万千商家帮你免费找货
0 人在求购买到急需产品
- 详细信息
- 询价记录
- 文献和实验
- 技术资料
- 亚型:
IgG
- 形态:
说明书
- 保存条件:
Store at -20 °C
- 库存:
100
- 供应商:
上海研生
- 应用范围:
公司产品仅用于科研
- 浓度:
1mg/1ml
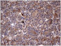
- 抗体英文名:
Cleaved Caspase-1 (Asp296) Antibody
- 抗体名:
Cleaved Caspase-1 (Asp296) Antibody
- 规格:
100 ul
a.提取的动物 Ig
b.弗氏完全佐剂和弗氏不完全佐剂
c.青霉素和链霉素
d.实验动物 兔
e.其它材料及试剂
2、选择实验活体。
3、进行动物免疫实验。
4、试取血样进行测试,查看免疫效果。
5、如果免疫成功,杀死实验活体,采集全部血清。
6、纯化出抗体。
7、鉴定抗体。胎牛血清(无菌采制)
抗体的制备过程:
1. 免疫原的制备 普通的大分子蛋白,通过分子克隆构建载体并在大肠杆菌中进行诱导表达获得重组蛋白,纯化鉴定后可直接作为免疫原。 小分子蛋白或化合物等分子量小,需要偶联载体对该分子进行改造才能使其成为具有免疫原性的抗原,常见偶联载体如BSA、OVA、HAS等。
2. 免疫动物
常用于制备抗血清的动物有豚鼠、家兔、鸡、大小鼠等,大量时需要用到狗、绵羊、山羊等。
3. 免疫血清的收集
一般家兔、绵羊、山羊可采用静动脉采血,家兔、豚鼠、大鼠、鸡可采用心脏采血,家兔、山羊、绵羊可采用静脉采血。
4. 免疫血清的纯化与鉴定
得到的抗血清需要进一步的纯化,利用偶联了抗原的亲和柱进行层析,具有高效,特异性强,纯度高的特定。接着要鉴定纯化蛋白的含量、相对分子的质量、纯度以及特异性。
5. 免疫血清的保存
建议将抗体分装后进行保存。抗体一般比较稳定,在-80℃ ~-20 ℃可以保存约5年而不会影响效价,而真空干燥保存时间可以更久。保存前需经除菌并添加防腐剂。
抗体的生活习性:
(1)结合特异性抗原:抗体与其他免疫球蛋白分子区别,就在于抗体能与相应抗原发生特异性结合,在体内导致生理或病理效应;在体外产生各种直接或间接的可见的抗原抗体结合反应。抗体是靠其分子上的特殊的结合部位与抗原结合的。
(2)激活补体:抗体与相应抗原结合后,借助暴露的补体结合点去激活补体系统、激发补体的溶菌、溶细胞等免疫作用。
(3)结合细胞:不同类别的免疫球蛋白,可结合不同种的细胞,产生不同的疚,参与免疫应答。
(4)可通过胎盘及粘膜:免疫球蛋白G(IgG)能通过胎盘进入胎儿血流中,使胎儿形成自然被动免疫。免疫球蛋白A(IgA)可通过消化道及呼吸道粘膜,是粘膜局部抗感染免疫的主要因素。
(5)具有抗原性:抗体分子是一种蛋白质,也具有刺激机体产生免疫应答的性能。不同的免疫球蛋白分子,各具有不同的抗原性。
(6)抗体对理化因子的抵抗力与一般球蛋白相同:不耐热,60~70℃即被破坏。各种酶及能使蛋白质凝固变性的物质,均能破坏抗体的作用。抗体可被中性盐类沉淀。在上常可用硫酸铵或硫酸钠从免疫血清中沉淀出含有抗体的球蛋白,再经透析法将其纯化。
一抗和二坑的区别:
第一抗体就是平常所说的抗体,即能和抗原特异性结合。 第二抗体是能和抗体结合的,即抗体的抗体。主要用于检测抗体的存在。
一抗是针对抗原的抗体,二抗是针对一抗的抗体。即抗体也可以充当抗原刺激机体产生抗体。也就是说,抗原进入机体刺激机体免疫系统产生免疫应答,由B细胞可以产生与相应抗原发生特异性结合的特殊蛋白质。
一抗二抗都是一种可以特异结合别的物质的基团,而且一抗可以至少结合两种其他基团(底物和二抗)。
一抗:可以特异结合底物,就是识别出我们想要检测的东西。一抗和底物结合与否用肉眼是看不出来的。
二抗:可以和一抗结合,并带有可以被检测出的标记(如带荧光、放射性、化学发光或显色基团),作用是检测一抗。 如果一抗自己带有可以被检测出的标记(如带荧光、放射性、化学发光或显色基团),则不需要二抗。但这样成本很高,因为一种一抗只识别一种底物。所以如今的设计一般是二抗带上可检测标记,再来检测一抗。而一抗识别底物。这样,当一抗结合到底物上,就可以通过二抗检测出来。
风险提示:丁香通仅作为第三方平台,为商家信息发布提供平台空间。用户咨询产品时请注意保护个人信息及财产安全,合理判断,谨慎选购商品,商家和用户对交易行为负责。对于医疗器械类产品,请先查证核实企业经营资质和医疗器械产品注册证情况。
- 作者
- 内容
- 询问日期
文献和实验Neoepitope Antibodies Against MMP-Cleaved and Aggrecanase-Cleaved Aggrecan
in studies determining the contribution of matrix metalloproteinases (MMPs) and aggrecanases to aggrecanolysis. In particular, an antibody to the A374 RGSV N terminus was instrumental in the landmark discovery of the aggrecanases, ADAMTS-4 and ADAMTS-5
人Caspase-1(Caspase-1)ELISA试剂盒 说明书
人Caspase-1 (Caspase-1)ELISA 试剂盒 ( 用于血清、血浆、细胞培养上清液和其它生物体液内 ) 原理 本实验采用双抗体夹心 ABC-ELISA 法。用抗人 Caspase-1 单抗包被于酶标板上,标准品和样品中的 Caspase-1与单抗结合,加入生物素化的抗人 Caspase-1 ,形成免疫复合物连接在板上,辣根过氧化物酶标记的 Streptavidin 与生物素结合,加入底物工作
monoclonal antibody production fusion
), 3 L, 0.22 (or 0.45) µm-filtered, store at -20ѓC = Asp-Arg x100, 1 L + Gluta x 50, 2 L + mercaptoethanol, 350 µl Asp-Arg x100, 1 L, pH 6.0 = L-Asparagine, 3.6 g (0.24 mM) + L-Arginine (0.55 mM), 11.6 g + HCl, 0.5N, 100 ml -> heat to 37ѓC
技术资料暂无技术资料 索取技术资料









