血干细胞抗原CD133抗体 英文名称: CD133 规格: 0.1ml
G蛋白偶联受体相互作用蛋白1抗体(补体Clq TNF相关蛋白1) 英文名称: CTRP1 规格: 0.2ml
心肌营养素1抗体 英文名称: CT-1/CTF1 规格: 0.1ml
C型凝集素结构域家族1成员B抗体 英文名称: CLEC2/CLEC1B 规格: 0.2ml
阳离子通道精子相关蛋白β亚基抗体 英文名称:抗体的鉴定:
1)抗体的效价鉴定:鉴定效价的方法很多,包括有试管凝集反应,琼脂扩散试验,酶联免疫吸附试验等。常用的抗原所制备的抗体一般都有约成的鉴定效价的方法,以资比较。如制备抗抗体的效价,一般就采用琼脂扩散试验来鉴定。
2)抗体的特异性鉴定:抗体的特异性是指与相应抗原或近似抗原物质的识别能力。抗体的特异性高,它的识别能力就强。衡量特异性通常以交叉反应率来表示。交叉反应率可用竞争抑制试验测定。以不同浓度抗原和近似抗原分别做竞争抑制曲线,计算各自的结合率,求出各自在IC50时的浓度,并按公式计算交叉反应率。
3)真核翻译起始因子2C2抗体的亲和力:是指抗体和抗原结合的牢固程度。亲和力的高低是由抗原分子的大小,抗体分子的结合位点与抗原决定簇之间立体构型的合适度决定的。有助于维持抗原抗体复合物稳定的分子间力有氢键,疏水键,侧链相反电荷基因的库仑力,范德华力和空间斥力。亲和力常以亲和常数K表示,K的单位是L/mol。
XBP-1s Antibody我司提供以下技术外包服务:
♈.分子生物学:质粒抽提、PCR、Q-PCR、RT-PCR、分子
生物学:基因合成、引物合成、基因测序、载体构建等√ ♈.蛋白工程:原核、哺乳动物蛋白表达系统等√
♈.病毒包装:腺病毒、慢病毒等√
♈.抗体工程:磁珠分选、病理染色、WB、ELISA、IP、IF、IHC、FACS、Confocal等等√
♈.细胞工程:细胞表型分析(凋亡、增殖、周期、迁移、侵袭、修复、克隆形成)、细胞培养、细胞膜制备、稳定细胞株构建、细胞RNAi技术等√
抗体的鉴定:
1)抗体的效价鉴定:鉴定效价的方法很多,包括有试管凝集反应,琼脂扩散试验,酶联免疫吸附试验等。常用的抗原所制备的抗体一般都有约成的鉴定效价的方法,以资比较。如制备抗抗体的效价,一般就采用琼脂扩散试验来鉴定。
2)抗体的特异性鉴定:抗体的特异性是指与相应抗原或近似抗原物质的识别能力。抗体的特异性高,它的识别能力就强。衡量特异性通常以交叉反应率来表示。交叉反应率可用竞争抑制试验测定。以不同浓度抗原和近似抗原分别做竞争抑制曲线,计算各自的结合率,求出各自在IC50时的浓度,并按公式计算交叉反应率。
3)真核翻译起始因子2C2抗体的亲和力:是指抗体和抗原结合的牢固程度。亲和力的高低是由抗原分子的大小,抗体分子的结合位点与抗原决定簇之间立体构型的合适度决定的。有助于维持抗原抗体复合物稳定的分子间力有氢键,疏水键,侧链相反电荷基因的库仑力,范德华力和空间斥力。亲和力常以亲和常数K表示,K的单位是L/mol。
风险提示:丁香通仅作为第三方平台,为商家信息发布提供平台空间。用户咨询产品时请注意保护个人信息及财产安全,合理判断,谨慎选购商品,商家和用户对交易行为负责。对于医疗器械类产品,请先查证核实企业经营资质和医疗器械产品注册证情况。
技术资料暂无技术资料 索取技术资料
XBP-1s Antibody
询价









