相关产品推荐更多 >
万千商家帮你免费找货
0 人在求购买到急需产品
- 详细信息
- 文献和实验
- 技术资料
- 免疫原:
Recombinant Human CD46 protein
- 亚型:
IgG
- 形态:
Liquid
- 保存条件:
Store as concentrated solution. Centrifuge briefly prior to opening vial. For short-term storage (1-2 weeks), store at 4ºC. For long-term storage, aliquot and store at -20ºC or below. Avoid multiple freeze-thaw cycles.
- 克隆性:
Polyclonal
- 标记物:
Unconjugated
- 适应物种:
Human
- 保质期:
12 months from the shipping date of the product.
- 抗原来源:
Human
- 目录编号:
GTX02355
- 级别:
Primary Antibodies
- 库存:
Available
- 供应商:
GeneTex
- 宿主:
Rabbit
- 应用范围:
WB, IHC-P
- 浓度:
Batch dependent (Please refer to the vial label for the specific concentration.)
- 靶点:
CD46
- 抗体英文名:
CD46 antibody
- 抗体名:
CD46 抗体
- 规格:
100 μl
WB analysis of HeLa membrane extracts (Lane A) using GTX02355 CD46 antibody.
Dilution : 1:500
Loading : 20 μg
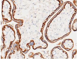
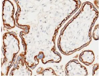
IHC-P analysis of human placenta tissue section using GTX02355 CD46 antibody.
Dilution : 1:10000
风险提示:丁香通仅作为第三方平台,为商家信息发布提供平台空间。用户咨询产品时请注意保护个人信息及财产安全,合理判断,谨慎选购商品,商家和用户对交易行为负责。对于医疗器械类产品,请先查证核实企业经营资质和医疗器械产品注册证情况。
文献和实验CD46 分子 CD46 常用单克隆抗体或代号: HULYM5,J48 主要表达细胞: 广泛,Leu,Pt [NL] 分子质量(kDa)和结构: gp56- 66,膜辅助因子蛋白(MCP) 功 能: 调节补体活化,裂解C3b ,C4b膜辅助因子蛋白 CD46 Aka membrane cofactor protein (MCP) Cofactor for Factor
网络 四、膜辅蛋白(CD46) 膜辅蛋白(membrane cofactor protein,MCP)由Cole等(1985)应用C3b亲和层析在外周血淋巴细胞上发现的一种膜蛋白。由于其奇特的电泳特征,起初被命名为gp45-70,但进一步研究发现,它对I因子介导的对C3b和C4b的裂解有辅助活性,故更命为MCP。鉴于MCP
Detection of Cell Membrane-Bound CD46 Using Flow Cytometry
CD46 is an important regulator of the complement system by preventing unwanted deposition of the complement activation products and opsonins C3b/C4b onto self-tissue. Recently, intracellular signals mediated by CD46 activation
技术资料暂无技术资料 索取技术资料






![EpCAM antibody [VU-1D9] (ready-to-use)](https://img1.dxycdn.com/2022/0328/823/7426112556334500453-14.jpg!wh200)
![AXL antibody [7E10]](https://img1.dxycdn.com/2022/0328/587/5153855838057500453-14.jpg!wh200)
![alpha Synuclein antibody [AT1E10]](https://img1.dxycdn.com/2022/0328/832/0517083862270800453-14.jpg!wh200)

