相关产品推荐更多 >
万千商家帮你免费找货
0 人在求购买到急需产品
- 详细信息
- 文献和实验
- 技术资料
- 免疫原:
Prokaryotic recombinant protein corresponding to the C-terminal region of the human CD3 molecule.
- 亚型:
IgG1
- 形态:
Liquid
- 保存条件:
Store as concentrated solution. Centrifuge briefly prior to opening vial. Store at 4ºC. DO NOT FREEZE.
- 克隆性:
Monoclonal
- 标记物:
Unconjugated
- 适应物种:
Human
- 保质期:
12 months from the shipping date of the product.
- 抗原来源:
Human
- 目录编号:
GTX01936
- 级别:
Primary Antibodies
- 库存:
Available
- 供应商:
GeneTex
- 宿主:
Mouse
- 应用范围:
IHC-P
- 浓度:
>32 μg/ml (Please refer to the vial label for the specific concentration.)
- 靶点:
CD3
- 抗体英文名:
CD3 antibody [LN10]
- 抗体名:
CD3 抗体 [LN10]
- 规格:
500 μl
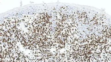
IHC-P analysis of human skin tissue with mycosis fungoides using GTX01936 CD3 antibody [LN10]. Note the extensively infiltrated positive cells.
风险提示:丁香通仅作为第三方平台,为商家信息发布提供平台空间。用户咨询产品时请注意保护个人信息及财产安全,合理判断,谨慎选购商品,商家和用户对交易行为负责。对于医疗器械类产品,请先查证核实企业经营资质和医疗器械产品注册证情况。
文献和实验CD3 分子 CD3 常用单克隆抗体或代号:T3,I.eu4,HCHTl 主要表达细胞:T,Thy T细胞 分子质量(kDa)和结构:γ,δ,ε,ζ,η分别为26,20, 19, 16, 2l 功 能:TCR/CD3复合体.T细胞信号转导 CD3 Aka OKT3 Function: complex (5 chains) of integral membrane
7211011 小鼠淋巴细胞分离液 达优 100339 Ultra-LEAF™ Purified anti-mouse CD3ε Antibody BioLegend 102115 Ultra-LEAF™ Purified anti-mouse CD28 Antibody BioLegend CD3/CD28 Streptamer® 多聚体法: 货号 名称
T-Cell Activation Using mAb to CD3
splenic T-cells and human peripheral T cells stimulated via CD3. Critical parameters include cell density, antibody titer and activation kinetics. Materials 1X sterile PBS Anti-mouse CD3e, Clone 145-2C11 (Functional Grade, Cat. No. 16
技术资料暂无技术资料 索取技术资料





![ADAM1B antibody [#57]](https://img1.dxycdn.com/2022/0328/739/7788375512617700453-14.jpg!wh200)




