相关产品推荐更多 >
万千商家帮你免费找货
0 人在求购买到急需产品
- 详细信息
- 文献和实验
- 技术资料
- 免疫原:
Prokaryotic recombinant protein corresponding to a portion of the carboxyl terminal end of the mouse tyrosine hydroxylase molecule.
- 亚型:
IgG2a
- 形态:
Liquid
- 保存条件:
Store as concentrated solution. Centrifuge briefly prior to opening vial. Store at 4ºC. DO NOT FREEZE.
- 克隆性:
Monoclonal
- 标记物:
Unconjugated
- 适应物种:
Human, Mouse, Rat
- 保质期:
12 months from the shipping date of the product.
- 抗原来源:
Mouse
- 目录编号:
GTX01922
- 级别:
Primary Antibodies
- 库存:
Available
- 供应商:
GeneTex
- 宿主:
Mouse
- 应用范围:
IHC-P
- 浓度:
>24 μg/ml (Please refer to the vial label for the specific concentration.)
- 靶点:
Tyrosine Hydroxylase
- 抗体英文名:
Tyrosine Hydroxylase antibody [1B5]
- 抗体名:
Tyrosine Hydroxylase 抗体 [1B5]
- 规格:
500 μl
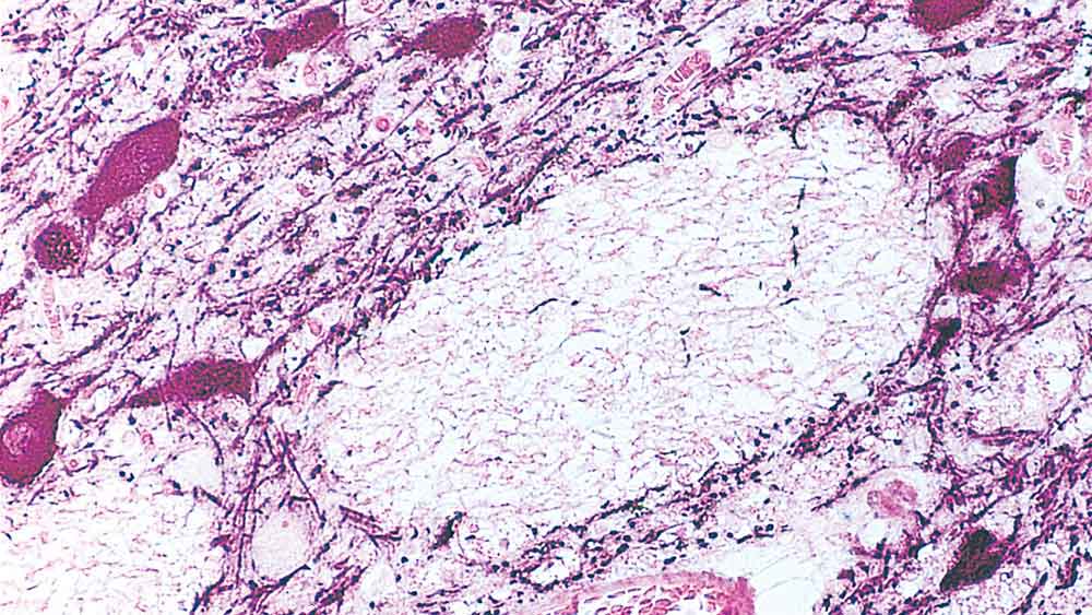
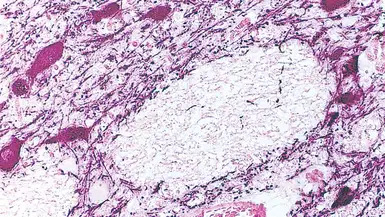
IHC-P analysis of human midbrain using GTX01922 Tyrosine Hydroxylase antibody [1B5]. Note cytoplasmic staining of catecholaminergic cells and their processes.
风险提示:丁香通仅作为第三方平台,为商家信息发布提供平台空间。用户咨询产品时请注意保护个人信息及财产安全,合理判断,谨慎选购商品,商家和用户对交易行为负责。对于医疗器械类产品,请先查证核实企业经营资质和医疗器械产品注册证情况。
文献和实验Phenylalanine Hydroxylase, Tyrosine Hydroxylase, and Tryptophan Hydroxylase
There are four enzymes that utilize reduced pteridine as an electron donor and incorporate one atom of oxygen into their substrates. They are phenylalanine 4-monooxygenase (phenylalanine hydroxylase, PAH, EC 1.14.16.l), tyrosine 3-monooxygenase
Quantification of Tyrosine Hydroxylase mRNA
The main biochemical characteristic of Parkinson’s disease (PD) is reduction of the neurotransmitter dopamine and the dopamine-synthesizing enzyme system, including tyrosine hydroxylase (TH, tyrosine 3-monooxygenase, EC 1.14.16.2
Proteomic Method for Identification of Tyrosine-Nitrated Proteins
Biologic nitration of protein tyrosine (to form 3-nitrotyrosine) is a recently described phenomenon that is associated with many diseases. We have devised a proteomic methodology to identify these modified proteins. This utilizes protein
技术资料暂无技术资料 索取技术资料





![TDO2 antibody [OTI2A4]](https://custom.dxycdn.com/trademd/upload/pic/2013/11/12/A1383891150.jpg!small.t.1)



