万千商家帮你免费找货
0 人在求购买到急需产品
- 详细信息
- 技术资料
- 亚型:
IgG
- 形态:
说明书
- 保存条件:
Store at -20 °C
- 库存:
100
- 供应商:
上海研生
- 应用范围:
公司产品仅用于科研
- 浓度:
1mg/1ml
- 抗体英文名:
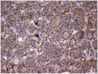
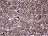
Phospho-GSK-3β (Thr390) Antibody
- 抗体名:
Phospho-GSK-3β (Thr390) Antibody
- 规格:
100 ul
Phospho-GSK-3β (Thr390) Antibody产品特点:
试剂:
1、一抗(应用:IHC-P=1:400-800 IHC-F=1:400-800 )
2、无色试剂:内源性过氧化物酶阻断剂
3、试剂A:封闭用正常山羊血清工作液
4、试剂B:生物素标记二抗工作液:生物素标记羊抗兔IgG
5、试剂C:辣根酶标记链酶卵白素工作液 6、显色液D液 (棕色) 1ml
7、显色液E液(白色)20ml抗原与抗体的关系
①抗体和相应的抗原结合后,可以促进白细胞的吞噬作用而将抗原消除,使抗原失去致病作用。
②一种抗体只能抵抗一种抗原,而且一种抗体只能受相应的抗原刺激后才能形成。
免疫的功能:
免疫具有三方面的功能:
①防御功能:抵抗抗原的侵入、防止疾病的产生。
②自我稳定:清除体内衰老、死亡和损伤的细胞。
③免疫监视:监视、识别和清除体内产生的异常细胞。
特别提醒:过敏反应:当人体抵抗抗原侵入的功能过强时,在过敏原(引起过敏反应的物质,如某些食物、药物)的刺激下,人体就会发生过敏反应。
1.抗体名称容易出错
抗体一般以抗原来命名,名称核对时最简单也最容易犯错,有些蛋白质有不同亚基(HIF-1α、HIF-1β);有些蛋白质有不同磷酸化状态,例如EGFR和p-EGFR的区别,等等。
除了蛋白质的名称外,有其他后缀。
2.多抗和单抗不同
单抗上面介绍过了,而多抗(polyclonal antibodies)一般用兔子、山羊等大型动物,因为多抗是直接从血液中纯化提取出来的,而不像单抗是用细胞培养出来的。
单克隆抗体的优点是产量持续稳定、特异性较高、但灵敏度不如多抗。如果对抗体的特异性要求高,用量较大或需要长期使用一致的抗体,制备的抗体应用要求多(WB/IP/IF/ICC等),可以选择单克隆抗体。
多抗的特异性较差,存在批间差(因为兔子的血被放光挂掉了,而山羊可以常年养着,放点血出来,在养几天再放血,好残忍),易造成背景,例如在WB中有杂带,在IHC中背景较深等等。但由于多抗识别多个抗原表位,对于丰度偏低的蛋白也更容易检出。
实验原理 :
(1)特异性结合抗原:抗体本身不能直接溶解或杀伤带有特异抗原的靶细胞,通常需要补体或吞噬细胞等共同发挥效应以清除病原微生物或导致病理损伤。然而,抗体可通过与病毒或毒素的特异性结合,直接发挥中和病毒的作用。
(2)活补体:IgM、IgG1、IgG2和IgG3可通过经典途径激活补体,凝聚的IgA、IgG4和IgE可通过替代途径激活补体。
(3)结合细胞:不同类别的免疫球蛋白,可结合不同种的细胞,参与免疫应答。
(4)可通过胎盘及粘膜:免疫球蛋白G(IgG)能通过胎盘进入胎儿血流中,使胎儿形成自然被动 免疫。免疫球蛋白A(IgA)可通过消化道及呼吸道粘膜,是粘膜局部抗感染免疫的主要因素。
(5)具有抗原性:抗体分子是一种蛋白质,也具有刺机体产生免疫应答的性能。不同的免疫球蛋白分子,各具有不同的抗原性。
(6)抗体对理化因子的抵抗力与一般球蛋白相同:不耐热,60~70℃即被破坏。各种酶及能使蛋白质凝固变性的物质,均能破坏抗体的作用。抗体可被中性盐类沉淀。在上常可用硫酸铵或硫酸钠从免疫血清中沉淀出含有抗体的球蛋白,再经透析法将其纯化。
试剂:
1、一抗(应用:IHC-P=1:400-800 IHC-F=1:400-800 )
2、无色试剂:内源性过氧化物酶阻断剂
3、试剂A:封闭用正常山羊血清工作液
4、试剂B:生物素标记二抗工作液:生物素标记羊抗兔IgG
5、试剂C:辣根酶标记链酶卵白素工作液 6、显色液D液 (棕色) 1ml
7、显色液E液(白色)20ml抗原与抗体的关系
①抗体和相应的抗原结合后,可以促进白细胞的吞噬作用而将抗原消除,使抗原失去致病作用。
②一种抗体只能抵抗一种抗原,而且一种抗体只能受相应的抗原刺激后才能形成。
免疫的功能:
免疫具有三方面的功能:
①防御功能:抵抗抗原的侵入、防止疾病的产生。
②自我稳定:清除体内衰老、死亡和损伤的细胞。
③免疫监视:监视、识别和清除体内产生的异常细胞。
特别提醒:过敏反应:当人体抵抗抗原侵入的功能过强时,在过敏原(引起过敏反应的物质,如某些食物、药物)的刺激下,人体就会发生过敏反应。
1.抗体名称容易出错
抗体一般以抗原来命名,名称核对时最简单也最容易犯错,有些蛋白质有不同亚基(HIF-1α、HIF-1β);有些蛋白质有不同磷酸化状态,例如EGFR和p-EGFR的区别,等等。
除了蛋白质的名称外,有其他后缀。
2.多抗和单抗不同
单抗上面介绍过了,而多抗(polyclonal antibodies)一般用兔子、山羊等大型动物,因为多抗是直接从血液中纯化提取出来的,而不像单抗是用细胞培养出来的。
单克隆抗体的优点是产量持续稳定、特异性较高、但灵敏度不如多抗。如果对抗体的特异性要求高,用量较大或需要长期使用一致的抗体,制备的抗体应用要求多(WB/IP/IF/ICC等),可以选择单克隆抗体。
多抗的特异性较差,存在批间差(因为兔子的血被放光挂掉了,而山羊可以常年养着,放点血出来,在养几天再放血,好残忍),易造成背景,例如在WB中有杂带,在IHC中背景较深等等。但由于多抗识别多个抗原表位,对于丰度偏低的蛋白也更容易检出。
实验原理 :
(1)特异性结合抗原:抗体本身不能直接溶解或杀伤带有特异抗原的靶细胞,通常需要补体或吞噬细胞等共同发挥效应以清除病原微生物或导致病理损伤。然而,抗体可通过与病毒或毒素的特异性结合,直接发挥中和病毒的作用。
(2)活补体:IgM、IgG1、IgG2和IgG3可通过经典途径激活补体,凝聚的IgA、IgG4和IgE可通过替代途径激活补体。
(3)结合细胞:不同类别的免疫球蛋白,可结合不同种的细胞,参与免疫应答。
(4)可通过胎盘及粘膜:免疫球蛋白G(IgG)能通过胎盘进入胎儿血流中,使胎儿形成自然被动 免疫。免疫球蛋白A(IgA)可通过消化道及呼吸道粘膜,是粘膜局部抗感染免疫的主要因素。
(5)具有抗原性:抗体分子是一种蛋白质,也具有刺机体产生免疫应答的性能。不同的免疫球蛋白分子,各具有不同的抗原性。
(6)抗体对理化因子的抵抗力与一般球蛋白相同:不耐热,60~70℃即被破坏。各种酶及能使蛋白质凝固变性的物质,均能破坏抗体的作用。抗体可被中性盐类沉淀。在上常可用硫酸铵或硫酸钠从免疫血清中沉淀出含有抗体的球蛋白,再经透析法将其纯化。
风险提示:丁香通仅作为第三方平台,为商家信息发布提供平台空间。用户咨询产品时请注意保护个人信息及财产安全,合理判断,谨慎选购商品,商家和用户对交易行为负责。对于医疗器械类产品,请先查证核实企业经营资质和医疗器械产品注册证情况。
技术资料暂无技术资料 索取技术资料
Phospho-GSK-3β (Thr390) Antibody
询价









