相关产品推荐更多 >
万千商家帮你免费找货
0 人在求购买到急需产品
- 详细信息
- 文献和实验
- 技术资料
- 免疫原:
Recombinant Human PSGL-1 / CD162 / SELPLG protein
- 亚型:
IgG1
- 形态:
Liquid
- 保存条件:
Store as concentrated solution. Centrifuge briefly prior to opening vial. For short-term storage (1-2 weeks), store at 4ºC. For long-term storage, aliquot and store at -20ºC or below. Avoid multiple freeze-thaw cycles.
- 克隆性:
Monoclonal
- 标记物:
Unconjugated
- 适应物种:
Human
- 保质期:
12 months from the shipping date of the product.
- 抗原来源:
Human
- 目录编号:
GTX02075
- 级别:
Primary Antibodies
- 库存:
Available
- 供应商:
GeneTex
- 宿主:
Mouse
- 应用范围:
IHC-P, FACS
- 浓度:
Batch dependent (Please refer to the vial label for the specific concentration.)
- 靶点:
CD162
- 抗体英文名:
CD162 antibody [07]
- 抗体名:
CD162 抗体 [07]
- 规格:
100 μl
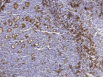
IHC-P analysis of human spleen tissue section using GTX02075 CD162 antibody [07].
Dilution : 1:1000
FACS analysis of human whole blood granulocytes using GTX02075 CD162 antibody [07].
The fluorescence histograms were derived from gated events with the forward and side light-scatter characteristics of intact cells.
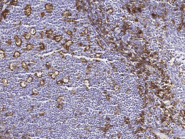
IHC-P analysis of human tonsil tissue section using GTX02075 CD162 antibody [07].
Dilution : 1:1000
风险提示:丁香通仅作为第三方平台,为商家信息发布提供平台空间。用户咨询产品时请注意保护个人信息及财产安全,合理判断,谨慎选购商品,商家和用户对交易行为负责。对于医疗器械类产品,请先查证核实企业经营资质和医疗器械产品注册证情况。
文献和实验Immunoflourescence of Cultured Cells
Materials L-lysine coated glass cover slips or charged glass slides Neutral Buffered Formalin (Sigma HT50-128) 0.5% NP40 in PBS (2.5 N HCl or 0.07 N NaOH for BrDU staining only) Primary and secondary
五十多本Humana的电子书高速下载,请大家多多支持哟! http://mamb.dvo.ru/lib/mol-methods2/ abc of clinical genetics.rar 06-Aug-2003 15:17 1.6M an introduction to computational biochemistry.rar 06-Aug-2003 15:29 6.3M antibody phage display.rar 07-Aug-2003 10:32 2.5M
IMMUNOHISTOCHEMISTRY ON SCHNEIDER LINE 2 CELLS
in 100mM Glycine/10mM NH4Cl in PBS for 30'. 8. Block 30' in BPBS. 9. Incubate in primary antibody diluted in BPBS for 1-4h @ RT. 10. Wash 1X 15' in BPBS; 4X in PBS. 11. Incubate in secondary antibody: a) fluorescence: 45'-2h
技术资料暂无技术资料 索取技术资料





![Japanese encephalitis virus Envelope antibody [HL2517]](https://custom.dxycdn.com/trademd/upload/pic/2013/11/12/A1383891150.jpg!small.t.1)





